Shopping Cart
Remove All
Your shopping cart is currently empty
Anti-TSHR (CT) Polyclonal Antibody is a Rabbit antibody targeting TSHR (CT). Anti-TSHR (CT) Polyclonal Antibody can be used in IF,IHC-Fr,IHC-P,WB.
| Pack Size | Price | USA Stock | Global Stock | Quantity |
|---|---|---|---|---|
| 50 μL | $222 | 7-10 days | 7-10 days | |
| 100 μL | $374 | 7-10 days | 7-10 days | |
| 200 μL | $529 | 7-10 days | 7-10 days |
| Description | Anti-TSHR (CT) Polyclonal Antibody is a Rabbit antibody targeting TSHR (CT). Anti-TSHR (CT) Polyclonal Antibody can be used in IF,IHC-Fr,IHC-P,WB. |
| Synonyms | TSHR, Thyrotropin receptor, Thyroid-stimulating hormone receptor (TSH-R), LGR3 |
| Ig Type | IgG |
| Reactivity | Human (predicted:Rat,Chicken,Pig,Cow,Horse,Rabbit,GuineaPig) |
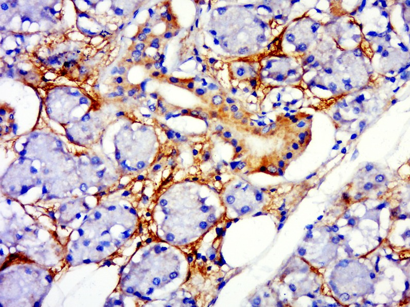
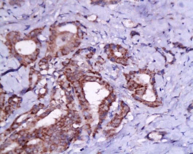
| Verified Activity | 1. Tissue/cell: human thyroid carcinoma; 4% Paraformaldehyde-fixed and paraffin-embedded; Antigen retrieval: citrate buffer (0.01M, pH6.0), Boiling bathing for 15 min; Block endogenous peroxidase by 3% Hydrogen peroxide for 30 min; Blocking buffer (normal goat serum) at 37°C for 20 min; Incubation: Anti-TSHr (CT) Polyclonal Antibody, Unconjugated (TMAB-01912) 1:200, overnight at 4°C, followed by conjugation to the secondary antibody and DAb staining. 2. Paraformaldehyde-fixed, paraffin embedded (human parotid gland); Antigen retrieval by boiling in sodium citrate buffer (pH6.0) for 15 min; Block endogenous peroxidase by 3% hydrogen peroxide for 20 min; Blocking buffer (normal goat serum) at 37°C for 30 min; Antibody incubation with (TSHR) Polyclonal Antibody, Unconjugated (TMAB-01912) at 1:500 overnight at 4°C, followed by a conjugated secondary for 20 min and DAB staining. 3. Sample: Lane 1: Human Jurkat cell lysates Lane 2: Human TT cell lysates Primary: Anti-TSHR (CT) (TMAB-01912) at 1/2000 dilution Secondary: IRDye800CW Goat Anti-Rabbit IgG at 1/20000 dilution Predicted band size: 86 kDa Observed band size: 130 kDa ![]() ![]() ![]() |
| Application | |
| Recommended Dose | WB: 1:500-2000; IHC-P: 1:100-500; IHC-Fr: 1:100-500; IF: 1:100-500 |
| Antibody Type | Polyclonal |
| Host Species | Rabbit |
| Subcellular Localization | Cell membrane; Multi-pass membrane protein. |
| Tissue Specificity | Expressed in the thyroid. |
| Construction | Polyclonal Antibody |
| Purification | Protein A purified |
| Appearance | Liquid |
| Formulation | 0.01M TBS (pH7.4) with 1% BSA, 0.02% Proclin300 and 50% Glycerol. |
| Concentration | 1 mg/mL |
| Research Background | The glycoprotein hormone receptor family consists of the luteinizing hormone receptor, the follicle-stimulating hormone receptor, and the thyroid stimulating hormone(TSH) receptor. TSH, which is released from the pituitary gland, binds to the TSH receptor on thyroid cells to control size and function of the thyroid gland (De Felice et al. 2004). The TSH receptor signals through Gs to elevate intracellular cAMP in the thyroid gland, which regulates iodide uptake, and transcription of thyroglobulin (Tg), thyroid peroxidase (TPO), and sodium-iodide symporter. The TSH receptor also signals Gq and phospholipase C to regulat iodide efflux, H2O2 production, and thyroglobulin iodination. Autoimmunity to the TSH receptor causes hyperthyroidism (Graves disease) or hypothyroidism (Hashimoto thyroiditis) when the autoantibodies function as agonists or antagonists, respectively, at the TSH receptor (Rapoport and McLachlan, 2001; Davies et al., 2002). Millipore’s cloned human TSH receptor-expressing cell line is made in the Chem-10 host, which supports high levels of recombinant TSH receptor expression on the cell surface and contains high levels of the promiscuous G protein to couple the receptor to the calcium signaling pathway. Thus, the cell line is an ideal tool for screening for antagonists of interactions between TSH and its ligands. |
| Immunogen | KLH conjugated synthetic peptide: human TSHR |
| Antigen Species | Human |
| Gene Name | TSHR |
| Gene ID | |
| Protein Name | Thyrotropin receptor |
| Uniprot ID | |
| Biology Area | Thyroid axis,Hormones |
| Function | Receptor for thyrothropin. Plays a central role in controlling thyroid cell metabolism. The activity of this receptor is mediated by G proteins which activate adenylate cyclase. Also acts as a receptor for thyrostimulin (GPA2+GPB5). |
| Molecular Weight | Theoretical: 86 kDa. Actual: 130 kDa. |
| Stability & Storage | Store at -20°C or -80°C for 12 months. Avoid repeated freeze-thaw cycles. |
| Transport | Shipping with blue ice. |
| Size | Quantity | Unit Price | Amount | Operation |
|---|

Copyright © 2015-2026 TargetMol Chemicals Inc. All Rights Reserved.