Shopping Cart
Remove All
Your shopping cart is currently empty
Anti-TRAIL R2/DR5/TNFRSF10B Antibody (7L7) is a Rabbit antibody targeting TRAIL R2/DR5/TNFRSF10B. Anti-TRAIL R2/DR5/TNFRSF10B Antibody (7L7) can be used in FCM,IHC,IP,WB.
| Pack Size | Price | USA Warehouse | Global Warehouse | Quantity |
|---|---|---|---|---|
| 50 μL | $297 | 7-10 days | 7-10 days | |
| 100 μL | $497 | 7-10 days | 7-10 days |
| Description | Anti-TRAIL R2/DR5/TNFRSF10B Antibody (7L7) is a Rabbit antibody targeting TRAIL R2/DR5/TNFRSF10B. Anti-TRAIL R2/DR5/TNFRSF10B Antibody (7L7) can be used in FCM,IHC,IP,WB. |
| Synonyms | Tumor necrosis factor receptor superfamily member 10B, TNF-related apoptosis-inducing ligand receptor 2, Death receptor 5 |
| Ig Type | IgG |
| Clone | 7L7 |
| Reactivity | Human |
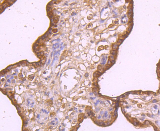
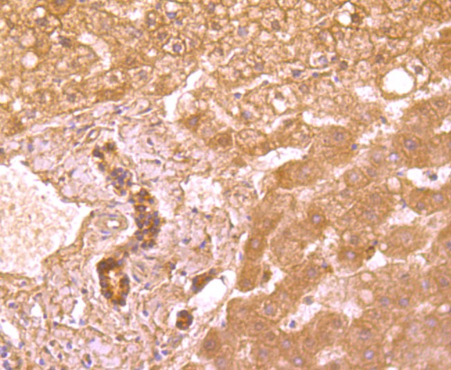
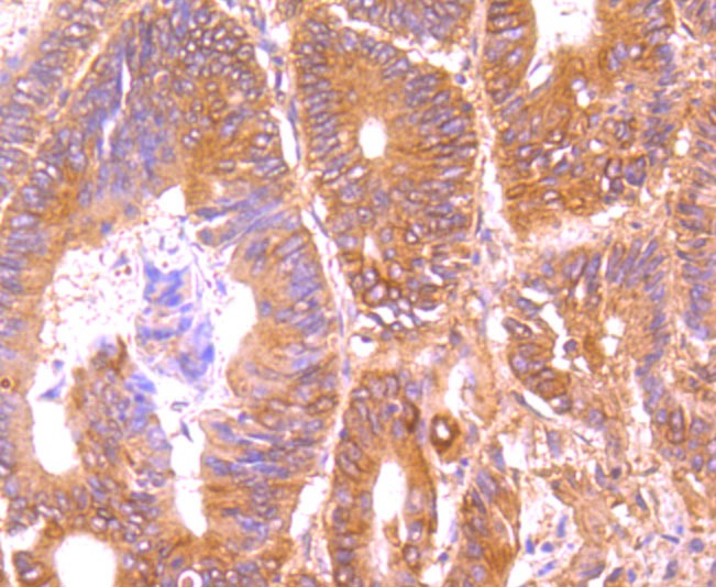
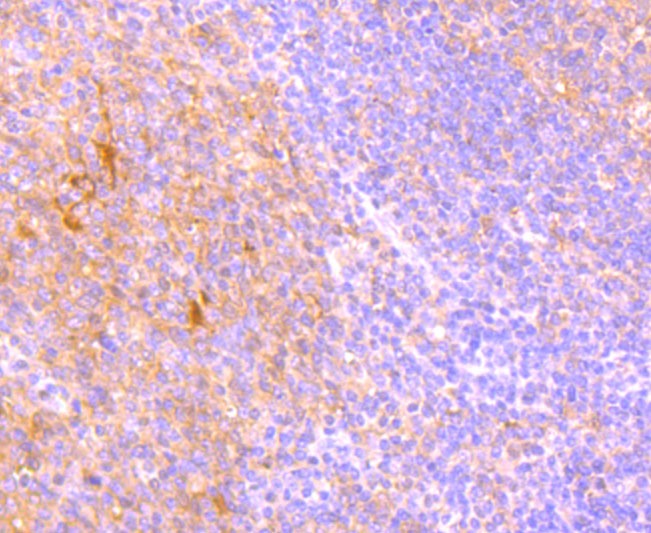
| Verified Activity | 1. Western blot analysis of DR5 on HL-60 cell using anti-DR5 antibody at 1/1,000 dilution. 2. Immunohistochemical analysis of paraffin-embedded human tonsil tissue using anti-DR5 antibody. Counter stained with hematoxylin. 3. Immunohistochemical analysis of paraffin-embedded human liver tissue using anti-DR5 antibody. Counter stained with hematoxylin. 4. Immunohistochemical analysis of paraffin-embedded human colon cancer tissue using anti-DR5 antibody. Counter stained with hematoxylin. 5. Immunohistochemical analysis of paraffin-embedded human placenta tissue using anti-DR5 antibody. Counter stained with hematoxylin. 6. Flow cytometric analysis of SW480 cells with DR5 antibody at 1/100 dilution (red) compared with an unlabelled control (cells without incubation with primary antibody; black). ![]() ![]() ![]() ![]() ![]() ![]() |
| Application | |
| Recommended Dose | WB: 1:500-1000; IHC: 1:50-200; FCM: 1:50-100 |
| Antibody Type | Monoclonal |
| Host Species | Rabbit |
| Construction | Recombinant Antibody |
| Purification | ProA affinity purified |
| Appearance | Liquid |
| Formulation | 1*TBS (pH7.4), 1%BSA, 40%Glycerol. Preservative: 0.05% Sodium Azide. |
| Research Background | Tumor necrosis factor (TNF) is a pleiotropic cytokine whose function is mediated by two distinct cell surface receptors, designated TNF-R1 and TNF-R2, which are expressed on most cell types. TNF function is primarily mediated through TNF-R1 signaling. Both receptors belong to the growing TNF receptor superfamily which includes FAS antigen and CD40. TNF-R1 contains a cytoplasmic motif, termed the "death domain," that has been found to be necessary for the transduction of the apoptotic signal. The death domain is also found in several other receptors, including FAS, DR2 (or TRUNDD), DR3 (Death Receptor 3), DR4 and DR5. TRUNDD, DR4 and DR5 are receptors for the apoptosis-inducing cytokine TRAIL. A non-death domain-containing receptor, designated decoy receptor (DcR1 or TRID), also specifically associates with TRAIL and may play a role in cellular resistance to apoptotic stimuli. |
| Conjucates | Unconjugated |
| Immunogen | Recombinant Protein |
| Uniprot ID |
| Molecular Weight | Theoretical: 48 kDa. |
| Stability & Storage | Store at -20°C or -80°C for 12 months. Avoid repeated freeze-thaw cycles. |
| Transport | Shipping with blue ice. |
| Size | Quantity | Unit Price | Amount | Operation |
|---|

Copyright © 2015-2026 TargetMol Chemicals Inc. All Rights Reserved.