Shopping Cart
Remove All
Your shopping cart is currently empty
Anti-TBR1 Antibody (1Z281) is a Rabbit antibody targeting TBR1. Anti-TBR1 Antibody (1Z281) can be used in FCM,IHC,WB.
| Pack Size | Price | USA Warehouse | Global Warehouse | Quantity |
|---|---|---|---|---|
| 50 μL | $297 | 7-10 days | 7-10 days | |
| 100 μL | $497 | 7-10 days | 7-10 days |
| Description | Anti-TBR1 Antibody (1Z281) is a Rabbit antibody targeting TBR1. Anti-TBR1 Antibody (1Z281) can be used in FCM,IHC,WB. |
| Synonyms | TES-56, TES 56, T-brain-1, TBR 1, T-box brain protein 1, T brain 1 protein, T box brain protein 1, T box brain 1 |
| Ig Type | IgG |
| Clone | 1Z281 |
| Reactivity | Human,Mouse,Rat |
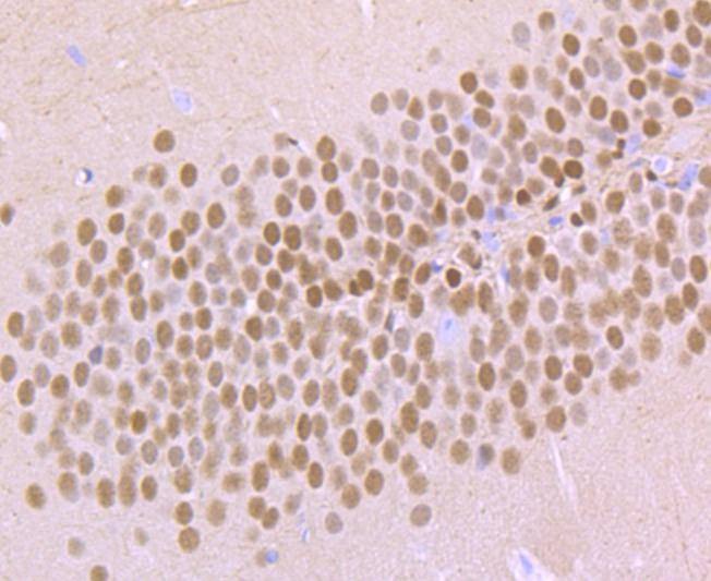
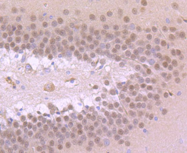
| Verified Activity | 1. Immunohistochemical analysis of paraffin-embedded rat brain tissue using anti-TBR1 antibody. Counter stained with hematoxylin. 2. Immunohistochemical analysis of paraffin-embedded mouse brain tissue using anti-TBR1 antibody. Counter stained with hematoxylin. 3. Flow cytometric analysis of SH-SY-5Y cells with TBR1 antibody at 1/50 dilution (red) compared with an unlabelled control (cells without incubation with primary antibody; black). Alexa Fluor 488-conjugated goat anti rabbit IgG was used as the secondary antibody. ![]() ![]() ![]() |
| Application | |
| Recommended Dose | WB: 1:500-1000; IHC: 1:50-200; FCM: 1:50-100 |
| Antibody Type | Monoclonal |
| Host Species | Rabbit |
| Construction | Recombinant Antibody |
| Purification | ProA affinity purified |
| Appearance | Liquid |
| Formulation | 1*TBS (pH7.4), 1%BSA, 40%Glycerol. Preservative: 0.05% Sodium Azide. |
| Research Background | A novel murine and human gene, TBR-1, encodes a putative transcription factor related to the Brachyrury (T) gene that is expressed only in postmitotic cells. T-brain-1 (TBR-1) mRNA is largely restricted to the cerebral cortex, where, during embryogenesis, it defines different regions that give rise to the palecortex, limbic cortex and neocortex. TBR-1, Pax-6 and Emx-1 are expressed in the mouse and chicken pallium. The pallio-subpallial boundary lies at the interface between the TBR-1 and Dlx-2 expression domains. Chicken genes homolgous to these mouse genes are expressed in topologically comparable patterns during development, suggesting that mouse and chicken may have similar histogenetic specification processes and field homologies. CASK/LIN-2, a membrane-associated guanylate kinase, is required for EGFR localization and signaling. In adult rat brain, CASK is concentrated at neuronal synapses and binds to the cell-surface proteins. CASK can interact with TBR-1, which is involved in forebrain development. CASK enters into the nucleus and binds to a specific DNA sequence (the T-element) in a complex with TBR-1. Thus, CASK acts as a coactivator of TBR-1 to induce transcription of T-element containing genes, including reelin. |
| Conjucates | Unconjugated |
| Immunogen | Recombinant Protein |
| Uniprot ID |
| Molecular Weight | Theoretical: 74 kDa. |
| Stability & Storage | Store at -20°C or -80°C for 12 months. Avoid repeated freeze-thaw cycles. |
| Transport | Shipping with blue ice. |
| Size | Quantity | Unit Price | Amount | Operation |
|---|

Copyright © 2015-2026 TargetMol Chemicals Inc. All Rights Reserved.