Shopping Cart
Remove All
Your shopping cart is currently empty
Anti-TK1 Antibody (6W861) is a Rabbit antibody targeting TK1. Anti-TK1 Antibody (6W861) can be used in FCM,ICC/IF,IHC,IP,WB.
| Pack Size | Price | USA Warehouse | Global Warehouse | Quantity |
|---|---|---|---|---|
| 50 μL | $297 | 7-10 days | 7-10 days | |
| 100 μL | $497 | 7-10 days | 7-10 days |
| Description | Anti-TK1 Antibody (6W861) is a Rabbit antibody targeting TK1. Anti-TK1 Antibody (6W861) can be used in FCM,ICC/IF,IHC,IP,WB. |
| Synonyms | TK1, Thymidine kinase, cytosolic |
| Ig Type | IgG |
| Clone | 6W861 |
| Reactivity | Human |
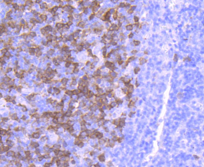
| Verified Activity | 1. Western blot analysis of Thymidine Kinase 1 on different lysates using anti-Thymidine Kinase 1 antibody at 1/1,000 dilution. Positive control: Lane 1: 293T, Lane 2: Hela. 2. Immunohistochemical analysis of paraffin-embedded human tonsil tissue using anti-Thymidine Kinase 1 antibody. Counter stained with hematoxylin. 3. ICC staining Thymidine Kinase 1 in Hela cells (red). The nuclear counter stain is DAPI (blue). Cells were fixed in paraformaldehyde, permeabilised with 0.25% Triton X100/PBS. 4. ICC staining Thymidine Kinase 1 in NIH/3T3 cells (red). The nuclear counter stain is DAPI (blue). Cells were fixed in paraformaldehyde, permeabilised with 0.25% Triton X100/PBS. 5. ICC staining Thymidine Kinase 1 in SW480 cells (red). The nuclear counter stain is DAPI (blue). Cells were fixed in paraformaldehyde, permeabilised with 0.25% Triton X100/PBS. 6. Flow cytometric analysis of Hela cells with Thymidine Kinase 1 antibody at 1/50 dilution (red) compared with an unlabelled control (cells without incubation with primary antibody; black). Alexa Fluor 488-conjugated goat anti rabbit IgG was used as the secondary antibody. ![]() ![]() ![]() ![]() ![]() ![]() |
| Application | |
| Recommended Dose | WB: 1:1000; IHC: 1:50-200; ICC/IF: 1:50-200; FCM: 1:50-100 |
| Antibody Type | Monoclonal |
| Host Species | Rabbit |
| Construction | Recombinant Antibody |
| Purification | ProA affinity purified |
| Appearance | Liquid |
| Formulation | 1*TBS (pH7.4), 1%BSA, 40%Glycerol. Preservative: 0.05% Sodium Azide. |
| Research Background | Thymidine Kinase (TK1) is a highly conserved phosphotransferase that is present in most living cells. Thymidine Kinase catalyzes the phosphorylation reaction: deoxythymidine + ATP = deoxythymidine 5'-phosphate + ADP; it is thus involved in the reaction chain to introduce deoxythymidine into the DNA. Thymidine kinase is required for the action of many antiviral drugs, such as azidothymidine (AZT), and is is also used to select hybridoma cell lines in the production of monoclonal antibodies. Thymidine Kinase has many clinical applications as it is only present in anticipation of cell division. Because of this, Thymidine Kinase can be used as a proliferation marker in the diagnosis, treatment, and follow-up of malignant diseases, especially hematological malignancies. Thymidine Kinase may be observed as a monomer, dimer, trimer or tetramer. |
| Conjucates | Unconjugated |
| Immunogen | Recombinant Protein |
| Uniprot ID |
| Molecular Weight | Theoretical: 25 kDa. |
| Stability & Storage | Store at -20°C or -80°C for 12 months. Avoid repeated freeze-thaw cycles. |
| Transport | Shipping with blue ice. |
| Size | Quantity | Unit Price | Amount | Operation |
|---|

Copyright © 2015-2026 TargetMol Chemicals Inc. All Rights Reserved.