Shopping Cart
Remove All
Your shopping cart is currently empty
Anti-TM7SF2 Polyclonal Antibody is a Rabbit antibody targeting TM7SF2. Anti-TM7SF2 Polyclonal Antibody can be used in IF,IHC-Fr,IHC-P,WB.
| Pack Size | Price | USA Stock | Global Stock | Quantity |
|---|---|---|---|---|
| 50 μL | $220 | 7-10 days | 7-10 days | |
| 100 μL | $374 | 7-10 days | 7-10 days | |
| 200 μL | $528 | 7-10 days | 7-10 days |
| Description | Anti-TM7SF2 Polyclonal Antibody is a Rabbit antibody targeting TM7SF2. Anti-TM7SF2 Polyclonal Antibody can be used in IF,IHC-Fr,IHC-P,WB. |
| Synonyms | Transmembrane 7 superfamily member 2, TM7SF2, Sterol C14 reductase, Putative sterol reductase SR 1, NET47, ERG24, DHCR14A, delta-14-SR, delta(14) sterol reductase, delta 14 SR, C 14 sterol reductase, Another new gene 1 protein, ANG1 |
| Ig Type | IgG |
| Reactivity | Human,Mouse,Rat (predicted:Cow,Rabbit,Sheep) |
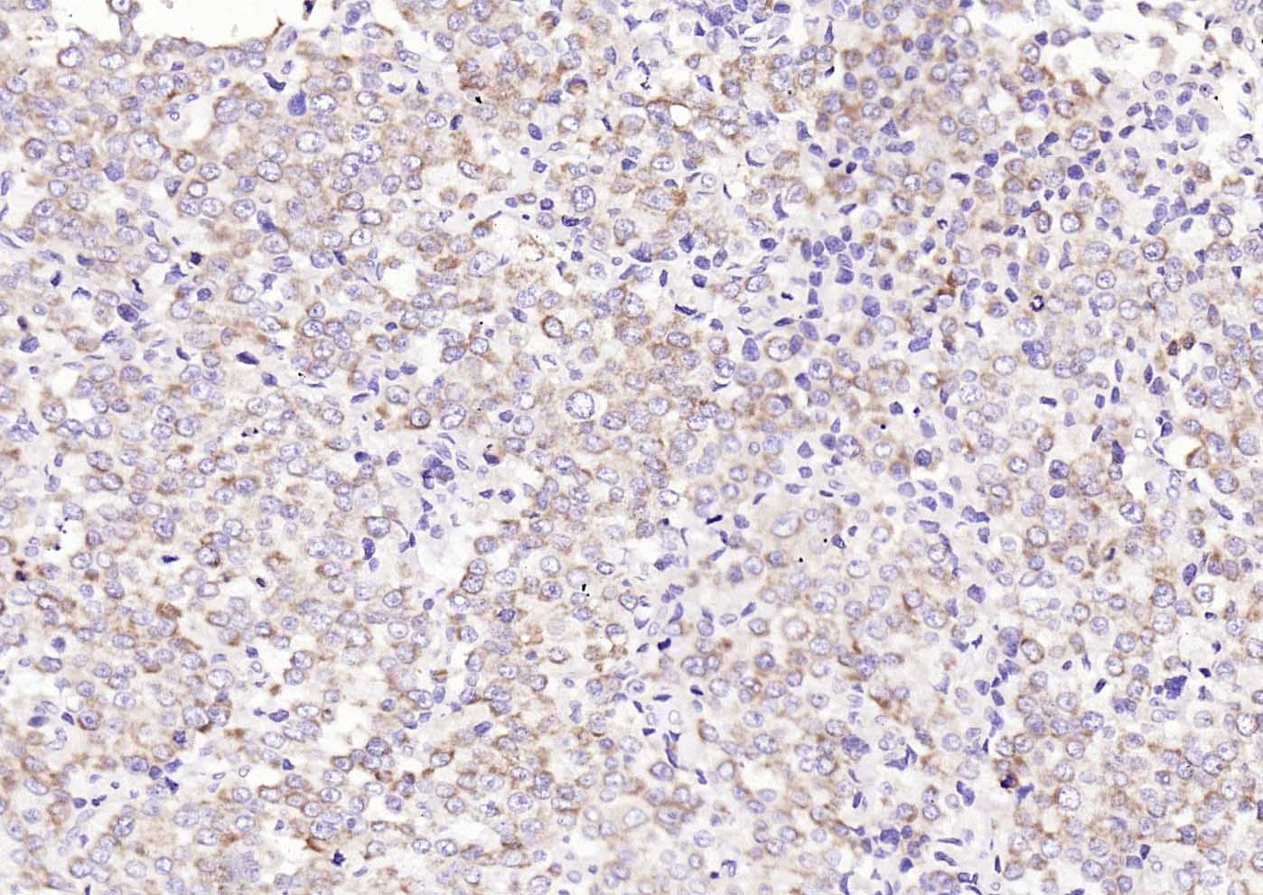
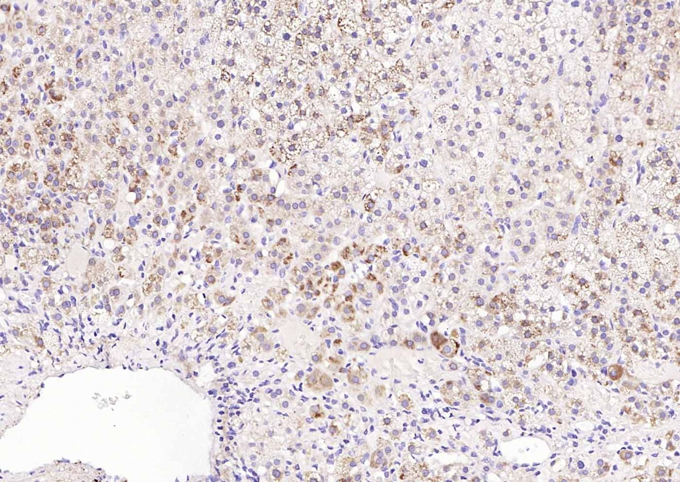
| Verified Activity | 1. Sample: Lane 1: Mouse Adrenal gland tissue lysates Lane 2: Rat Adrenal gland tissue lysates Primary: Anti-TM7SF2 (TMAB-01864) at 1/1000 dilution Secondary: IRDye800CW Goat Anti-Rabbit IgG at 1/20000 dilution Predicted band size: 46 kDa Observed band size: 58 kDa 2. Paraformaldehyde-fixed, paraffin embedded (Human prostatic cancer); Antigen retrieval by boiling in sodium citrate buffer (pH6.0) for 15 min; Block endogenous peroxidase by 3% hydrogen peroxide for 20 min; Blocking buffer (normal goat serum) at 37°C for 30 min; Incubation with (TM7SF2) Polyclonal Antibody, Unconjugated (TMAB-01864) at 1:200 overnight at 4°C, followed by operating according to SP Kit (Rabbit) instructionsand DAB staining. 3. Paraformaldehyde-fixed, paraffin embedded (Human adrenal gland); Antigen retrieval by boiling in sodium citrate buffer (pH6.0) for 15 min; Block endogenous peroxidase by 3% hydrogen peroxide for 20 min; Blocking buffer (normal goat serum) at 37°C for 30 min; Incubation with (TM7SF2) Polyclonal Antibody, Unconjugated (TMAB-01864) at 1:200 overnight at 4°C, followed by operating according to SP Kit (Rabbit) instructionsand DAB staining. 