Shopping Cart
Remove All
Your shopping cart is currently empty
Anti-TSG101 Antibody (3B556) is a Rabbit antibody targeting TSG101. Anti-TSG101 Antibody (3B556) can be used in FCM,ICC/IF,IF,IHC-Fr,IHC-P,WB.
| Pack Size | Price | USA Stock | Global Stock | Quantity |
|---|---|---|---|---|
| 50 μL | $273 | 7-10 days | 7-10 days | |
| 100 μL | $489 | 7-10 days | 7-10 days |
| Description | Anti-TSG101 Antibody (3B556) is a Rabbit antibody targeting TSG101. Anti-TSG101 Antibody (3B556) can be used in FCM,ICC/IF,IF,IHC-Fr,IHC-P,WB. |
| Ig Type | IgG |
| Clone | 3B556 |
| Reactivity | Human,Mouse,Rat |
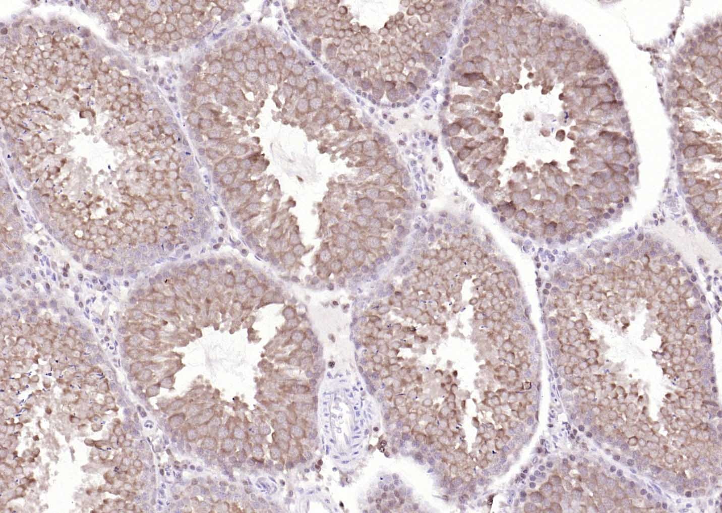
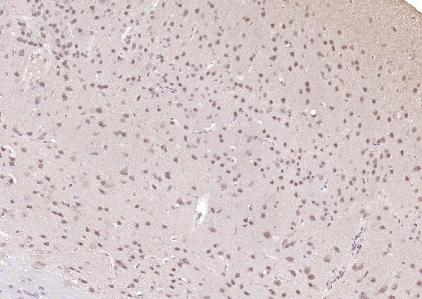
| Verified Activity | 1. Paraformaldehyde-fixed, paraffin embedded (rat testis); Antigen retrieval by boiling in sodium citrate buffer (pH6.0) for 15 min; Block endogenous peroxidase by 3% hydrogen peroxide for 20 min; Blocking buffer (normal goat serum) at 37°C for 30 min; Antibody incubation with (TSG101) Monoclonal Antibody, Unconjugated (TMAB-01911) at 1:200 overnight at 4°C, followed by operating according to SP Kit (Rabbit) instructionsand DAB staining. 2. Paraformaldehyde-fixed, paraffin embedded (mouse brain); Antigen retrieval by boiling in sodium citrate buffer (pH6.0) for 15 min; Block endogenous peroxidase by 3% hydrogen peroxide for 20 min; Blocking buffer (normal goat serum) at 37°C for 30 min; Antibody incubation with (TSG101) Monoclonal Antibody, Unconjugated (TMAB-01911) at 1:200 overnight at 4°C, followed by operating according to SP Kit (Rabbit) instructionsand DAB staining. 3. 25 μg total protein per Lane of various lysates probed with TSG101 monoclonal antibody, unconjugated (TMAB-01911) at 1:1000 dilution and 4°C overnight incubation. Followed by conjugated secondary antibody incubation at RT for 60 min. 4. 4% Paraformaldehyde-fixed HepG2 (H) cell; Triton X-100 at RT for 20 min; Antibody incubation with (TSG101) monoclonal Antibody, unconjugated (TMAB-01911) 1:100, 90 min at 37°C; followed by conjugated Goat Anti-Rabbit IgG antibody (green) at 37°C for 90 min, DAPI (blue) was used to stain the cell nucleus. PBS instead of the primary antibody was used as the blank control. 5. 25 μg total protein per Lane of various lysates probed with TSG101 monoclonal antibody, unconjugated (TMAB-01911) at 1:1000 dilution and 4°C overnight incubation. Followed by conjugated secondary antibody incubation at RT for 60 min. ![]() ![]() ![]() ![]() ![]() |
| Application | |
| Recommended Dose | WB: 1:500-2000; IHC-P: 1:50-200; IHC-Fr: 1:50-200; ICC/IF: 1:50-200; IF: 1:50-200; FCM: 1:50-100 |
| Antibody Type | Monoclonal |
| Host Species | Rabbit |
