Shopping Cart
Remove All
Your shopping cart is currently empty
Anti-TNNI2 Antibody (1Z708) is a Mouse antibody targeting TNNI2. Anti-TNNI2 Antibody (1Z708) can be used in FCM,IHC,WB.
| Pack Size | Price | USA Warehouse | Global Warehouse | Quantity |
|---|---|---|---|---|
| 50 μL | $297 | 7-10 days | 7-10 days | |
| 100 μL | $426 | 7-10 days | 7-10 days |
| Description | Anti-TNNI2 Antibody (1Z708) is a Mouse antibody targeting TNNI2. Anti-TNNI2 Antibody (1Z708) can be used in FCM,IHC,WB. |
| Synonyms | Troponin I, fast-twitch isoform, Troponin I, fast skeletal muscle, Tnni2, fast skeletal muscle |
| Clone | 1Z708 |
| Reactivity | Human |
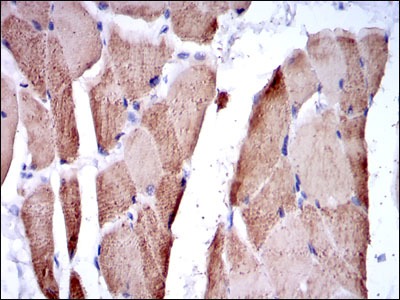
| Verified Activity | 1. Western blot analysis of TNNI2 on human TNNI2 recombinant protein using anti-TNNI2 antibody at 1/1,000 dilution. 2. Western blot analysis of TNNI2 on HEK293 (1) and TNNI2-hIgGFc transfected HEK293 (2) cell lysate using anti-TNNI2 antibody at 1/1,000 dilution. 3. Immunohistochemical analysis of paraffin-embedded human cardiac muscle tissue using anti-TNNI2 antibody. Counter stained with hematoxylin. 4. Immunohistochemical analysis of paraffin-embedded human striated muscle tissue using anti-TNNI2 antibody. Counter stained with hematoxylin. 5. Flow cytometric analysis of NIH/3T3 cells with TNNI2 antibody at 1/100 dilution (blue) compared with an unlabelled control (cells without incubation with primary antibody; red). ![]() ![]() ![]() ![]() ![]() |
| Application | |
| Recommended Dose | WB: 1:500-1000; IHC: 1:100-200; FCM: 1:100-200 |
| Antibody Type | Monoclonal |
| Host Species | Mouse |
| Construction | Hybridoma Monoclonal Antibody |
| Purification | ProA affinity purified |
| Appearance | Liquid |
| Formulation | 1*TBS (pH7.4), 1%BSA, Preservative: 0.05% Sodium Azide. |
| Research Background | Actin is a highly conserved protein that is expressed in all eukaryotic cells. Actin filaments can form both stable and labile structures and are crucial components of microvilli and the contractile apparatus of muscle cells. Myosin is a hexamer of 2 heavy chains (MHC) and 4 light chains (MLC) that interacts with actin to generate the force for diverse cellular movements, including cytokinesis, phagocytosis and muscle contraction. Troponin facilitates the interaction between actin and myosin by binding to calcium. Troponin is made up of at least two subunits, which are skeletal muscle skeletal muscle and slow skeletal muscle. Structures of skeletal muscle troponin are composed of Troponin C (the sensor), Troponin I (the regulator), and Troponin T (the link to the the regulator), and Troponin T C is dumbbell-shaped and has a hydrophobic pocket that increases the contractile force of muscle fibers. Troponin C has 2 isoforms: fast and slow. Fast troponin C has two calci um binding sites while slow / cardiac troponin C has a single calcium binding site. |
| Conjucates | Unconjugated |
| Immunogen | Recombinant Protein |
| Uniprot ID |
| Molecular Weight | Theoretical: 21 kDa. |
| Stability & Storage | Store at -20°C or -80°C for 12 months. Avoid repeated freeze-thaw cycles. |
| Transport | Shipping with blue ice. |
| Size | Quantity | Unit Price | Amount | Operation |
|---|

Copyright © 2015-2026 TargetMol Chemicals Inc. All Rights Reserved.