Shopping Cart
Remove All
Your shopping cart is currently empty
Anti-TPH2 Polyclonal Antibody is a Rabbit antibody targeting TPH2. Anti-TPH2 Polyclonal Antibody can be used in IF,IHC-Fr,IHC-P,WB.
| Pack Size | Price | USA Stock | Global Stock | Quantity |
|---|---|---|---|---|
| 50 μL | $221 | 7-10 days | 7-10 days | |
| 100 μL | $372 | 7-10 days | 7-10 days | |
| 200 μL | $527 | 7-10 days | 7-10 days |
| Description | Anti-TPH2 Polyclonal Antibody is a Rabbit antibody targeting TPH2. Anti-TPH2 Polyclonal Antibody can be used in IF,IHC-Fr,IHC-P,WB. |
| Synonyms | Tryptophan 5-monooxygenase 2, Tryptophan 5-hydroxylase 2, TPH2, NTPH, Neuronal tryptophan hydroxylase |
| Ig Type | IgG |
| Reactivity | Human,Rat (predicted:Mouse,Cow,Horse) |
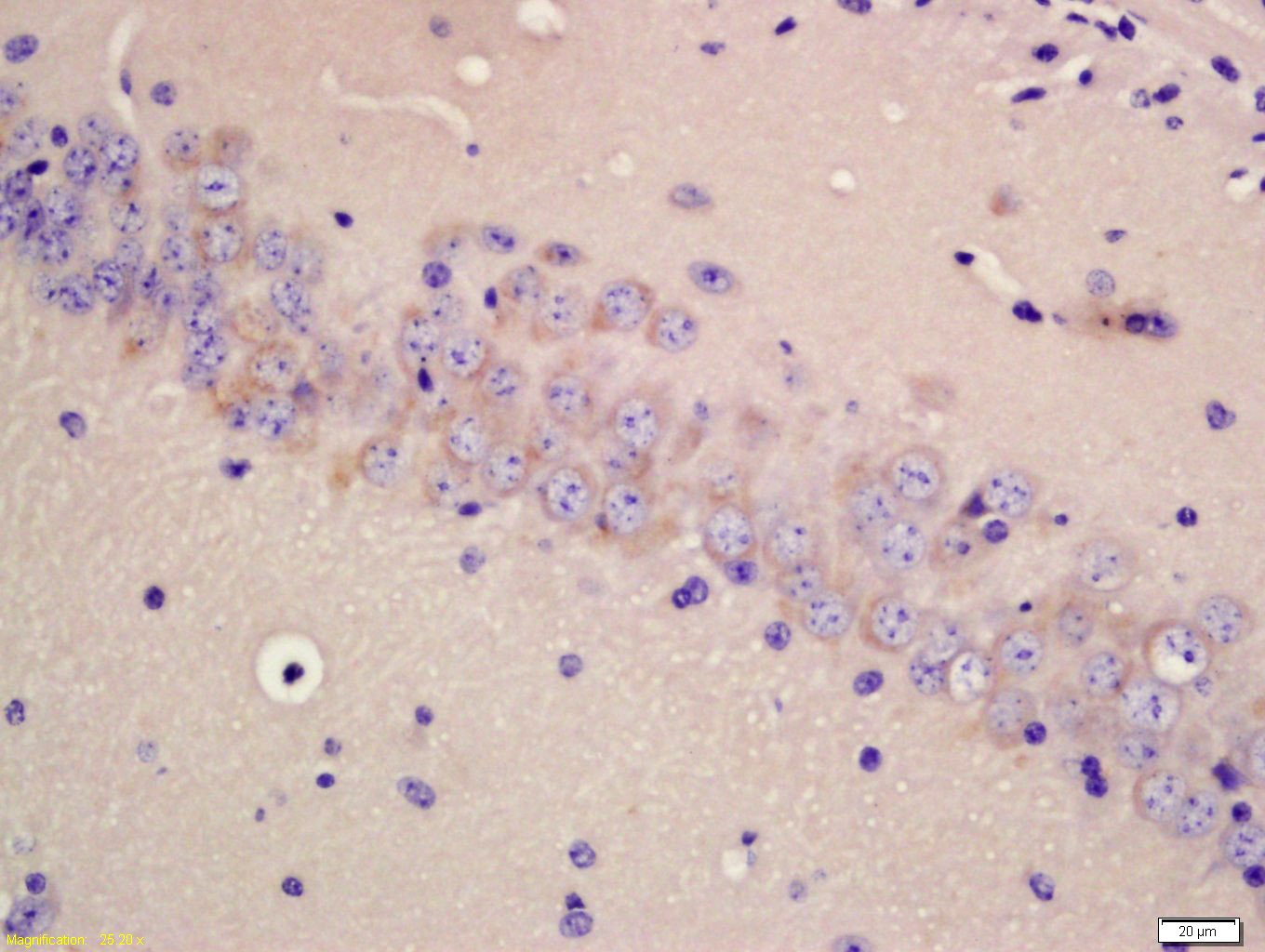
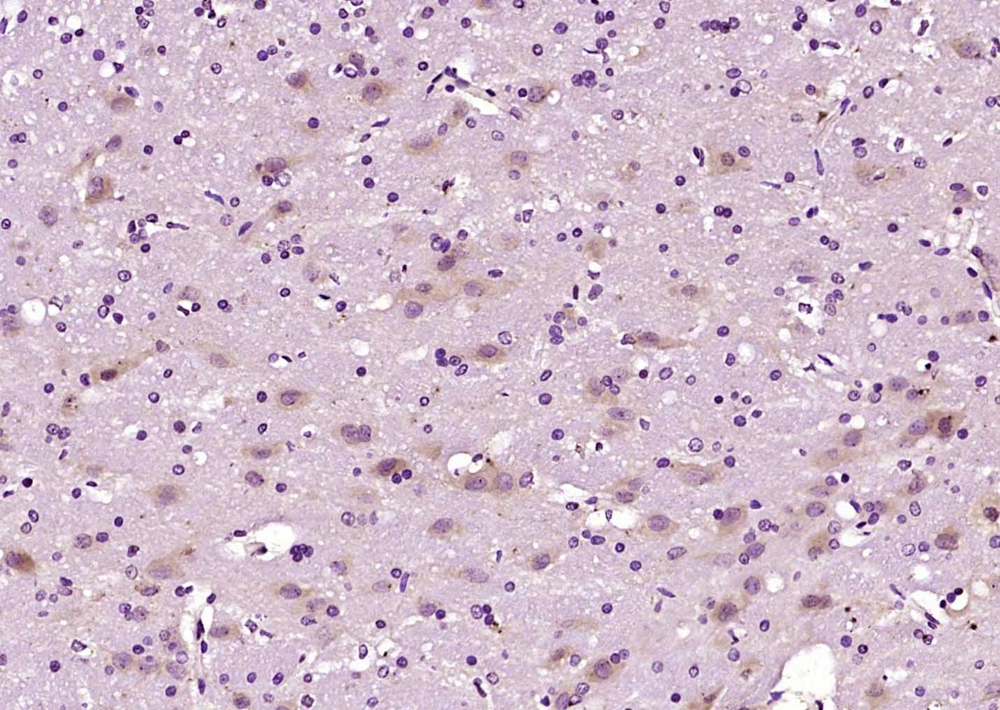
| Verified Activity | 1. Tissue/cell: rat brain tissue; 4% Paraformaldehyde-fixed and paraffin-embedded; Antigen retrieval: citrate buffer (0.01M, pH6.0), Boiling bathing for 15 min; Block endogenous peroxidase by 3% Hydrogen peroxide for 30 min; Blocking buffer (normal goat serum) at 37°C for 20 min; Incubation: Anti-TPH2 Polyclonal Antibody, Unconjugated (TMAB-01879) 1:200, overnight at 4°C, followed by conjugation to the secondary antibody and DAb staining. 2. Sample: U87Mg (Human) Cell Lysate at 30 μg U251 (Human) Cell Lysate at 30 μg Primary: Anti-TPH2 (TMAB-01879) at 1/1000 dilution Secondary: IRDye800CW Goat Anti-Rabbit IgG at 1/20000 dilution Predicted band size: 54 kDa Observed band size: 60 kDa 3. Paraformaldehyde-fixed, paraffin embedded (rat brain); Antigen retrieval by boiling in sodium citrate buffer (pH6.0) for 15 min; Block endogenous peroxidase by 3% hydrogen peroxide for 20 min; Blocking buffer (normal goat serum) at 37°C for 30 min; Antibody incubation with (TPH2) Polyclonal Antibody, Unconjugated (TMAB-01879) at 1:200 overnight at 4°C, followed by operating according to SP Kit (Rabbit) instructionsand DAB staining. ![]() ![]() ![]() |
