Shopping Cart
Remove All
Your shopping cart is currently empty
Anti-Survivin Antibody (2N702) is a Rabbit antibody targeting Survivin. Anti-Survivin Antibody (2N702) can be used in IHC,IP,WB.
| Pack Size | Price | USA Warehouse | Global Warehouse | Quantity |
|---|---|---|---|---|
| 50 μL | $296 | 7-10 days | 7-10 days | |
| 100 μL | $497 | 7-10 days | 7-10 days |
| Description | Anti-Survivin Antibody (2N702) is a Rabbit antibody targeting Survivin. Anti-Survivin Antibody (2N702) can be used in IHC,IP,WB. |
| Synonyms | IAP4, EPR-1, BIRC5, baculoviral IAP repeat containing 5, API4 |
| Ig Type | IgG |
| Clone | 2N702 |
| Reactivity | Mouse,Rat |
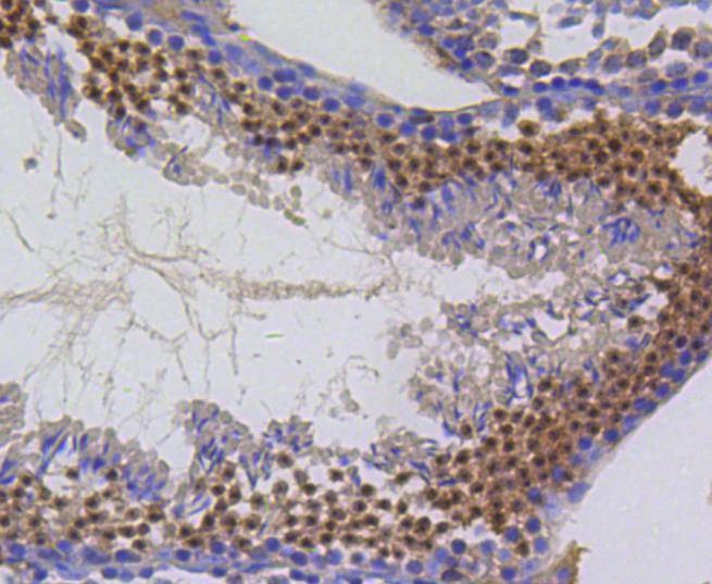
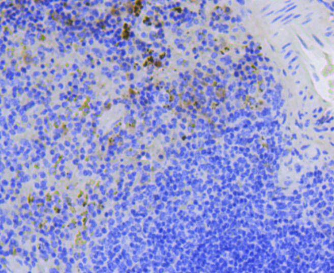
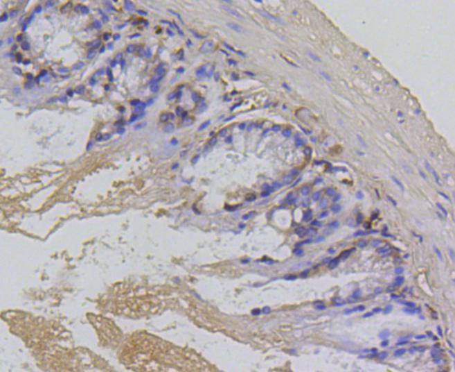
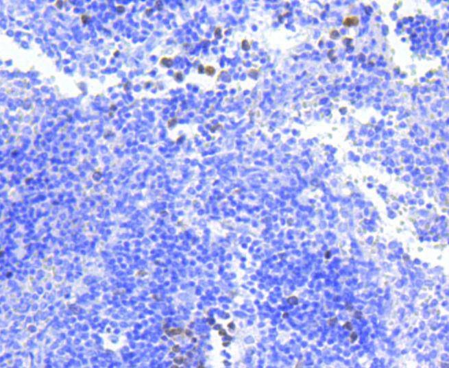
| Verified Activity | 1. Western blot analysis of Survivin on different lysates using anti-Survivin antibody at 1/1,000 dilution. Positive control: Lane 1: L929, Lane 2: F9. 2. Immunohistochemical analysis of paraffin-embedded rat spleen tissue using anti-Survivin antibody. Counter stained with hematoxylin. 3. Immunohistochemical analysis of paraffin-embedded mouse testis tissue using anti-Survivin antibody. Counter stained with hematoxylin. 4. Immunohistochemical analysis of paraffin-embedded mouse colon tissue using anti-Survivin antibody. Counter stained with hematoxylin. 5. Immunohistochemical analysis of paraffin-embedded mouse spleen tissue using anti-Survivin antibody. Counter stained with hematoxylin. ![]() ![]() ![]() ![]() ![]() |
| Application | |
| Antibody Type | Monoclonal |
| Host Species | Rabbit |
| Construction | Recombinant Antibody |
| Purification | ProA affinity purified |
| Appearance | Liquid |
| Formulation | 1*TBS (pH7.4), 1%BSA, 40%Glycerol. Preservative: 0.05% Sodium Azide. |
| Research Background | The baculovirus protein p35 inhibits virally-induced apoptosis of invertebrate and mammalian cells and may function to impair the clearing of virally infected cells by the immune system of the host. This is accomplished at least in part by the ability of p35 to block both TNF- and FAS-mediated apoptosis through the inhibition of the ICE family of serine proteases. Two mammalian homologs of baculovirus p35, referred to as inhibitor of apoptosis protein (IAP) 1 and 2, share an amino-terminal baculovirus IAP repeat (BIR) motif and a carboxy-terminal RING finger. Although the c-IAPs do not directly associate with the TNF receptor (TNF-R), they efficiently block TNF-mediated apoptosis through their interaction with the downstream TNF-R effectors, TRAF1 and TRAF2. Additional IAP family members include ILP (for IAP-like protein) and survivin. ILP inhibits activated caspase-3, leading to the resistance of FAS-mediated apoptosis. Survivin (also designated TIAP) is expressed during the G2/M phase of the cell cycle and associates with microtubules of the mitotic spindle. Increased caspase-3 activity is detected when a disruption of survivin-microtubule interactions occurs. |
| Conjucates | Unconjugated |
| Immunogen | Recombinant Protein |
| Molecular Weight | Theoretical: 16 kDa. |
| Stability & Storage | Store at -20°C or -80°C for 12 months. Avoid repeated freeze-thaw cycles. |
| Transport | Shipping with blue ice. |
| Size | Quantity | Unit Price | Amount | Operation |
|---|

Copyright © 2015-2026 TargetMol Chemicals Inc. All Rights Reserved.