Shopping Cart
Remove All
Your shopping cart is currently empty
Anti-TGN46 Antibody (3J458) is a Rabbit antibody targeting TGN46. Anti-TGN46 Antibody (3J458) can be used in IHC,IP,WB.
| Pack Size | Price | USA Warehouse | Global Warehouse | Quantity |
|---|---|---|---|---|
| 50 μL | $297 | 7-10 days | 7-10 days | |
| 100 μL | $497 | 7-10 days | 7-10 days |
| Description | Anti-TGN46 Antibody (3J458) is a Rabbit antibody targeting TGN46. Anti-TGN46 Antibody (3J458) can be used in IHC,IP,WB. |
| Synonyms | Trans-Golgi network protein 2, Trans-Golgi network integral membrane protein 2, Trans-Golgi network glycoprotein 51, Trans-Golgi network glycoprotein 48, Trans-Golgi network glycoprotein 46 |
| Ig Type | IgG |
| Clone | 3J458 |
| Reactivity | Human |
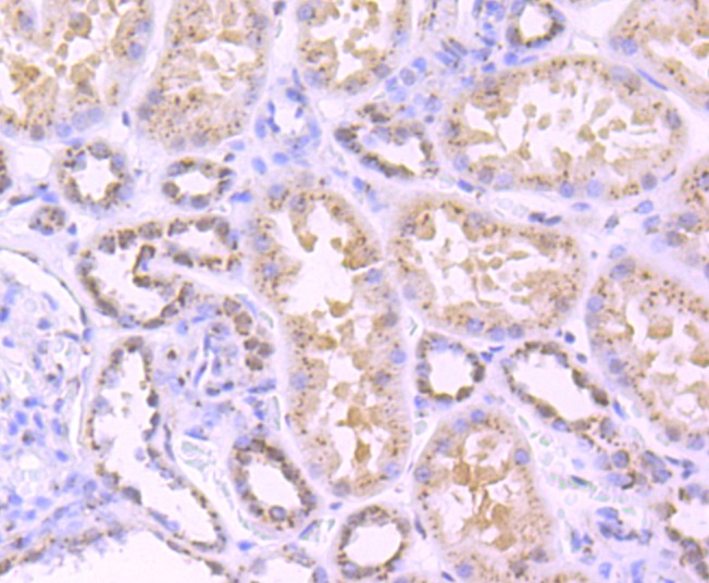
| Verified Activity | 1. Western blot analysis of TGN46 on NIH/3T3 cells lysates using anti-TGN46 antibody at 1/1,000 dilution. 2. Immunohistochemical analysis of paraffin-embedded human kidney tissue using anti-TGN46 antibody. Counter stained with hematoxylin. ![]() ![]() |
| Application | |
| Recommended Dose | WB: 1:1000-2000; IHC: 1:50-200; IP: 1:50-100 |
| Antibody Type | Monoclonal |
| Host Species | Rabbit |
| Construction | Recombinant Antibody |
| Purification | ProA affinity purified |
| Appearance | Liquid |
| Formulation | 1*TBS (pH7.4), 1%BSA, 40%Glycerol. Preservative: 0.05% Sodium Azide. |
| Research Background | TGN38 (trans-Golgi network protein 2) is a type I integral membrane protein that constitutively cycles between the TGN and plasma membrane where it partitions nascent proteins into carrier vesicles for transport to appropriate destinations in the cell. The cytosolic domain of TGN38 interacts with AP2 Clathrin adaptor complexes via the tyrosine-containing motif (SDYQRL) to direct internalization from the plasma membrane. N- and O-linked oligosaccharide chains attach to the core TGN38 protein to produce a protein present in brain, lung and kidney. |
| Conjucates | Unconjugated |
| Immunogen | Recombinant Protein |
| Uniprot ID |
| Molecular Weight | Theoretical: 95 kDa. |
| Stability & Storage | Store at -20°C or -80°C for 12 months. Avoid repeated freeze-thaw cycles. |
| Transport | Shipping with blue ice. |
| Size | Quantity | Unit Price | Amount | Operation |
|---|

Copyright © 2015-2026 TargetMol Chemicals Inc. All Rights Reserved.