Shopping Cart
Remove All
Your shopping cart is currently empty
Anti-Syntaxin 3 Antibody (9E78) is a Rabbit antibody targeting Syntaxin 3. Anti-Syntaxin 3 Antibody (9E78) can be used in FCM,IHC,WB.
| Pack Size | Price | USA Warehouse | Global Warehouse | Quantity |
|---|---|---|---|---|
| 50 μL | $297 | 7-10 days | 7-10 days | |
| 100 μL | $497 | 7-10 days | 7-10 days |
| Description | Anti-Syntaxin 3 Antibody (9E78) is a Rabbit antibody targeting Syntaxin 3. Anti-Syntaxin 3 Antibody (9E78) can be used in FCM,IHC,WB. |
| Synonyms | syntaxin 3, STX3A |
| Ig Type | IgG |
| Clone | 9E78 |
| Reactivity | Human,Mouse,Rat |
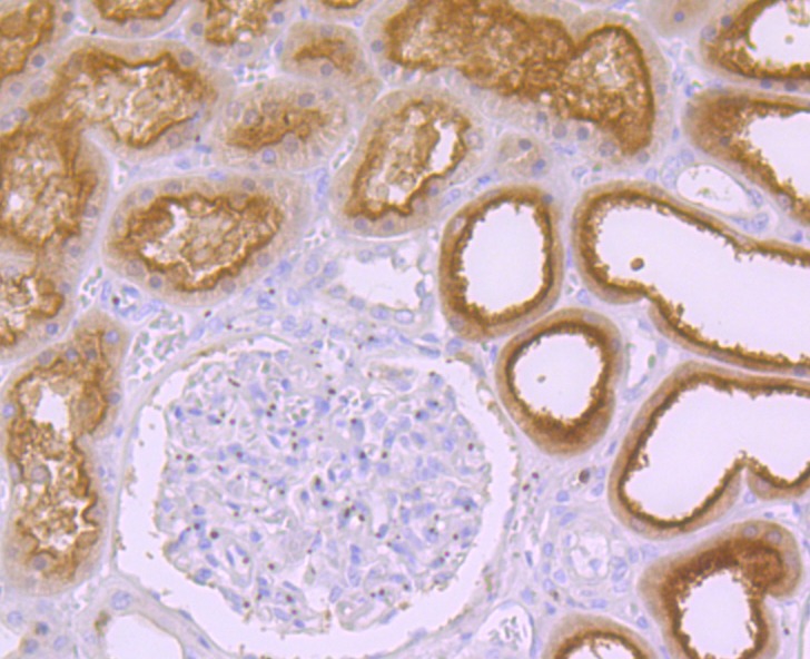
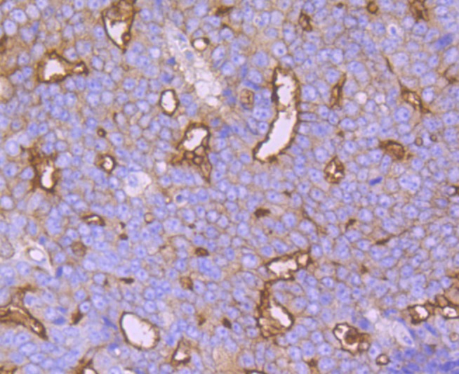
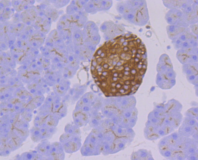
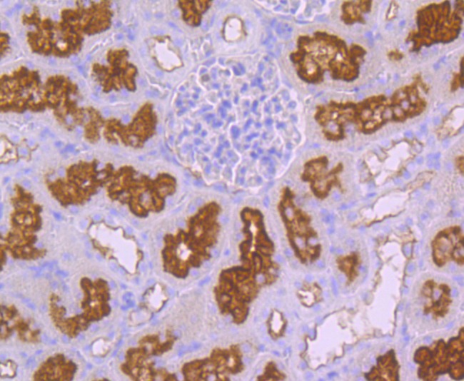
| Verified Activity | 1. Western blot analysis of Syntaxin 3 on SH-SY-5Y cell (1) and human kidney tissue (2) lysate using anti-Syntaxin 3 antibody at 1/1,000 dilution. 2. Immunohistochemical analysis of paraffin-embedded rat kidney tissue using anti-Syntaxin 3 antibody. Counter stained with hematoxylin. 3. Immunohistochemical analysis of paraffin-embedded human prostate cancer tissue using anti-Syntaxin 3 antibody. Counter stained with hematoxylin. 4. Immunohistochemical analysis of paraffin-embedded human kidney tissue using anti-Syntaxin 3 antibody. Counter stained with hematoxylin. 5. Immunohistochemical analysis of paraffin-embedded mouse pancreas tissue using anti-Syntaxin 3 antibody. Counter stained with hematoxylin. 6. Flow cytometric analysis of 293T cells with Syntaxin 3 antibody at 1/100 dilution (purple) compared with an unlabelled control (cells without incubation with primary antibody; yellow). Alexa Fluor 488-conjugated goat anti-rabbit IgG was used as the secondary antibody. ![]() ![]() ![]() ![]() ![]() ![]() |
| Application | |
| Recommended Dose | WB: 1:500-2000; IHC: 1:50-200; FCM: 1:50-100 |
| Antibody Type | Monoclonal |
| Host Species | Rabbit |
| Construction | Recombinant Antibody |
| Purification | ProA affinity purified |
| Appearance | Liquid |
| Formulation | 1*TBS (pH7.4), 1%BSA, 40%Glycerol. Preservative: 0.05% Sodium Azide. |
| Research Background | Correct vesicular transport is essential to the survival of eukaryotic cells. This process is determined by specific pairing of vesicle-associated SNAREs (v-SNAREs) with those on the target membrane (t-SNAREs). This complex then recruits soluble NSF attachment proteins (SNAPs) and N-ethylmaleimide-sensitive factor (NSF) to form the highly stable SNAP receptor (SNARE) complex. The formation of a SNARE complex pulls the vesicle and target membrane together and may provide the energy to drive fusion of the lipid bilayers. Syntaxins, a family of proteins involved in the fusion of synaptic vesicles with the plasma membrane, display broad tissue distribution and contain carboxy-terminal hydrophobic domains that direct themselves to their respective intracellular compartments. Syntaxin 3 localizes to the apical plasma membrane and is involved in membrane fusion of apical trafficking pathways. Syntaxin 3 is a key factor in the growth of neurites, and it also functions as a direct target for arachidonic acid. Human Syntaxin 3 has two forms: Syntaxin 3A and 3B, while the mouse version has four forms: 3A, 3B, 3C, and 3D. |
| Conjucates | Unconjugated |
| Immunogen | Recombinant Protein: cytoplasmic region of human Syntaxin 3 |
| Antigen Species | human |
| Uniprot ID |
| Molecular Weight | Theoretical: 33 kDa. |
| Stability & Storage | Store at -20°C or -80°C for 12 months. Avoid repeated freeze-thaw cycles. |
| Transport | Shipping with blue ice. |
| Size | Quantity | Unit Price | Amount | Operation |
|---|

Copyright © 2015-2026 TargetMol Chemicals Inc. All Rights Reserved.