Shopping Cart
Remove All
Your shopping cart is currently empty
Anti-TGM2 Antibody (9X389) is a Rabbit antibody targeting TGM2. Anti-TGM2 Antibody (9X389) can be used in IHC,IP,WB.
| Pack Size | Price | USA Warehouse | Global Warehouse | Quantity |
|---|---|---|---|---|
| 50 μL | $297 | 7-10 days | 7-10 days | |
| 100 μL | $498 | 7-10 days | 7-10 days |
| Description | Anti-TGM2 Antibody (9X389) is a Rabbit antibody targeting TGM2. Anti-TGM2 Antibody (9X389) can be used in IHC,IP,WB. |
| Synonyms | transglutaminase 2, TGC, TG2, HEL-S-45, G-α-h, GNAH, G-ALPHA-h |
| Ig Type | IgG |
| Clone | 9X389 |
| Reactivity | Human,Mouse |
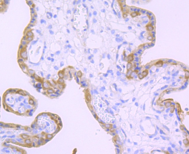
| Verified Activity | 1. Western blot analysis of Transglutaminase 2 on mouse placenta (1) and lung tissue lysates using anti-Transglutaminase 2 antibody at 1/500 dilution. 2. Western blot analysis of Transglutaminase 2 on HUVEC cell lysates using anti-Transglutaminase 2 antibody at 1/500 dilution. 3. Immunohistochemical analysis of paraffin-embedded human placenta tissue using anti-Transglutaminase 2 antibody. Counter stained with hematoxylin. ![]() ![]() ![]() |
| Application | |
| Recommended Dose | WB: 1:500-2000; IHC: 1:50-200 |
| Antibody Type | Monoclonal |
| Host Species | Rabbit |
| Construction | Recombinant Antibody |
| Purification | ProA affinity purified |
| Appearance | Liquid |
| Formulation | 1*TBS (pH7.4), 1%BSA, 40%Glycerol. Preservative: 0.05% Sodium Azide. |
| Research Background | Terminally differentiating mammalian epidermal cells acquire an insoluble, 10 to 20 nm thick protein deposit on the intracellular surface of the plasma membrane known as the cross-linked cell envelope (CE). The CE is a component of the epidermis that is generated through formation of disulfide bonds and g-glutamyl-lysine isodipeptide bonds, which are formed by the action of transglutaminases (TGases). TGases are intercellularly localizing, Ca2+-dependent enzymes that catalyze the formation of isopeptide bonds by transferring an amine on to glutaminyl residues, thereby cross-linking glutamine residues and lysine residues in substrate proteins. TGases influence numerous biological processes, including blood coagulation, epidermal differentiation, seminal fluid coagulation, fertilization, cell differentiation and apoptosis. Human keratinocyte transglutaminase (TGase1) is a membrane associated, 817 amino acid protein. Human tissue transglutaminase (TGase2) is an endothelial cell specific, 687 amino acid protein. |
| Conjucates | Unconjugated |
| Immunogen | Recombinant Protein |
| Uniprot ID |
| Molecular Weight | Theoretical: 77 kDa. |
| Stability & Storage | Store at -20°C or -80°C for 12 months. Avoid repeated freeze-thaw cycles. |
| Transport | Shipping with blue ice. |
| Size | Quantity | Unit Price | Amount | Operation |
|---|

Copyright © 2015-2026 TargetMol Chemicals Inc. All Rights Reserved.