Shopping Cart
Remove All
Your shopping cart is currently empty
Anti-Thy1/CD90 Antibody (8H794) is a Rabbit antibody targeting Thy1/CD90. Anti-Thy1/CD90 Antibody (8H794) can be used in ICC,IHC,WB.
| Pack Size | Price | USA Warehouse | Global Warehouse | Quantity |
|---|---|---|---|---|
| 50 μL | $297 | 7-10 days | 7-10 days | |
| 100 μL | $497 | 7-10 days | 7-10 days |
| Description | Anti-Thy1/CD90 Antibody (8H794) is a Rabbit antibody targeting Thy1/CD90. Anti-Thy1/CD90 Antibody (8H794) can be used in ICC,IHC,WB. |
| Synonyms | Thy-1 membrane glycoprotein, Thy-1 antigen, CDw90 |
| Ig Type | IgG |
| Clone | 8H794 |
| Reactivity | Human,Rat |
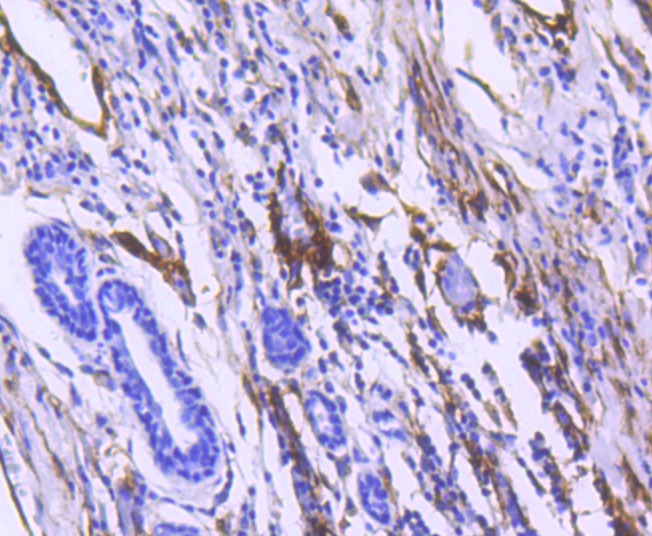
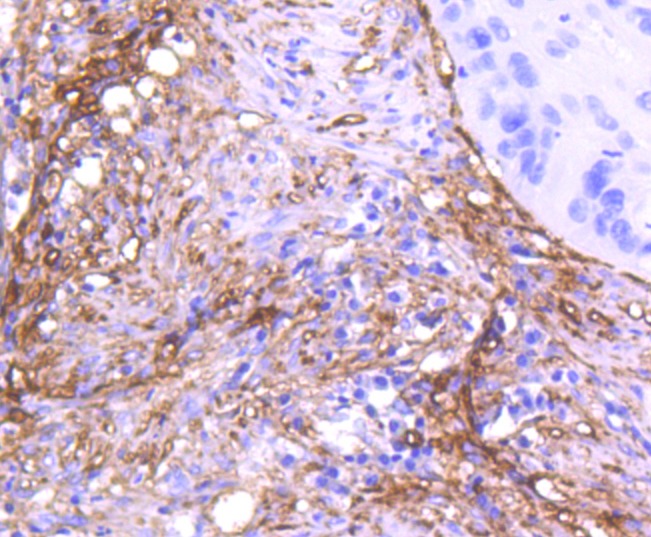
| Verified Activity | 1. Immunohistochemical analysis of paraffin-embedded human lung cancer tissue using anti-CD90 antibody. Counter stained with hematoxylin. 2. Immunohistochemical analysis of paraffin-embedded human breast carcinoma tissue using anti-CD90 antibody. Counter stained with hematoxylin. ![]() ![]() |
| Application | |
| Recommended Dose | WB: 1:500-1000; IHC: 1:50-200; ICC: 1:50-200 |
| Antibody Type | Monoclonal |
| Host Species | Rabbit |
| Construction | Recombinant Antibody |
| Purification | ProA affinity purified |
| Appearance | Liquid |
| Formulation | 1*TBS (pH7.4), 1%BSA, 40%Glycerol. Preservative: 0.05% Sodium Azide. |
| Research Background | Over 100 cell surface markers have been identified through the use of monoclonal antibodies. Many of these markers have proven useful in identifying specific subpopulations of cells within mixed colonies. Accordingly, these molecules have been assigned a "cluster of differentiation" (CD) designation. One such marker, designated Thy-1 (also referred to as CDw90), is a phosphatidyl-anchored cell surface glycoprotein which, when coexpressed with CD34 on cells from normal human bone marrow, identifies a subpopulation that includes putative hematopoietic, pleuripotent stem cells. Thy-1+ cells from bone marrow have been implicated in syngeneic graft versus host disease and may serve to regulate autoreactivity after bone marrow transplant. |
| Conjucates | Unconjugated |
| Immunogen | Recombinant Protein |
| Uniprot ID |
| Molecular Weight | Theoretical: 18 kDa. |
| Stability & Storage | Store at -20°C or -80°C for 12 months. Avoid repeated freeze-thaw cycles. |
| Transport | Shipping with blue ice. |
| Size | Quantity | Unit Price | Amount | Operation |
|---|

Copyright © 2015-2026 TargetMol Chemicals Inc. All Rights Reserved.