Shopping Cart
Remove All
Your shopping cart is currently empty
Synonyms: UNC84A, UNC84 homolog A (C elegans), UNC84 A, UNC84, UNC 84A, UNC 84 homolog A (C elegans), SUN1_HUMAN, Sun domain-containing protein 1, Sun 1, Sad1/unc-84 protein-like 1, Sad1/unc 84 protein like 1, Sad1 and UNC84 domain containing 1, Protein unc-84 homolog A
| Pack Size | Price | USA Stock | Global Stock | Quantity |
|---|---|---|---|---|
| 50 μL | $298 | 7-10 days | 7-10 days | |
| 100 μL | $496 | 7-10 days | 7-10 days |
| Description | Anti-SUN1 Antibody (3B391) is a Rabbit antibody targeting SUN1. Anti-SUN1 Antibody (3B391) can be used in FCM,ICC,IHC,WB. |
| Synonyms | UNC84A, UNC84 homolog A (C elegans), UNC84 A, UNC84, UNC 84A, UNC 84 homolog A (C elegans), SUN1_HUMAN, Sun domain-containing protein 1, Sun 1, Sad1/unc-84 protein-like 1, Sad1/unc 84 protein like 1, Sad1 and UNC84 domain containing 1, Protein unc-84 homolog A |
| Ig Type | IgG |
| Clone | 3B391 |
| Reactivity | Human,Rat |
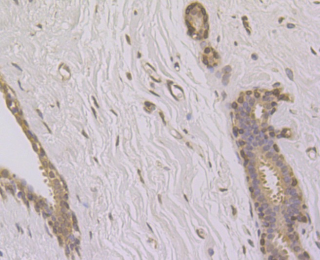
| Verified Activity | 1. Western blot analysis of SUN1 on rat kidney tissue lysate using anti-SUN1 antibody at 1/2,000 dilution. 2. Immunohistochemical analysis of paraffin-embedded human breast tissue using anti-SUN1 antibody. Counter stained with hematoxylin. 3. Immunohistochemical analysis of paraffin-embedded human colon tissue using anti-SUN1 antibody. Counter stained with hematoxylin. 4. ICC staining SUN1 in A431 cells (green). The nuclear counter stain is DAPI (blue). Cells were fixed in paraformaldehyde, permeabilised with 0.25% Triton X100/PBS. 5. Flow cytometric analysis of SH-SY-5Y cells with SUN1 antibody at 1/100 dilution (purple) compared with an unlabelled control (cells without incubation with primary antibody; yellow). Alexa Fluor 488-conjugated goat anti-rabbit IgG was used as the secondary antibody. |
| Application | |
| Recommended Dose | WB: 1:500-2000; IHC: 1:50-200; ICC: 1:50-200; FCM: 1:50-100 |
| Antibody Type | Monoclonal |
| Host Species | Rabbit |
| Construction | Recombinant Antibody |
| Purification | ProA affinity purified |
| Appearance | Liquid |
| Formulation | 1*TBS (pH7.4), 1%BSA, 40%Glycerol. Preservative: 0.05% Sodium Azide. |
| Research Background | UNC84A (UNC84 homolog A), also known as SUN1, is a multi-pass nuclear membrane protein that is involved in nuclear anchoring and migration. Highly expressed in heart, brain and testis, UNC84A functions as an A-type Lamin-binding protein that forms a link between the inner and outer nuclear envelope membranes. This link acts as a structural bridge between the nuclear interior and the Actin cytoskeleton and is essential for proper localization of nuclear envelope proteins. Additionally, UNC84A may be involved in telomere attachment and in normal testis development. UNC84A contains one UNC84 (SUN) domain and exists as four isoforms due to alternative splicing events. |
| Conjucates | Unconjugated |
| Immunogen | Recombinant Protein: C-terminal human SUN1 |
| Antigen Species | human |
| Uniprot ID |
| Molecular Weight | Theoretical: 90 kDa. |
| Stability & Storage | Store at -20°C or -80°C for 12 months. Avoid repeated freeze-thaw cycles. |
| Transport | Shipping with blue ice. |
| Size | Quantity | Unit Price | Amount | Operation |
|---|

Copyright © 2015-2026 TargetMol Chemicals Inc. All Rights Reserved.