Shopping Cart
Remove All
Your shopping cart is currently empty
Anti-TOP2A Antibody (4D479) is a Rabbit antibody targeting TOP2A. Anti-TOP2A Antibody (4D479) can be used in IHC,IP,WB.
| Pack Size | Price | USA Warehouse | Global Warehouse | Quantity |
|---|---|---|---|---|
| 50 μL | $297 | 7-10 days | 7-10 days | |
| 100 μL | $498 | 7-10 days | 7-10 days |
| Description | Anti-TOP2A Antibody (4D479) is a Rabbit antibody targeting TOP2A. Anti-TOP2A Antibody (4D479) can be used in IHC,IP,WB. |
| Synonyms | TOP2, EC 5.99.1.3, DNA topoisomerase II, DNA topoisomerase 2-alpha, alpha isozyme |
| Ig Type | IgG |
| Clone | 4D479 |
| Reactivity | Human,Mouse,Rat |
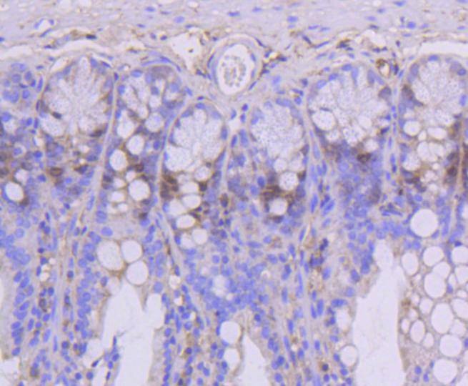
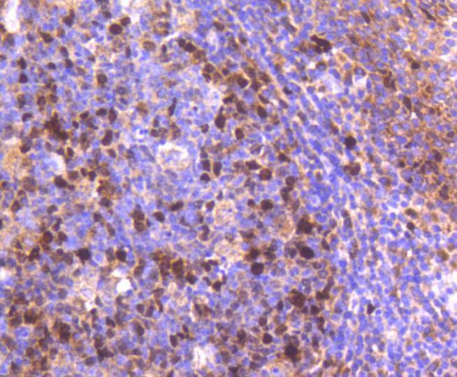
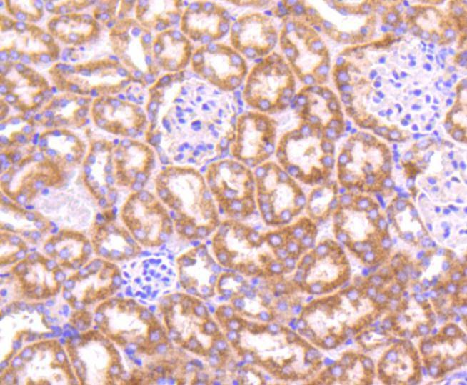
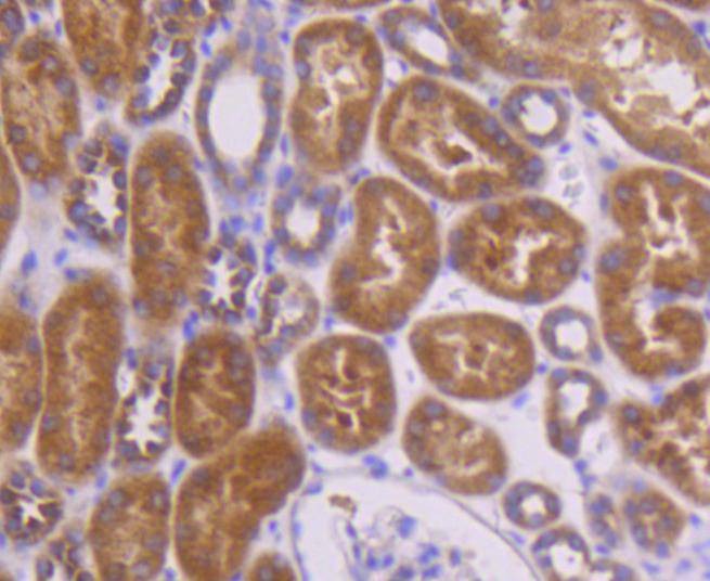
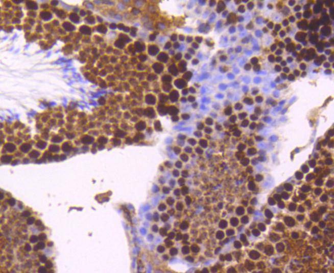
| Verified Activity | 1. Western blot analysis of Topoisomerase : alpha on mouse testis lysates using anti-Topoisomerase : alpha antibody at 1/1,000 dilution. 2. Immunohistochemical analysis of paraffin-embedded human tonsil tissue using anti-Topoisomerase : alpha antibody. Counter stained with hematoxylin. 3. Immunohistochemical analysis of paraffin-embedded human kidney tissue using anti-Topoisomerase : alpha antibody. Counter stained with hematoxylin. 4. Immunohistochemical analysis of paraffin-embedded mouse testis tissue using anti-Topoisomerase : alpha antibody. Counter stained with hematoxylin. 5. Immunohistochemical analysis of paraffin-embedded mouse colon tissue using anti-Topoisomerase : alpha antibody. Counter stained with hematoxylin. 6. Immunohistochemical analysis of paraffin-embedded mouse kidney tissue using anti-Topoisomerase : alpha antibody. Counter stained with hematoxylin. ![]() ![]() ![]() ![]() ![]() ![]() |
| Application | |
| Recommended Dose | WB: 1:1000-2000; IHC: 1:50-200 |
| Antibody Type | Monoclonal |
| Host Species | Rabbit |
| Construction | Recombinant Antibody |
| Purification | ProA affinity purified |
| Appearance | Liquid |
| Formulation | 1*TBS (pH7.4), 1%BSA, 40%Glycerol. Preservative: 0.05% Sodium Azide. |
| Research Background | DNA topoisomerase I and II (Topo I and Topo II) are nuclear enzymes that regulate the topological structure of DNA in eukaryotic cells by transiently breaking and rejoining DNA strands. Eukaryotic topoisomerases are capable of relaxing both positive and negative supercoils, whereas prokaryotic topoisomerases relax only negative supercoils. DNA topoisomerases play a role in DNA replication, recombination, and transcription and have been identified as targets of numerous anticancer drugs. Topo I, a ubiquitously expressed, soluble enzyme, acts by introducing a transient break in one strand of DNA, while Topo II acts by making a transient double-strand break. Topo II is encoded by two different genes to generate two distinct isoforms that are designated Topo IIα and Topo IIβ. Topo IIβ and Topo IIα, are largely homologous at their N-terminal three quarters, however, the C-terminal segments are considerably divergent, suggesting that these regions may mediate different cellular functions and account for the observed differential tissue expression patterns of the two isoforms. |
| Conjucates | Unconjugated |
| Immunogen | Recombinant Protein |
| Uniprot ID |
| Molecular Weight | Theoretical: 174 kDa. |
| Stability & Storage | Store at -20°C or -80°C for 12 months. Avoid repeated freeze-thaw cycles. |
| Transport | Shipping with blue ice. |
| Size | Quantity | Unit Price | Amount | Operation |
|---|

Copyright © 2015-2026 TargetMol Chemicals Inc. All Rights Reserved.