4. Paraformaldehyde-fixed, paraffin embedded (Human heart); Antigen retrieval by boiling in sodium citrate buffer (pH6.0) for 15 min; Block endogenous peroxidase by 3% hydrogen peroxide for 20 min; Blocking buffer (normal goat serum) at 37°C for 30 min; Incubation with (TM7SF2) Polyclonal Antibody, Unconjugated (TMAB-01864) at 1:200 overnight at 4°C, followed by operating according to SP Kit (Rabbit) instructionsand DAB staining. ![]() ![]() ![]() ![]() |
| Application | |
| Recommended Dose | WB: 1:500-2000; IHC-P: 1:100-500; IHC-Fr: 1:100-500; IF: 1:100-500 |
| Antibody Type | Polyclonal |
| Host Species | Rabbit |
| Subcellular Localization | Microsome membrane; Multi-pass membrane protein (By similarity). Endoplasmic reticulum membrane; Multi-pass membrane protein. |
| Tissue Specificity | Expressed in adult heart, brain, pancreas, lung, liver, skeletal muscle, kidney, ovary, prostate, and testis, but not detected in placenta, spleen, thymus, small intestine, colon (mucosal lining), or peripheral blood leukocytes. |
| Construction | Polyclonal Antibody |
| Purification | Protein A purified |
| Appearance | Liquid |
| Formulation | 0.01M TBS (pH7.4) with 1% BSA, 0.02% Proclin300 and 50% Glycerol. |
| Concentration | 1 mg/mL |
| Research Background | Involved in the conversion of lanosterol to cholesterol.Expressed in adult heart, brain, pancreas, lung, liver, skeletal muscle, kidney, ovary, prostate, and testis, but not detected in placenta, spleen, thymus, small intestine, colon (mucosal lining), or peripheral blood leukocytes. |
| Immunogen | KLH conjugated synthetic peptide: human TM7SF2/DHCR14A |
| Antigen Species | Human |
| Gene Name | TM7SF2 |
| Gene ID | |
| Protein Name | delta(14)-sterol reductase TM7SF2 |
| Uniprot ID | |
| Function | Involved in the conversion of lanosterol to cholesterol. |
| Molecular Weight | Theoretical: 46 kDa. Actual: 58 kDa. |
| Stability & Storage | Store at -20°C or -80°C for 12 months. Avoid repeated freeze-thaw cycles. |
| Transport | Shipping with blue ice. |
| Size | Quantity | Unit Price | Amount | Operation |
|---|

Copyright © 2015-2026 TargetMol Chemicals Inc. All Rights Reserved.