| Application | |
| Recommended Dose | WB: 1:500-2000; IHC-P: 1:100-500; IHC-Fr: 1:100-500; IF: 1:100-500 |
| Antibody Type | Polyclonal |
| Host Species | Rabbit |
| Tissue Specificity | Brain specific. |
| Construction | Polyclonal Antibody |
| Purification | Protein A purified |
| Appearance | Liquid |
| Formulation | 0.01M TBS (pH7.4) with 1% BSA, 0.02% Proclin300 and 50% Glycerol. |
| Concentration | 1 mg/mL |
| Research Background | Phenylalanine hydroxylase (PAH), tyrosine hydroxylase (TH), tryptophan hydroxylase (TPH) and tryptophan hydroxylase 2 (TPH2) comprise a small family of monooxygenases that catalyze the rate-limiting step in the catabolism of aromatic L-amino acids and utilize tetrahydropterine as a cofactor. TPH2 is highly expressed in the central nervous system (CNS), mainly in the brain. TPH2 catalyzes the first step in the biosynthesis of serotonin in the CNS and melatonin in the pineal gland, and may be involved in the pathology of several neuropsychiatric disorders. Glucocorticoid-mediated reduction of TPH2 is associated with the etiology of mood disorders, specifically psychotic major depression, and TPH2 may be related to dysregulation of serotonin neurotransmission in the brain which commonly leads to suicidal behavior. |
| Immunogen | KLH conjugated synthetic peptide: human TPH2 |
| Antigen Species | Human |
| Gene Name | TPH2 |
| Gene ID | |
| Protein Name | Tryptophan 5-hydroxylase 2 |
| Uniprot ID | |
| Biology Area | Serotonin / 5HT |
| Molecular Weight | Theoretical: 54 kDa. Actual: 60 kDa. |
| Stability & Storage | Store at -20°C or -80°C for 12 months. Avoid repeated freeze-thaw cycles. |
| Transport | Shipping with blue ice. |
| Size | Quantity | Unit Price | Amount | Operation |
|---|

Copyright © 2015-2026 TargetMol Chemicals Inc. All Rights Reserved.