Shopping Cart
Remove All
Your shopping cart is currently empty
Anti-TSLP Polyclonal Antibody is a Rabbit antibody targeting TSLP. Anti-TSLP Polyclonal Antibody can be used in IF,IHC-Fr,IHC-P,WB.
| Pack Size | Price | USA Stock | Global Stock | Quantity |
|---|---|---|---|---|
| 50 μL | $220 | 7-10 days | 7-10 days | |
| 100 μL | $373 | 7-10 days | 7-10 days | |
| 200 μL | $528 | 7-10 days | 7-10 days |
| Description | Anti-TSLP Polyclonal Antibody is a Rabbit antibody targeting TSLP. Anti-TSLP Polyclonal Antibody can be used in IF,IHC-Fr,IHC-P,WB. |
| Synonyms | TSLP, thymic stromal lymphopoietin |
| Ig Type | IgG |
| Reactivity | Human |
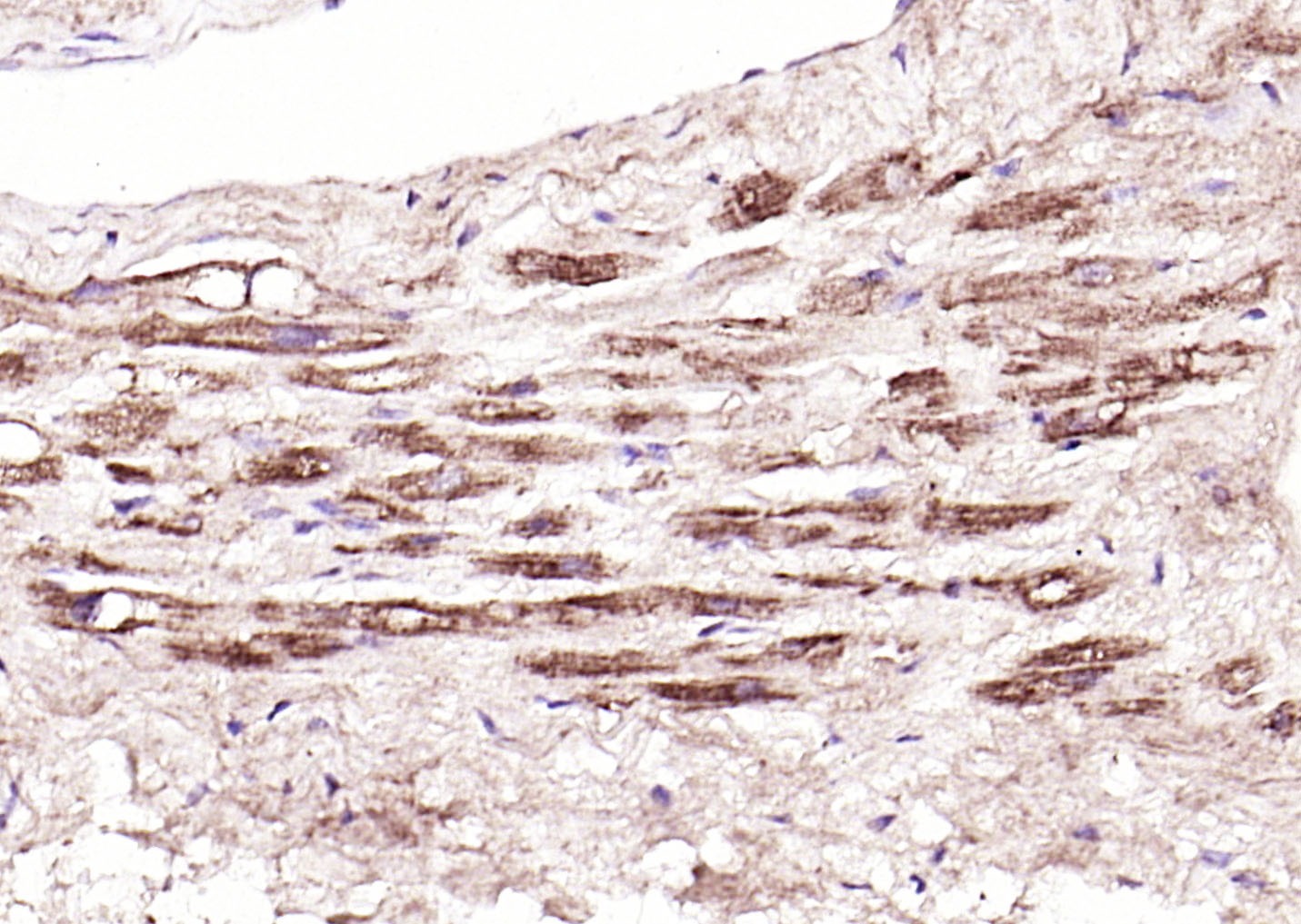
| Verified Activity | 1. Paraformaldehyde-fixed, paraffin embedded (Human heart); Antigen retrieval by boiling in sodium citrate buffer (pH6.0) for 15 min; Block endogenous peroxidase by 3% hydrogen peroxide for 20 min; Blocking buffer (normal goat serum) at 37°C for 30 min; Antibody incubation with (TSLP) Polyclonal Antibody, Unconjugated (TMAB-01913) at 1:200 overnight at 4°C, followed by operating according to SP Kit (Rabbit) instructionsand DAB staining. 2. Paraformaldehyde-fixed, paraffin embedded (Human kidney); Antigen retrieval by boiling in sodium citrate buffer (pH6.0) for 15 min; Block endogenous peroxidase by 3% hydrogen peroxide for 20 min; Blocking buffer (normal goat serum) at 37°C for 30 min; Antibody incubation with (TSLP) Polyclonal Antibody, Unconjugated (TMAB-01913) at 1:200 overnight at 4°C, followed by operating according to SP Kit (Rabbit) instructionsand DAB staining. 3. Sample: Lane1: K562 Cell Lysate at 30 μg Lane2: Raji Cell Lysate at 30 μg Primary: Anti-TSLP (TMAB-01913) at 1:300 dilution; Secondary: HRP conjugated Goat-Anti-rabbit Igg (secondary antibody) at 1: 5000 dilution; Predicted band size: 15 kDa Observed band size: 17 kDa 4. Tissue/cell: human liver carcinoma; 4% Paraformaldehyde-fixed and paraffin-embedded; Antigen retrieval: citrate buffer (0.01M, pH6.0), Boiling bathing for 15 min; Block endogenous peroxidase by 3% Hydrogen peroxide for 30 min; Blocking buffer (normal goat serum) at 37°C for 20 min; Incubation: Anti-TSLP Polyclonal Antibody, Unconjugated (TMAB-01913) 1:500, overnight at 4°C, followed by conjugation to the secondary antibody and DAb staining. ![]() ![]() ![]() ![]() |
