Shopping Cart
Remove All
Your shopping cart is currently empty
Anti-TUBB Antibody (7E2) is a Rabbit antibody targeting TUBB. Anti-TUBB Antibody (7E2) can be used in FCM,ICC,IHC,WB.
| Pack Size | Price | USA Warehouse | Global Warehouse | Quantity |
|---|---|---|---|---|
| 50 μL | $296 | 7-10 days | 7-10 days | |
| 100 μL | $498 | 7-10 days | 7-10 days |
| Description | Anti-TUBB Antibody (7E2) is a Rabbit antibody targeting TUBB. Anti-TUBB Antibody (7E2) can be used in FCM,ICC,IHC,WB. |
| Synonyms | Tubulin beta-5 chain, Tubulin beta chain, TUBB5, TUBB |
| Ig Type | IgG |
| Clone | 7E2 |
| Reactivity | Human,Mouse,Rat |
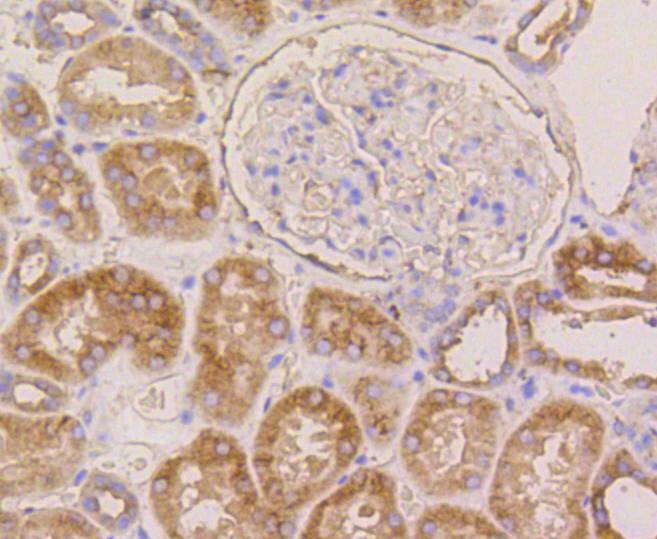
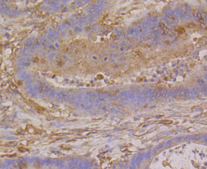
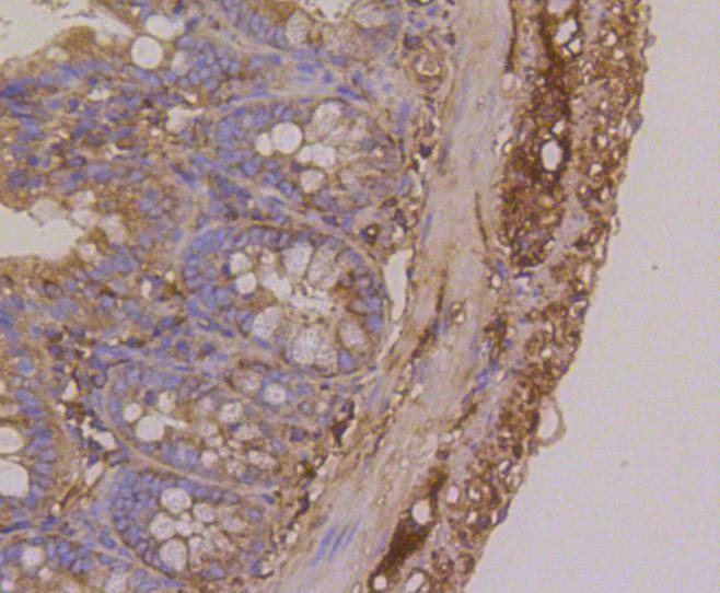
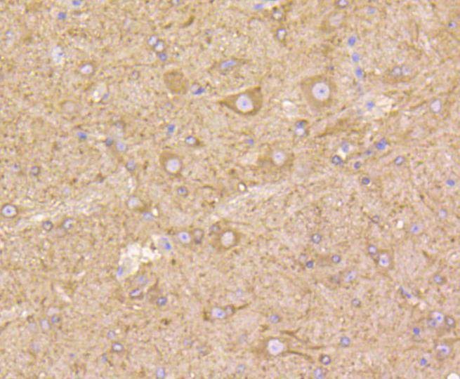
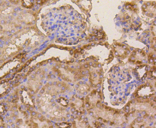
| Verified Activity | 1. Western blot analysis of beta Tubulin on different cell lysates using anti-beta Tubulin antibody at 1/1,000 dilution. Positive control: Lane 1: Hela, Lane 2: NIH/3T3, Lane 3: PC12. 2. Immunohistochemical analysis of paraffin-embedded mouse brain tissue using anti-beta Tubulin antibody. Counter stained with hematoxylin. 3. Immunohistochemical analysis of paraffin-embedded mouse kidney tissue using anti-beta Tubulin antibody. Counter stained with hematoxylin. 4. Immunohistochemical analysis of paraffin-embedded human colon cancer tissue using anti-beta Tubulin antibody. Counter stained with hematoxylin. 5. Immunohistochemical analysis of paraffin-embedded human kidney tissue using anti-beta Tubulin antibody. Counter stained with hematoxylin. 6. Immunohistochemical analysis of paraffin-embedded mouse colon tissue using anti-beta Tubulin antibody. Counter stained with hematoxylin. 7. ICC staining beta Tubulin in Hela cells (green). The nuclear counter stain is DAPI (blue). Cells were fixed in paraformaldehyde, permeabilised with 0.25% Triton X100/PBS. 8. ICC staining beta Tubulin in CRC cells (green). The nuclear counter stain is DAPI (blue). Cells were fixed in paraformaldehyde, permeabilised with 0.25% Triton X100/PBS. 9. ICC