Shopping Cart
Remove All
Your shopping cart is currently empty
Anti-TnTc Antibody (9C528) is a Rabbit antibody targeting TnTc. Anti-TnTc Antibody (9C528) can be used in IHC,WB.
| Pack Size | Price | USA Warehouse | Global Warehouse | Quantity |
|---|---|---|---|---|
| 50 μL | $297 | 7-10 days | 7-10 days | |
| 100 μL | $496 | 7-10 days | 7-10 days |
| Description | Anti-TnTc Antibody (9C528) is a Rabbit antibody targeting TnTc. Anti-TnTc Antibody (9C528) can be used in IHC,WB. |
| Synonyms | Troponin T, TNNT2, cTnT, Cardiac muscle troponin T, cardiac muscle |
| Ig Type | IgG |
| Clone | 9C528 |
| Reactivity | Human,Mouse,Rat |
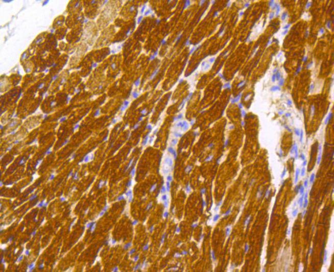
| Verified Activity | 1. Immunohistochemical analysis of paraffin-embedded mouse heart tissue using anti-Cardiac Troponin T antibody. Counter stained with hematoxylin. ![]() |
| Application | |
| Recommended Dose | WB: 1:1000-2000; IHC: 1:100-500 |
| Antibody Type | Monoclonal |
| Host Species | Rabbit |
| Construction | Recombinant Antibody |
| Purification | ProA affinity purified |
| Appearance | Liquid |
| Formulation | 1*TBS (pH7.4), 1%BSA, 40%Glycerol. Preservative: 0.05% Sodium Azide. |
| Research Background | Actin is a highly conserved protein that is expressed in all eukaryotic cells. Actin filaments can form both stable and labile structures and are crucial components of microvilli and the contractile apparatus of muscle cells. Myosin is a hexamer of two heavy chains (MHC) and four light chains (MLC) that interacts with Actin to generate the force for diverse cellular movements, including cytokinesis, phagocytosis and muscle contraction. Troponin facilitates the interaction between Actin and Myosin by binding to calcium. Troponin is made up of at least two subunits, which are divergent in cardiac muscle, fast skeletal muscle and slow skeletal muscle. Structures of skeletal muscle troponin are composed of Troponin C (the sensor), Troponin I (the regulator) and Troponin T (the link to the muscle thin filament). Troponin C is dumbbell-shaped and has a hydrophobic pocket that increases the contractile force of muscle fibers. Troponin C has two isoforms: fast and slow. Fast Troponin C has two calcium binding sites, while slow/cardiac Troponin C has a single calcium binding site. |
| Conjucates | Unconjugated |
| Immunogen | Recombinant Protein |
| Uniprot ID |
| Molecular Weight | Theoretical: 36 kDa. |
| Stability & Storage | Store at -20°C or -80°C for 12 months. Avoid repeated freeze-thaw cycles. |
| Transport | Shipping with blue ice. |
| Size | Quantity | Unit Price | Amount | Operation |
|---|

Copyright © 2015-2026 TargetMol Chemicals Inc. All Rights Reserved.