Shopping Cart
Remove All
Your shopping cart is currently empty
Anti-Thioredoxin/TRX Antibody (5F422) is a Rabbit antibody targeting Thioredoxin/TRX. Anti-Thioredoxin/TRX Antibody (5F422) can be used in ICC/IF,IHC,IP,WB.
| Pack Size | Price | USA Warehouse | Global Warehouse | Quantity |
|---|---|---|---|---|
| 50 μL | $296 | 7-10 days | 7-10 days | |
| 100 μL | $498 | 7-10 days | 7-10 days |
| Description | Anti-Thioredoxin/TRX Antibody (5F422) is a Rabbit antibody targeting Thioredoxin/TRX. Anti-Thioredoxin/TRX Antibody (5F422) can be used in ICC/IF,IHC,IP,WB. |
| Synonyms | TXN, TRX1, TRX, TRDX, Thioredoxin, Surface-Associated Sulphydryl Protein, SASP, ATL-Derived Factor, ADF |
| Ig Type | IgG |
| Clone | 5F422 |
| Reactivity | Human |
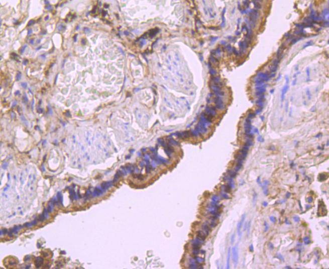
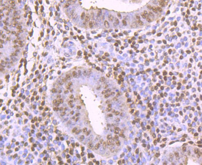
| Verified Activity | 1. Western blot analysis of TRX1 on different lysates using anti-TRX1 antibody at 1/1,000 dilution. Positive control: Lane 1: Hela, Lane 2: Human lung. 2. Immunohistochemical analysis of paraffin-embedded human uterus tissue using anti-TRX1 antibody. Counter stained with hematoxylin. 3. Immunohistochemical analysis of paraffin-embedded human lung tissue using anti-TRX1 antibody. Counter stained with hematoxylin. 4. ICC staining TRX1 in Hela cells (red). The nuclear counter stain is DAPI (blue). Cells were fixed in paraformaldehyde, permeabilised with 0.25% Triton X100/PBS. 5. ICC staining TRX1 in MCF-7 cells (red). The nuclear counter stain is DAPI (blue). Cells were fixed in paraformaldehyde, permeabilised with 0.25% Triton X100/PBS. 6. ICC staining TRX1 in SKOV-3 cells (red). The nuclear counter stain is DAPI (blue). Cells were fixed in paraformaldehyde, permeabilised with 0.25% Triton X100/PBS. ![]() ![]() ![]() ![]() ![]() ![]() |
| Application | |
| Recommended Dose | WB: 1:1000; IHC: 1:50-200; ICC/IF: 1:100-200 |
| Antibody Type | Monoclonal |
| Host Species | Rabbit |
| Construction | Recombinant Antibody |
| Purification | ProA affinity purified |
| Appearance | Liquid |
| Formulation | 1*TBS (pH7.4), 1%BSA, 40%Glycerol. Preservative: 0.05% Sodium Azide. |
| Research Background | Thioredoxin (Trx) is a redox protein that is found in several species, such as bacteria, plants and mammals, and contains a conserved active site, consisting of Trp-Cys-Gly-Pro-Cys. Trx has several biological functions. It acts as a hydrogen donor for ribonucleotide reductase, which is critical for DNA synthesis, and modulates the DNA-binding activity of several transcription factors, including NFkB, AP-1, p53, TFIIIC and glucocorticoid receptor. Trx also stimulates cell growth, is an inhibitor of apoptosis and plays a role in the protection against oxidative stress. Drugs that inhibit Trx have antitumor activity, suggesting that Trx is involved in a variety of human diseases, including cancer. TrxR is a ubiquitously expressed flavoprotein that catalyzes the NADPH-dependent reduction of Trx as well as several other oxidized cellular components. |
| Conjucates | Unconjugated |
| Immunogen | Recombinant Protein |
| Uniprot ID |
| Molecular Weight | Theoretical: 12 kDa. |
| Stability & Storage | Store at -20°C or -80°C for 12 months. Avoid repeated freeze-thaw cycles. |
| Transport | Shipping with blue ice. |
| Size | Quantity | Unit Price | Amount | Operation |
|---|

Copyright © 2015-2026 TargetMol Chemicals Inc. All Rights Reserved.