staining beta Tubulin in N2A cells (green). Cells were fixed in paraformaldehyde, permeabilised with 0.25% Triton X100/PBS. 10. ICC staining beta Tubulin in PC12 cells (green). Cells were fixed in paraformaldehyde, permeabilised with 0.25% Triton X100/PBS. 11. ICC staining beta Tubulin in SH-SY-5Y cells (green). Cells were fixed in paraformaldehyde, permeabilised with 0.25% Triton X100/PBS. 12. Flow cytometric analysis of NIH/3T3 cells with beta Tubulin antibody at 1/50 dilution (blue) compared with an unlabelled control (cells without incubation with primary antibody; red). Alexa Fluor 488-conjugated goat anti rabbit IgG was used as the secondary antibody. ![]() ![]() ![]() ![]() ![]() ![]() ![]() ![]() ![]() ![]() ![]() ![]() |
| Application | |
| Recommended Dose | WB: 1:1000-5000; IHC: 1:50-200; ICC: 1:50-200; FCM: 1:10-100 |
| Antibody Type | Monoclonal |
| Host Species | Rabbit |
| Construction | Recombinant Antibody |
| Purification | ProA affinity purified |
| Appearance | Liquid |
| Formulation | 1*TBS (pH7.4), 1%BSA, 40%Glycerol. Preservative: 0.05% Sodium Azide. |
| Research Background | Tubulin is one of several members of a small family of globular proteins. The most common members of the tubulin family are α-tubulin and β-tubulin. The beta-tubulin (relative molecular weight about 50 kDa) is counterpart of alpha-tubulin in tubulin heterodimer, it is coded by multiple tubulin genes and it is also posttranslationally modified. Heterogeneity of subunit is concentrated in C-terminal structural domain. Beta-Tubulin may have bound GTP or GDP. Under certain conditions β-tubulin can hydrolyze its bound GTP to GDP plus Pi, release the Pi, and exchange the GDP for GTP. |
| Conjucates | Unconjugated |
| Immunogen | Recombinant Protein |
| Uniprot ID |
| Molecular Weight | Theoretical: 50 kDa. |
| Stability & Storage | Store at -20°C or -80°C for 12 months. Avoid repeated freeze-thaw cycles. |
| Transport | Shipping with blue ice. |
| Size | Quantity | Unit Price | Amount | Operation |
|---|

Copyright © 2015-2026 TargetMol Chemicals Inc. All Rights Reserved.