| Subcellular Localization | Cytoplasm. Membrane; Peripheral membrane protein. Nucleus. Late endosome membrane; Peripheral membrane protein. Note=Mainly cytoplasmic. Membrane-associated when active and soluble when inactive. Depending on the stage of the cell cycle, detected in the nucleus. Colocalized with CEP55 in the midbody during cytokinesis. |
| Tissue Specificity | Heart, brain, placenta, lung, liver, skeletal, kidney and pancreas. |
| Construction | Recombinant Antibody |
| Purification | Protein A purified |
| Appearance | Liquid |
| Formulation | 0.01M TBS (pH7.4) with 1% BSA, 0.02% Proclin300 and 50% Glycerol. |
| Concentration | 1 mg/mL |
| Research Background | The protein encoded by this gene belongs to a group of apparently inactive homologs of ubiquitin-conjugating enzymes. The gene product contains a coiled-coil domain that interacts with stathmin, a cytosolic phosphoprotein implicated in tumorigenesis. The protein may play a role in cell growth and differentiation and act as a negative growth regulator. In vitro steady-state expression of this tumor susceptibility gene appears to be important for maintenance of genomic stability and cell cycle regulation. Mutations and alternative splicing in this gene occur in high frequency in breast cancer and suggest that defects occur during breast cancer tumorigenesis and/or progression. [provided by RefSeq, Jul 2008] |
| Immunogen | A synthesized peptide: human TSG101 |
| Antigen Species | Human |
| Gene Name | Tsg101 |
| Gene ID | |
| Protein Name | Tumor susceptibility gene 101 protein |
| Uniprot ID | |
| Biology Area | Cell cycle inhibitors,Cell differentiation,Cell Cycle Inhibitors,Cell Cycle Inhibitors,Cell Differentiation,Host Virus Interaction |
| Function | Component of the ESCRT-I complex, a regulator of vesicular trafficking process. Binds to ubiquitinated cargo proteins and is required for the sorting of endocytic ubiquitinated cargos into multivesicular bodies (MVBs). Mediates the association between the ESCRT-0 and ESCRT-I complex. Required for completion of cytokinesis; the function requires CEP55. May be involved in cell growth and differentiation. Acts as a negative growth regulator. Involved in the budding of many viruses through an interaction with viral proteins that contain a late-budding motif P-[ST]-A-P. This interaction is essential for viral particle budding of numerous retroviruses. |
| Molecular Weight | Theoretical: 44 kDa. Actual: 44-50 kDa. |
| Stability & Storage | Store at -20°C or -80°C for 12 months. Avoid repeated freeze-thaw cycles. |
| Transport | Shipping with blue ice. |
| Size | Quantity | Unit Price | Amount | Operation |
|---|

Copyright © 2015-2026 TargetMol Chemicals Inc. All Rights Reserved.