Shopping Cart
Remove All
Your shopping cart is currently empty
Anti-TRF1 Polyclonal Antibody is a Rabbit antibody targeting TRF1. Anti-TRF1 Polyclonal Antibody can be used in IF,IHC-Fr,IHC-P,WB.
| Pack Size | Price | USA Stock | Global Stock | Quantity |
|---|---|---|---|---|
| 50 μL | $222 | 7-10 days | 7-10 days | |
| 100 μL | $373 | 7-10 days | 7-10 days | |
| 200 μL | $528 | 7-10 days | 7-10 days |
| Description | Anti-TRF1 Polyclonal Antibody is a Rabbit antibody targeting TRF1. Anti-TRF1 Polyclonal Antibody can be used in IF,IHC-Fr,IHC-P,WB. |
| Synonyms | t-TRF1, TRF1, TRF, TRBF1, telomeric repeat binding factor (NIMA-interacting) 1, PIN2, hTRF1-AS, FLJ41416 |
| Ig Type | IgG |
| Reactivity | Human,Mouse (predicted:Rat) |
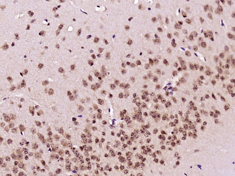
| Verified Activity | 1. Paraformaldehyde-fixed, paraffin embedded (Mouse brain); Antigen retrieval by boiling in sodium citrate buffer (pH6.0) for 15 min; Block endogenous peroxidase by 3% hydrogen peroxide for 20 min; Blocking buffer (normal goat serum) at 37°C for 30 min; Antibody incubation with (TRF1) Polyclonal Antibody, Unconjugated (TMAB-01894) at 1:500 overnight at 4°C, followed by a conjugated secondary for 20 min and DAB staining. 2. Sample: K562 (Human) Cell Lysate at 30 μg Primary: Anti-TRF1 (TMAB-01894) at 1/1000 dilution Secondary: IRDye800CW Goat Anti-Rabbit IgG at 1/20000 dilution Predicted band size: 50 kDa Observed band size: 49 kDa 3. Sample: HL-60 (Human) Cell Lysate at 30 μg Primary: Anti-TRF1 (TMAB-01894) at 1/1000 dilution Secondary: IRDye800CW Goat Anti-Rabbit IgG at 1/20000 dilution Predicted band size: 50 kDa Observed band size: 49 kDa ![]() ![]() ![]() |
| Application | |
| Recommended Dose | WB: 1:500-2000; IHC-P: 1:100-500; IHC-Fr: 1:100-500; IF: 1:100-500 |
| Antibody Type | Polyclonal |
| Host Species | Rabbit |
| Subcellular Localization | Nucleus. Cytoplasm; cytoskeleton; spindle. Chromosome; telomere. Colocalizes with telomeric DNA in interphase and metaphase cells and is located at chromosome ends during metaphase. Associates with the mitotic spindle. |
| Tissue Specificity | Highly expressed and ubiquitous. Isoform Pin2 predominates. |
| Construction | Polyclonal Antibody |
| Purification | Protein A purified |
| Appearance | Liquid |
| Formulation | 0.01M TBS (pH7.4) with 1% BSA, 0.02% Proclin300 and 50% Glycerol. |
| Concentration | 1 mg/mL |
| Research Background | This gene encodes a telomere specific protein which is a component of the telomere nucleoprotein complex. This protein is present at telomeres throughout the cell cycle and functions as an inhibitor of telomerase, acting in cis to limit the elongation of individual chromosome ends. The protein structure contains a C-terminal Myb motif, a dimerization domain near its N-terminus and an acidic N-terminus. Two transcripts of this gene are alternatively spliced products. [provided by RefSeq, Jul 2008] |
| Immunogen | KLH conjugated synthetic peptide: human TRBF1 |
| Antigen Species | Human |
| Gene Name | TERF1 |
| Gene ID | |
| Protein Name | Telomeric repeat-binding factor 1 |
| Uniprot ID | |
| Biology Area | Telomeres |
| Function | Binds the telomeric double-stranded TTAGGG repeat and negatively regulates telomere length. Involved in the regulation of the mitotic spindle. Component of the shelterin complex (telosome) that is involved in the regulation of telomere length and protection. Shelterin associates with arrays of double-stranded TTAGGG repeats added by telomerase and protects chromosome ends; without its protective activity, telomeres are no longer hidden from the DNA damage surveillance and chromosome ends are inappropriately processed by DNA repair pathways. |
| Molecular Weight | Theoretical: 50 kDa. Actual: 49 kDa. |
| Stability & Storage | Store at -20°C or -80°C for 12 months. Avoid repeated freeze-thaw cycles. |
| Transport | Shipping with blue ice. |
| Size | Quantity | Unit Price | Amount | Operation |
|---|

Copyright © 2015-2026 TargetMol Chemicals Inc. All Rights Reserved.