Shopping Cart
Remove All
Your shopping cart is currently empty
Synonyms: Zinc finger protein A20, tumor necrosis factor, alpha-induced protein 3, Tumor necrosis factor inducible protein A20, Tumor necrosis factor induced protein 3, Tumor necrosis factor alpha-induced protein 3, Tumor necrosis factor alpha induced protein 3, TNFAIP3 (A20), TNFAIP3, TNFAIP 3, TNFA1P2, TNF alpha-induced protein 3, TNAP3_HUMAN, Putative DNA-binding protein A20, Putative DNA binding protein A20, OTUD7C, OTU domain-containing protein 7C, OTU domain containing protein 7C, MGC138688, MGC138687, MGC104522, AISBL, A20
| Pack Size | Price | USA Stock | Global Stock | Quantity |
|---|---|---|---|---|
| 50 μL | $298 | 7-10 days | 7-10 days | |
| 100 μL | $497 | 7-10 days | 7-10 days |
| Description | Anti-TNFAIP3 Antibody (3Z618) is a Rabbit antibody targeting TNFAIP3. Anti-TNFAIP3 Antibody (3Z618) can be used in FCM,ICC/IF,IHC,WB. |
| Synonyms | Zinc finger protein A20, tumor necrosis factor, alpha-induced protein 3, Tumor necrosis factor inducible protein A20, Tumor necrosis factor induced protein 3, Tumor necrosis factor alpha-induced protein 3, Tumor necrosis factor alpha induced protein 3, TNFAIP3 (A20), TNFAIP3, TNFAIP 3, TNFA1P2, TNF alpha-induced protein 3, TNAP3_HUMAN, Putative DNA-binding protein A20, Putative DNA binding protein A20, OTUD7C, OTU domain-containing protein 7C, OTU domain containing protein 7C, MGC138688, MGC138687, MGC104522, AISBL, A20 |
| Ig Type | IgG |
| Clone | 3Z618 |
| Reactivity | Human |
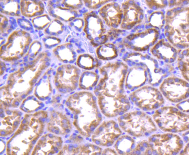
| Verified Activity | 1. Western blot analysis of TNFAIP3 on Jurkat cells lysates using anti-TNFAIP3 antibody at 1/1,000 dilution. 2. Immunohistochemical analysis of paraffin-embedded human kidney tissue using anti-TNFAIP3 antibody. Counter stained with hematoxylin. 3. ICC staining TNFAIP3 in Hela cells (green). The nuclear counter stain is DAPI (blue). Cells were fixed in paraformaldehyde, permeabilised with 0.25% Triton X100/PBS. 4. ICC staining TNFAIP3 in A549 cells (green). The nuclear counter stain is DAPI (blue). Cells were fixed in paraformaldehyde, permeabilised with 0.25% Triton X100/PBS. 5. ICC staining TNFAIP3 in HepG2 cells (green). The nuclear counter stain is DAPI (blue). Cells were fixed in paraformaldehyde, permeabilised with 0.25% Triton X100/PBS. 6. Flow cytometric analysis of HepG2 cells with TNFAIP3 antibody at 1/50 dilution (red) compared with an unlabelled control (cells without incubation with primary antibody; black). Alexa Fluor 488-conjugated goat anti rabbit IgG was used as the secondary antibody. |
| Application | |
| Recommended Dose | WB: 1:1000; IHC: 1:50-200; ICC/IF: 1:100-500; FCM: 1:50-100 |
| Antibody Type | Monoclonal |
| Host Species | Rabbit |
| Construction | Recombinant Antibody |
| Purification | ProA affinity purified |
| Appearance | Liquid |
| Formulation | 1*TBS (pH7.4), 1%BSA, 40%Glycerol. Preservative: 0.05% Sodium Azide. |
| Research Background | A20 is a Cys2/Cys2 zinc finger protein that is induced by a variety of inflammatory stimuli and regulates gene expression. Specifically, A20 is induced by tumor necrosis factor (TNF) and interleukin 1 (IL-1), and acts as a negative regulator of nuclear factor κ B (NFκB) gene expression. By inhibiting NFκB activation, A20 plays a critical role in terminating NFκB responses to various stimuli. Although the C-terminal region of A20 contains seven zinc finger domains, only four of these domains are required for in vitro inhibition of TNF-induced NFκB activation. A20 also interacts with several other proteins, such as TRAF2, TRAF6 and IκB kinase (IKK) γ protein, and can thereby inhibit cell death. TXBP151, a novel A20-binding protein, may mediate the apoptotic activity of A20. Involved in the negative feedback regulation of signal transduction, A20 and A20-binding proteins may be useful as novel therapeutic tools in the treatment of a variety of diseases. |
| Conjucates | Unconjugated |
| Immunogen | Recombinant Protein |
| Uniprot ID |
| Molecular Weight | Theoretical: 90 kDa. |
| Stability & Storage | Store at -20°C or -80°C for 12 months. Avoid repeated freeze-thaw cycles. |
| Transport | Shipping with blue ice. |
| Size | Quantity | Unit Price | Amount | Operation |
|---|

Copyright © 2015-2026 TargetMol Chemicals Inc. All Rights Reserved.