Shopping Cart
Remove All
Your shopping cart is currently empty
Anti-TRPM3 Polyclonal Antibody is a Rabbit antibody targeting TRPM3. Anti-TRPM3 Polyclonal Antibody can be used in IF, IHC-Fr, IHC-P.
| Pack Size | Price | USA Warehouse | Global Warehouse | Quantity |
|---|---|---|---|---|
| 50 μL | $222 | 7-10 days | 7-10 days | |
| 100 μL | $373 | 7-10 days | 7-10 days | |
| 200 μL | $527 | 7-10 days | 7-10 days |
| Description | Anti-TRPM3 Polyclonal Antibody is a Rabbit antibody targeting TRPM3. Anti-TRPM3 Polyclonal Antibody can be used in IF, IHC-Fr, IHC-P. |
| Synonyms | TRPM 3, transient receptor potential cation channel, subfamily M, member 3, Transient receptor potential cation channel subfamily M member 3, MLSN2, MLSN 2, Melastatin2, Melastatin 2, LTRPC3, LTRPC 3, Long transient receptor potential channel 3, GON2, GON 2 |
| Ig Type | IgG |
| Reactivity | Mouse,Rat (predicted:Human,Dog,Pig,Cow,Horse,Rabbit,Sheep) |
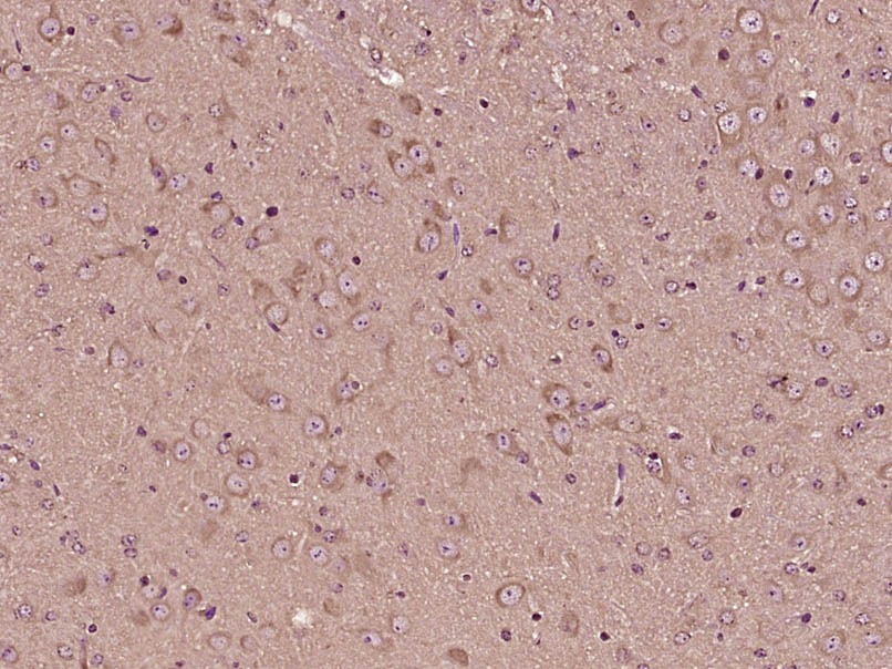
| Verified Activity | 1. Paraformaldehyde-fixed, paraffin embedded (Mouse brain); Antigen retrieval by boiling in sodium citrate buffer (pH6.0) for 15 min; Block endogenous peroxidase by 3% hydrogen peroxide for 20 min; Blocking buffer (normal goat serum) at 37°C for 30 min; Antibody incubation with (TRPM3) Polyclonal Antibody, Unconjugated (TMAB-01904) at 1:400 overnight at 4°C, followed by operating according to SP Kit (Rabbit) instructionsand DAB staining. 2. Paraformaldehyde-fixed, paraffin embedded (Rat brain); Antigen retrieval by boiling in sodium citrate buffer (pH6.0) for 15 min; Block endogenous peroxidase by 3% hydrogen peroxide for 20 min; Blocking buffer (normal goat serum) at 37°C for 30 min; Antibody incubation with (TRPM3) Polyclonal Antibody, Unconjugated (TMAB-01904) at 1:400 overnight at 4°C, followed by operating according to SP Kit (Rabbit) instructionsand DAB staining. ![]() ![]() |
| Application | |
| Recommended Dose | IF=1:100-500; IHC-Fr=1:100-500; IHC-P=1:100-500 |
| Antibody Type | Polyclonal |
| Host Species | Rabbit |
| Subcellular Localization | Membrane; Multi-pass membrane protein. |
| Tissue Specificity | Expressed primarily in the kidney and, at lower levels, in brain, testis, ovary, pancreas and spinal cord. Expression in the brain and kidney was determined at protein level. In the kidney, expressed predominantly in the collecting tubular epithelium in t |
| Construction | Polyclonal Antibody |
| Purification | Protein A purified |
| Appearance | Liquid |
| Formulation | 0.01M TBS (pH7.4) with 1% BSA, 0.02% Proclin300 and 50% Glycerol. |
| Concentration | 1 mg/mL |
| Research Background | The product of this gene belongs to the family of transient receptor potential (TRP) channels. TRP channels are cation-selective channels important for cellular calcium signaling and homeostasis. The protein encoded by this gene mediates calcium entry, and this entry is potentiated by calcium store depletion. Alternatively spliced transcript variants encoding different isoforms have been identified. [provided by RefSeq, Jul 2008]. |
| Immunogen | KLH conjugated synthetic peptide: human TRPM3 |
| Antigen Species | Human |
| Gene Name | TRPM3 |
| Gene ID | |
| Protein Name | Transient receptor potential cation channel subfamily M member 3 |
| Uniprot ID | |
| Function | Calcium channel mediating constitutive calcium ion entry. Its activity is increased by reduction in extracellular osmolarity, by store depletion and muscarinic receptor activation. |
| Molecular Weight | Theoretical: 197 kDa. |
| Stability & Storage | Store at -20°C or -80°C for 12 months. Avoid repeated freeze-thaw cycles. |
| Transport | Shipping with blue ice. |
| Size | Quantity | Unit Price | Amount | Operation |
|---|

Copyright © 2015-2026 TargetMol Chemicals Inc. All Rights Reserved.