Shopping Cart
Remove All
Your shopping cart is currently empty
Anti-TnTc Polyclonal Antibody is a Rabbit antibody targeting TnTc. Anti-TnTc Polyclonal Antibody can be used in FCM,ICC/IF,IF,IHC-Fr,IHC-P,WB.
| Pack Size | Price | USA Stock | Global Stock | Quantity |
|---|---|---|---|---|
| 50 μL | $222 | 7-10 days | 7-10 days | |
| 100 μL | $372 | 7-10 days | 7-10 days | |
| 200 μL | $529 | 7-10 days | 7-10 days |
| Description | Anti-TnTc Polyclonal Antibody is a Rabbit antibody targeting TnTc. Anti-TnTc Polyclonal Antibody can be used in FCM,ICC/IF,IF,IHC-Fr,IHC-P,WB. |
| Synonyms | Troponin T, cardiac muscle, TnTc, Tnnt2, Cardiac muscle troponin T (cTnT), cardiac muscle |
| Ig Type | IgG |
| Reactivity | Human,Mouse,Rat (predicted:Dog,Pig,Cow) |
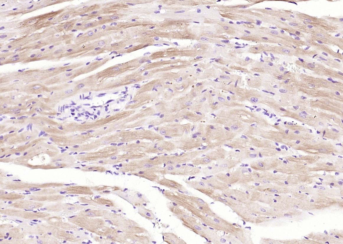
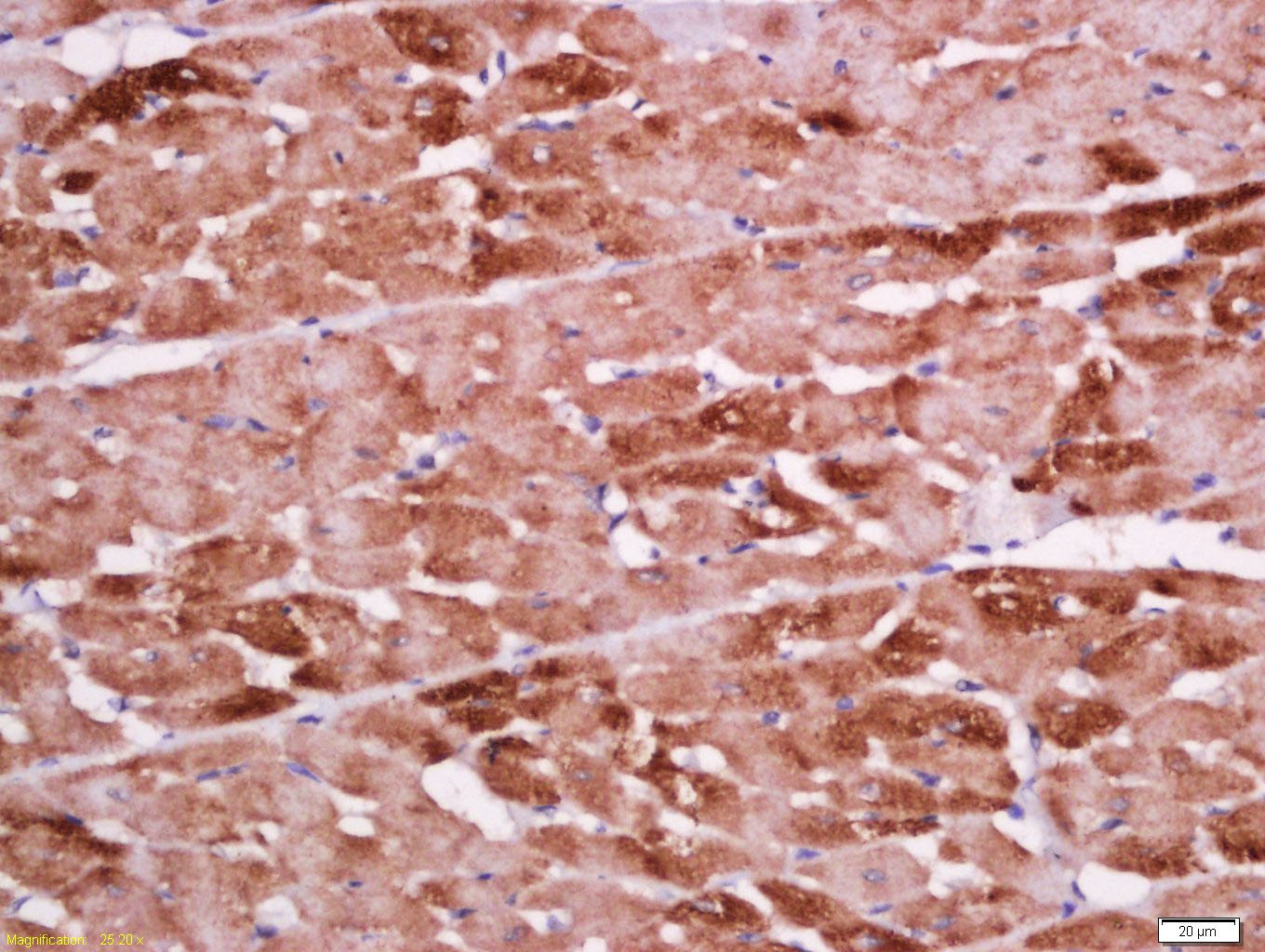
| Verified Activity | 1. Sample: H9C2 (Rat) Cell Lysate at 30 μg Primary: Anti-alpha smooth muscle Actin (TMAB-01877) at 1/500 dilution Secondary: IRDye800CW Goat Anti-Rabbit IgG at 1/20000 dilution Predicted band size: 36 kDa Observed band size: 36 kDa 2. Blank control: U-2OS. Primary Antibody (green line): Rabbit Anti-TNNT2 antibody (TMAB-01877) Dilution: 1 μg/10^6 cells; Isotype Control Antibody (orange line): Rabbit IgG. Secondary Antibody: Goat anti-rabbit IgG-AF647 Dilution: 1 μg/test. Protocol The cells were fixed with 4% PFA (10 min at room temperature) and then permeabilized with 0.1% PBST for 20 min at-20°C. The cells were then incubated in 5% BSA to block non-specific protein-protein interactions for 30 min at at room temperature. Cells stained with Primary Antibody for 30 min at room temperature. The secondary antibody used for 40 min at room temperature. 3. Cell: Neonatal rat ventricular cardiomyocytes; Dilution: 1:400; Incubation: Anti-Cardiac Troponin T Antibody, unconjugated (TMAB-01877); DAPI was used to stain the cell nucleus. The image is provided by Tongji University. 4. Positive control: H9C2 cells Concebtration: 2 μg/10^6 cells Incubation conditions: Avoid light , 30 minutes on the ice. 5. Tissue/cell: rat heart tissue; 4% Paraformaldehyde-fixed and paraffin-embedded; Antigen retrieval: citrate buffer (0.01M, pH6.0), Boiling bathing for 15 min; Block endogenous peroxidase by 3% Hydrogen peroxide for 30 min; Blocking buffer (normal goat serum) at 37°C for 20 min; Incubation: Anti-TNNT2 Polyclonal Antibody, Unconjugated (TMAB-01877) 1:500, overnight at 4°C, followed by conjugation to the secondary antibody and DAb staining. 6. Tissue/cell: rat heart tissue;4% Paraformaldehyde-fixed and paraffin-embedded; Antigen retrieval: citrate buffer (0.01M, pH6.0), Boiling bathing for 15 min; Blocking buffer (normal goat serum) at 37°C for 20 min; Incubation: Anti-TNNT2 Polyclonal Antibody, Unconjugated 1:500, overnight at 4°C; The secondary antibody was Goat Anti-Rabbit IgG, Cy3 conjugated used at 1:200 dilution for 40 minutes at 37°C. DAPI (5 μg/ml,blue) was used to stain the cell nucleus. 