| Application | |
| Recommended Dose | WB: 1:500-2000; IHC-P: 1:100-500; IHC-Fr: 1:100-500; IF: 1:100-500 |
| Antibody Type | Polyclonal |
| Host Species | Rabbit |
| Subcellular Localization | Secreted. |
| Tissue Specificity | Expressed in a number of tissues including heart, liver and prostate. |
| Construction | Polyclonal Antibody |
| Purification | Protein A purified |
| Appearance | Liquid |
| Formulation | 0.01M TBS (pH7.4) with 1% BSA, 0.02% Proclin300 and 50% Glycerol. |
| Concentration | 1 mg/mL |
| Research Background | Thymic stromal lymphopoietin (TSLP) is a novel cytokine that was found to promote the development of murine B cells in vitro. This protein, which is expressed in a number of tissues including heart, liver and prostate, prevented apoptosis and stimulated growth of the human acute myeloid leukemia (AML)-derived cell line MUTZ-3. Anti-interleukin (IL)-7 receptor antibodies (Abs) neutralized this effect indicating that TSLP binds to at least part of the IL-7 receptor complex. TSLP induced phosphorylation of signal transducer and activator of transcription (STAT)-5. |
| Immunogen | KLH conjugated synthetic peptide: human TSP-1 |
| Antigen Species | Human |
| Gene Name | TSLP |
| Gene ID | |
| Protein Name | Thymic stromal lymphopoietin |
| Uniprot ID | |
| Biology Area | Cytokines |
| Function | Cytokine that induces the release of T-cell-attracting chemokines from monocytes and, in particular, enhances the maturation of CD11c(+) dendritic cells. Can induce allergic inflammation by directly activating mast cells. |
| Molecular Weight | Theoretical: 15 kDa. Actual: 17 kDa. |
| Stability & Storage | Store at -20°C or -80°C for 12 months. Avoid repeated freeze-thaw cycles. |
| Transport | Shipping with blue ice. |
| Size | Quantity | Unit Price | Amount | Operation |
|---|

Copyright © 2015-2026 TargetMol Chemicals Inc. All Rights Reserved.