Shopping Cart
- Remove All
 Your shopping cart is currently empty Your shopping cart is currently empty
Anti-Thrombomodulin Antibody (5U850) is a Rabbit antibody targeting Thrombomodulin. Anti-Thrombomodulin Antibody (5U850) can be used in IHC,IP,WB.
| Pack Size | Price | Availability | Quantity | 
|---|---|---|---|
| 50 μL | $298 | 7-10 days | |
| 100 μL | $497 | 7-10 days | 
| Description | Anti-Thrombomodulin Antibody (5U850) is a Rabbit antibody targeting Thrombomodulin. Anti-Thrombomodulin Antibody (5U850) can be used in IHC,IP,WB. | 
| Synonyms | TM, thrombomodulin, THRM, THPH12, CD141, BDCA3, AHUS6 | 
| Ig Type | IgG | 
| Clone | 5U850 | 
| Reactivity | Human | 
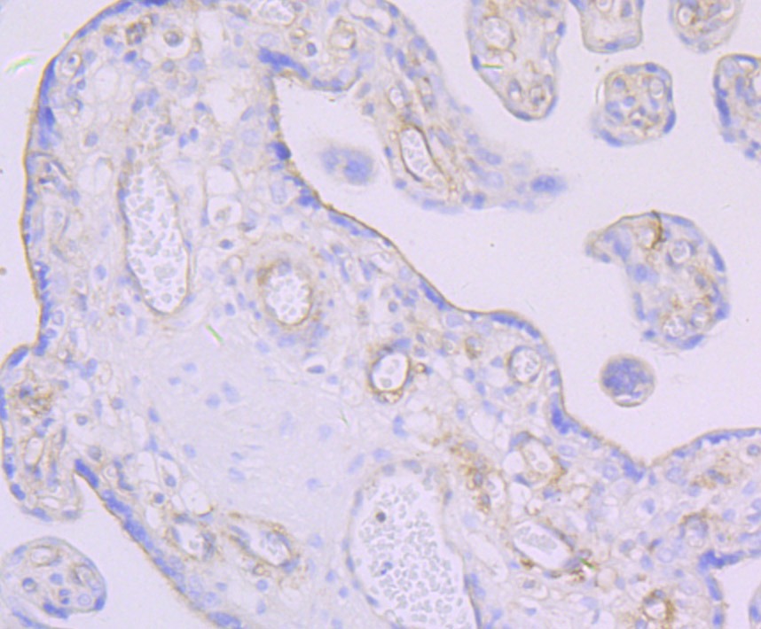
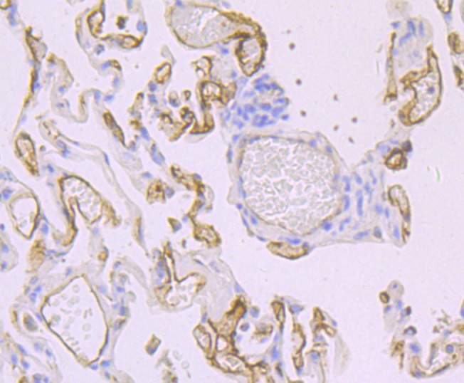
| Verified Activity | 1. Western blot analysis of Thrombomodulin on A431 cell using anti-Thrombomodulin antibody at 1/500 dilution. 2. Immunohistochemical analysis of paraffin-embedded human placenta tissue using anti-Thrombomodulin antibody. Counter stained with hematoxylin. 3. Immunohistochemical analysis of paraffin-embedded human lung cancer tissue using anti-Thrombomodulin antibody. Counter stained with hematoxylin.    | 
| Application | |
| Recommended Dose | WB: 1:500-2000; IHC: 1:50-200; IP: 1:10-50 | 
| Antibody Type | Monoclonal | 
| Host Species | Rabbit | 
| Construction | Recombinant Antibody | 
| Purification | ProA affinity purified | 
| Appearance | Liquid | 
| Formulation | 1*TBS (pH7.4), 1%BSA, 40%Glycerol. Preservative: 0.05% Sodium Azide. | 
| Research Background | Thrombomodulin (TM), also called CD141, is a type I membrane receptor that is specific to endothelial cells. TM has a cysteine-rich extracellular domain with six EGF-like regions. It forms a complex with Thrombin, which activates Protein C to generate activated Protein C (APC), an anticoagulant enzyme. APC together with Protein S inhibits coagulation by inactivating Factors Va and VIIIa. Deletion of the TM gene results in embryonic lethality in mice. | 
| Conjucates | Unconjugated | 
| Immunogen | Recombinant Protein | 
| Uniprot ID | 
| Molecular Weight | Theoretical: 100 kDa. | 
| Stability & Storage | Store at -20°C or -80°C for 12 months. Avoid repeated freeze-thaw cycles. | 
| Transport | Shipping with blue ice. | 

Copyright © 2015-2025 TargetMol Chemicals Inc. All Rights Reserved.