Shopping Cart
Remove All
Your shopping cart is currently empty
Anti-TUBB3 Polyclonal Antibody is a Rabbit antibody targeting TUBB3. Anti-TUBB3 Polyclonal Antibody can be used in IHC,WB.
| Pack Size | Price | USA Warehouse | Global Warehouse | Quantity |
|---|---|---|---|---|
| 50 μL | $218 | 7-10 days | 7-10 days | |
| 100 μL | $318 | 7-10 days | 7-10 days |
| Description | Anti-TUBB3 Polyclonal Antibody is a Rabbit antibody targeting TUBB3. Anti-TUBB3 Polyclonal Antibody can be used in IHC,WB. |
| Synonyms | Tubulin beta-III, Tubulin beta-4 chain, Tubulin beta-3 chain, TUBB4, TUBB3 |
| Ig Type | IgG |
| Reactivity | Human,Mouse,Rat |
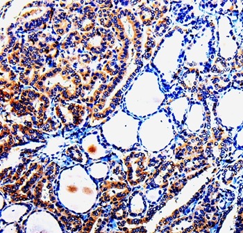
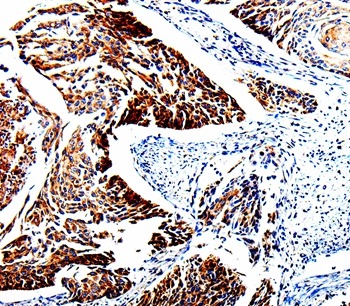
| Verified Activity | 1. Gel: 8%SDS-PAGE, Lysate: 30ug Human brain glioma tissue, Primary antibody: 1/500 dilution, Secondary antibody dilution: 1/8000, Exposure time: 10 seconds. 2. Immunohistochemical analysis of paraffin-embedded Human cervical cancer tissue using TMAC-04154 at dilution 1/25. 3. Immunohistochemical analysis of paraffin-embedded Human thyroid cancer tissue using TMAC-04154 at dilution 1/25. ![]() ![]() ![]() |
| Application | |
| Recommended Dose | WB: 1:500-1000; IHC: 1:25-50 |
| Antibody Type | Polyclonal |
| Host Species | Rabbit |
| Construction | Polyclonal Antibody |
| Purification | Antigen affinity purification. |
| Appearance | Liquid |
| Formulation | Rabbit IgG in pH7.3 PBS, 0.05% NaN3, 50% Glycerol. |
| Research Background | his gene encodes a class III member of the beta tubulin protein family. Beta tubulins are one of two core protein families (alpha and beta tubulins) that heterodimerize and assemble to form microtubules. This protein is primarily expressed in neurons and may be involved in neurogenesis and axon guidance and maintenance. Mutations in this gene are the cause of congenital fibrosis of the extraocular muscles type 3. Alternate splicing results in multiple transcript variants. A pseudogene of this gene is found on chromosome 6 |
| Conjucates | Unconjugated |
| Immunogen | Fusion protein corresponding to a region derived from internal residues of human Tubulin beta-3 chain |
| Antigen Species | human |
| Uniprot ID |
| Molecular Weight | Actual: 50 kDa. |
| Stability & Storage | Store at -20°C or -80°C for 12 months. Avoid repeated freeze-thaw cycles. |
| Transport | Shipping with blue ice. |
| Size | Quantity | Unit Price | Amount | Operation |
|---|

Copyright © 2015-2026 TargetMol Chemicals Inc. All Rights Reserved.