Shopping Cart
Remove All
Your shopping cart is currently empty
Synonyms: Tripartite motif-containing protein 7, Tripartite motif protein TRIM 7, Tripartite Motif Containing 7, TRIM 7, RNF90, RING finger protein 90, GNIP, Glycogenin-interacting protein
| Pack Size | Price | USA Stock | Global Stock | Quantity |
|---|---|---|---|---|
| 50 μL | $220 | 7-10 days | 7-10 days | |
| 100 μL | $373 | 7-10 days | 7-10 days | |
| 200 μL | $529 | 7-10 days | 7-10 days |
| Description | Anti-TRIM7 Polyclonal Antibody is a Rabbit antibody targeting TRIM7. Anti-TRIM7 Polyclonal Antibody can be used in IF, IHC-Fr, IHC-P, WB. |
| Synonyms | Tripartite motif-containing protein 7, Tripartite motif protein TRIM 7, Tripartite Motif Containing 7, TRIM 7, RNF90, RING finger protein 90, GNIP, Glycogenin-interacting protein |
| Ig Type | IgG |
| Reactivity | Human (predicted:Mouse,Rat,Cow,Horse,Sheep) |
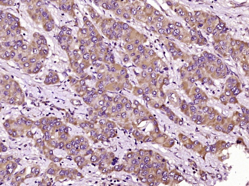
| Verified Activity | 1. Sample: Siha Cell (Human) Lysate at 40 μg Primary: Anti-TRIM7 (TMAB-01899) at 1/300 dilution Secondary: IRDye800CW Goat Anti-Rabbit IgG at 1/20000 dilution Predicted band size: 57 kDa Observed band size: 57 kDa 2. Paraformaldehyde-fixed, paraffin embedded (Human liver carcinoma); Antigen retrieval by boiling in sodium citrate buffer (pH6.0) for 15 min; Block endogenous peroxidase by 3% hydrogen peroxide for 20 min; Blocking buffer (normal goat serum) at 37°C for 30 min; Antibody incubation with (TRIM7) Polyclonal Antibody, Unconjugated (TMAB-01899) at 1:400 overnight at 4°C, followed by operating according to SP Kit (Rabbit) instructionsand DAB staining. |
| Application | |
| Recommended Dose | IF=1:100-500; IHC-Fr=1:100-500; IHC-P=1:100-500; WB=1:500-2000 |
| Antibody Type | Polyclonal |
| Host Species | Rabbit |
| Tissue Specificity | Skeletal muscle and placenta, at lower levels in heart, brain and pancreas. Isoform 1 is widely expressed with high level in testis, kidney and heart. |
| Construction | Polyclonal Antibody |
| Purification | Protein A purified |
| Appearance | Liquid |
| Formulation | 0.01M TBS (pH7.4) with 1% BSA, 0.02% Proclin300 and 50% Glycerol. |
| Concentration | 1 mg/mL |
| Research Background | The tripartite motif (TRIM) family of proteins are characterized by a conserved TRIM domain that includes a coiled-coil region, a B-box type zinc finger, one RING finger and three zinc-binding domains. TRIM7 (tripartite motif-containing 7), also known as RNF90 or GNIP, is a 511 amino acid protein that belongs to the TRIM family and contains one RING-type zinc finger, one B box-type zinc finger and one SPRY domain. Expressed in placenta and skeletal muscle and present at lower levels in brain, heart and pancreas, TRIM7 localizes to both the cytoplasm and the nucleus where it exists as dimers and is thought to participate in the initiation of glycogen synthesis. Multiple isoforms of TRIM7 exist due to alternative splicing events. |
| Immunogen | KLH conjugated synthetic peptide: human TRIM7/RNF90 |
| Antigen Species | Human |
| Gene Name | TRIM7 |
| Gene ID | |
| Protein Name | E3 ubiquitin-protein ligase TRIM7 |
| Uniprot ID |
| Molecular Weight | Theoretical: 57 kDa. Actual: 57 kDa. |
| Stability & Storage | Store at -20°C or -80°C for 12 months. Avoid repeated freeze-thaw cycles. |
| Transport | Shipping with blue ice. |
| Size | Quantity | Unit Price | Amount | Operation |
|---|

Copyright © 2015-2026 TargetMol Chemicals Inc. All Rights Reserved.