Shopping Cart
Remove All
Your shopping cart is currently empty
Anti-TBX21 Polyclonal Antibody is a Rabbit antibody targeting TBX21. Anti-TBX21 Polyclonal Antibody can be used in IF,IHC-Fr,IHC-P,WB.
| Pack Size | Price | USA Stock | Global Stock | Quantity |
|---|---|---|---|---|
| 50 μL | $220 | 7-10 days | 7-10 days | |
| 100 μL | $374 | 7-10 days | 7-10 days | |
| 200 μL | $527 | 7-10 days | 7-10 days |
| Description | Anti-TBX21 Polyclonal Antibody is a Rabbit antibody targeting TBX21. Anti-TBX21 Polyclonal Antibody can be used in IF,IHC-Fr,IHC-P,WB. |
| Synonyms | Transcription factor TBLYM, T-cell-specific T-box transcription factor T-bet, TBX21, T-box transcription factor TBX21, T-box protein 21, TBLYM, TBET |
| Ig Type | IgG |
| Reactivity | Human,Mouse (predicted:Rat,Dog,Pig,Cow,Horse) |
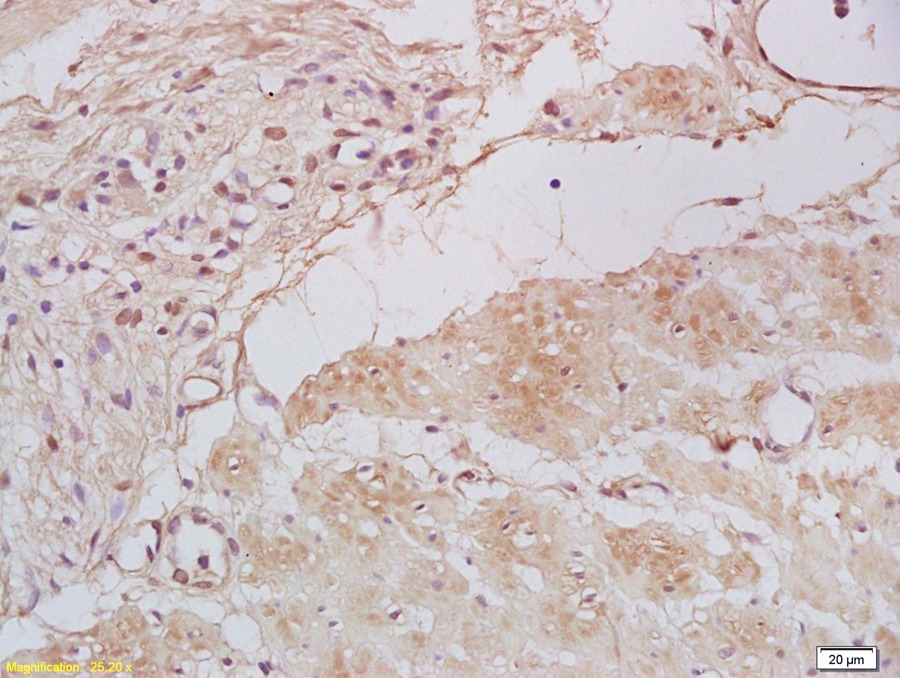
| Verified Activity | 1. Sample: Thymus (Mouse) Lysate at 40 μg Primary: Anti-Tbx21 (TMAB-01813) at 1/300 dilution Secondary: IRDye800CW Goat Anti-Rabbit IgG at 1/20000 dilution Predicted band size: 59 kDa Observed band size: 59 kDa 2. Tissue/cell: human gastric carcinoma; 4% Paraformaldehyde-fixed and paraffin-embedded; Antigen retrieval: citrate buffer (0.01M, pH6.0), Boiling bathing for 15 min; Block endogenous peroxidase by 3% Hydrogen peroxide for 30 min; Blocking buffer (normal goat serum) at 37°C for 20 min; Incubation: Anti-Tbx21/T-bet Polyclonal Antibody, Unconjugated (TMAB-01813) 1:200, overnight at 4°C, followed by conjugation to the secondary antibody and DAb staining. 3. Sample: Lane 1: Lung (Mouse) Lysate at 40 μg Lane 2: Thymus (Mouse) Lysate at 40 μg Primary: Anti-Tbx21 (TMAB-01813) at 1/500 dilution Secondary: IRDye800CW Goat Anti-Rabbit IgG at 1/20000 dilution Predicted band size: 58 kDa Observed band size: 60 kDa ![]() ![]() ![]() |
| Application | |
| Recommended Dose | WB: 1:500-2000; IHC-P: 1:100-500; IHC-Fr: 1:100-500; IF: 1:100-500 |
| Antibody Type | Polyclonal |
| Host Species | Rabbit |
| Subcellular Localization | Nucleus. |
| Tissue Specificity | T-cell specific. |
| Construction | Polyclonal Antibody |
| Purification | Protein A purified |
| Appearance | Liquid |
| Formulation | 0.01M TBS (pH7.4) with 1% BSA, 0.02% Proclin300 and 50% Glycerol. |
| Concentration | 1 mg/mL |
| Research Background | This gene is a member of a phylogenetically conserved family of genes that share a common DNA-binding domain, the T-box. T-box genes encode transcription factors involved in the regulation of developmental processes. This gene is the human ortholog of mouse Tbx21/Tbet gene. Studies in mouse show that Tbx21 protein is a Th1 cell-specific transcription factor that controls the expression of the hallmark Th1 cytokine, interferon-gamma (IFNG). Expression of the human ortholog also correlates with IFNG expression in Th1 and natural killer cells, suggesting a role for this gene in initiating Th1 lineage development from naive Th precursor cells. [provided by RefSeq, Jul 2008]. |
| Immunogen | KLH conjugated synthetic peptide: human Tbx21 |
| Antigen Species | Human |
| Gene Name | TBX21 |
| Gene ID | |
| Protein Name | T-box transcription factor TBX21 |
| Uniprot ID | |
| Function | Transcription factor that controls the expression of the TH1 cytokine, interferon-gamma. Initiates TH1 lineage development from naive TH precursor cells both by activating TH1 genetic programs and by repressing the opposing TH2 programs. |
| Molecular Weight | Theoretical: 59 kDa. Actual: 60 kDa. |
| Stability & Storage | Store at -20°C or -80°C for 12 months. Avoid repeated freeze-thaw cycles. |
| Transport | Shipping with blue ice. |
| Size | Quantity | Unit Price | Amount | Operation |
|---|

Copyright © 2015-2026 TargetMol Chemicals Inc. All Rights Reserved.