7. Paraformaldehyde-fixed, paraffin embedded (mouse heart); Antigen retrieval by boiling in sodium citrate buffer (pH6.0) for 15 min; Block endogenous peroxidase by 3% hydrogen peroxide for 20 min; Blocking buffer (normal goat serum) at 37°C for 30 min; Antibody incubation with (Cardiac Troponin T) Polyclonal Antibody, Unconjugated (TMAB-01877) at 1:200 overnight at 4°C, followed by operating according to SP Kit (Rabbit) instructionsand DAB staining. ![]() ![]() ![]() ![]() ![]() ![]() ![]() |
| Application | |
| Recommended Dose | WB: 1:500-2000; IHC-P: 1:100-500; IHC-Fr: 1:100-500; ICC/IF: 1:100-500; IF: 1:100-500; FCM: 1μg/Test |
| Antibody Type | Polyclonal |
| Host Species | Rabbit |
| Subcellular Localization | Cytoplasm. |
| Tissue Specificity | Heart. The fetal heart shows a greater expression in the atrium than in the ventricle, while the adult heart shows a greater expression in the ventricle than in the atrium. Isoform 6 predominates in normal adult heart. Isoforms 1, 7 and 8 are expressed in |
| Construction | Polyclonal Antibody |
| Purification | Protein A purified |
| Appearance | Liquid |
| Formulation | 0.01M TBS (pH7.4) with 1% BSA, 0.02% Proclin300 and 50% Glycerol. |
| Concentration | 1 mg/mL |
| Research Background | The protein encoded by this gene is the tropomyosin-binding subunit of the troponin complex, which is located on the thin filament of striated muscles and regulates muscle contraction in response to alterations in intracellular calcium ion concentration. Mutations in this gene have been associated with familial hypertrophic cardiomyopathy as well as with dilated cardiomyopathy. Transcripts for this gene undergo alternative splicing that results in many tissue-specific isoforms, however, the full-length nature of some of these variants has not yet been determined. [provided by RefSeq]. |
| Immunogen | KLH conjugated synthetic peptide: human Cardiac Troponin T |
| Antigen Species | Human |
| Gene Name | TNNT2 |
| Gene ID | |
| Protein Name | Troponin T, cardiac muscle |
| Uniprot ID | |
| Biology Area | Cardiomyocytes,Troponin,Troponin,Myogenesis |
| Function | Troponin T is the tropomyosin-binding subunit of troponin, the thin filament regulatory complex which confers calcium-sensitivity to striated muscle actomyosin ATPase activity. |
| Molecular Weight | Theoretical: 36 kDa. Actual: 36 kDa. |
| Stability & Storage | Store at -20°C or -80°C for 12 months. Avoid repeated freeze-thaw cycles. |
| Transport | Shipping with blue ice. |
| Size | Quantity | Unit Price | Amount | Operation |
|---|

Copyright © 2015-2026 TargetMol Chemicals Inc. All Rights Reserved.