Shopping Cart
Remove All
Your shopping cart is currently empty
Anti-Transferrin R2 Antibody (5U818) is a Rabbit antibody targeting Transferrin R2. Anti-Transferrin R2 Antibody (5U818) can be used in IHC,WB.
| Pack Size | Price | USA Warehouse | Global Warehouse | Quantity |
|---|---|---|---|---|
| 50 μL | $297 | 7-10 days | 7-10 days | |
| 100 μL | $496 | 7-10 days | 7-10 days |
| Description | Anti-Transferrin R2 Antibody (5U818) is a Rabbit antibody targeting Transferrin R2. Anti-Transferrin R2 Antibody (5U818) can be used in IHC,WB. |
| Synonyms | Trfr2, Transferrin receptor protein 2, TfR2, Tfr2 |
| Ig Type | IgG |
| Clone | 5U818 |
| Reactivity | Human |
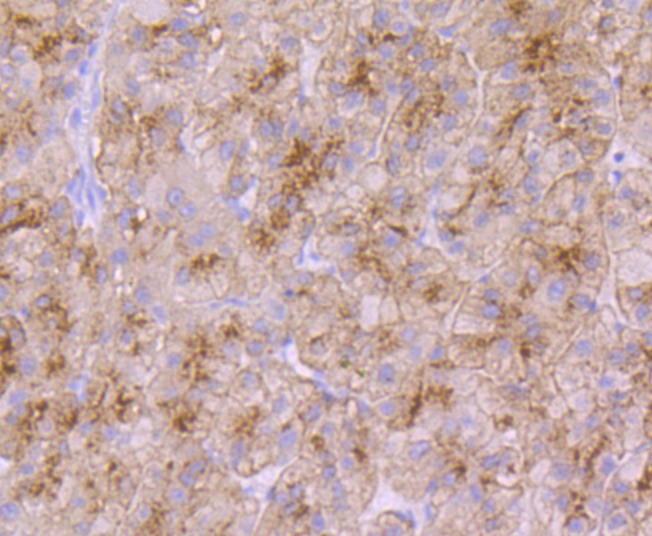
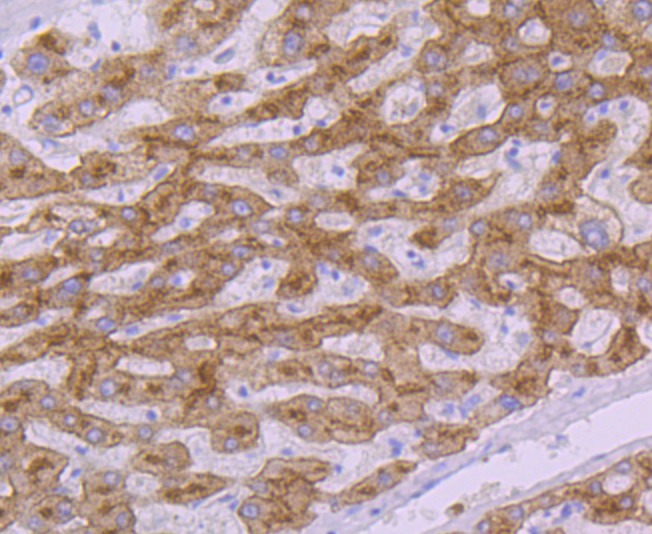
| Verified Activity | 1. Western blot analysis of Transferrin Receptor 2 on HepG2 cell using anti-Transferrin Receptor 2 antibody at 1/1,000 dilution. 2. Immunohistochemical analysis of paraffin-embedded human liver tissue using anti-Transferrin Receptor 2 antibody. Counter stained with hematoxylin. 3. Immunohistochemical analysis of paraffin-embedded human liver cancer tissue using anti-Transferrin Receptor 2 antibody. Counter stained with hematoxylin. ![]() ![]() ![]() |
| Application | |
| Recommended Dose | WB: 1:500-2000; IHC: 1:50-200 |
| Antibody Type | Monoclonal |
| Host Species | Rabbit |
| Construction | Recombinant Antibody |
| Purification | ProA affinity purified |
| Appearance | Liquid |
| Formulation | 1*TBS (pH7.4), 1%BSA, 40%Glycerol. Preservative: 0.05% Sodium Azide. |
| Research Background | Iron is a vital molecule for living organisms because it is involved in a wide variety of metabolic processes, such as oxygen transport, DNA synthesis and electron transport. Excessive iron uptake leads to tissue damage as a result of formation of free radicals. Iron uptake and storage is tightly regulated by the feedback system of iron responsive element-containing gene products and iron regulatory proteins that modulate the expression levels of the genes involved in iron metabolism. The transferrin receptor 2 (TFR2) mediates the uptake of transferrin-bound iron. It is involved in iron metabolism, hepatocyte function and erythrocyte differentiation, and is highly expressed as a protein in liver as well as in hepatocytes and erythroid precursors. The gene encoding human TRF2 maps to chromosome 7q22 and is expressed as an a isoform, which encodes a transmembrane protein, and a b isoform, which encodes a shorter, intracellular protein. Mutations in the TFR2 gene result in hereditary hemochromatosis type III (HFE3), an iron overloading disorder that results in clinical complications, including cirrhosis, cardiopathy, diabetes, endocrine dysfunctions, arthropathy and susceptibility to liver cancer. |
| Conjucates | Unconjugated |
| Uniprot ID |
| Molecular Weight | Theoretical: 89 kDa. |
| Stability & Storage | Store at -20°C or -80°C for 12 months. Avoid repeated freeze-thaw cycles. |
| Transport | Shipping with blue ice. |
| Size | Quantity | Unit Price | Amount | Operation |
|---|

Copyright © 2015-2026 TargetMol Chemicals Inc. All Rights Reserved.