Shopping Cart
Remove All
Your shopping cart is currently empty
Anti-SUMO3 Antibody (9E189) is a Rabbit antibody targeting SUMO3. Anti-SUMO3 Antibody (9E189) can be used in ICC/IF,IHC,WB.
| Pack Size | Price | USA Warehouse | Global Warehouse | Quantity |
|---|---|---|---|---|
| 50 μL | $296 | 7-10 days | 7-10 days | |
| 100 μL | $497 | 7-10 days | 7-10 days |
| Description | Anti-SUMO3 Antibody (9E189) is a Rabbit antibody targeting SUMO3. Anti-SUMO3 Antibody (9E189) can be used in ICC/IF,IHC,WB. |
| Synonyms | Ubiquitin-Like Protein SMT3B, SUMO-3, SUMO3, SUMO-2, SMT3H1, SMT3B, SMT3 Homolog 1, Small Ubiquitin-Related Modifier 3 |
| Ig Type | IgG |
| Clone | 9E189 |
| Reactivity | Human,Mouse,Rat |
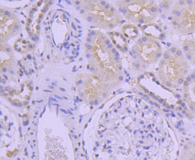
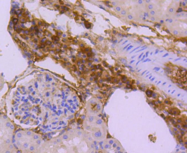
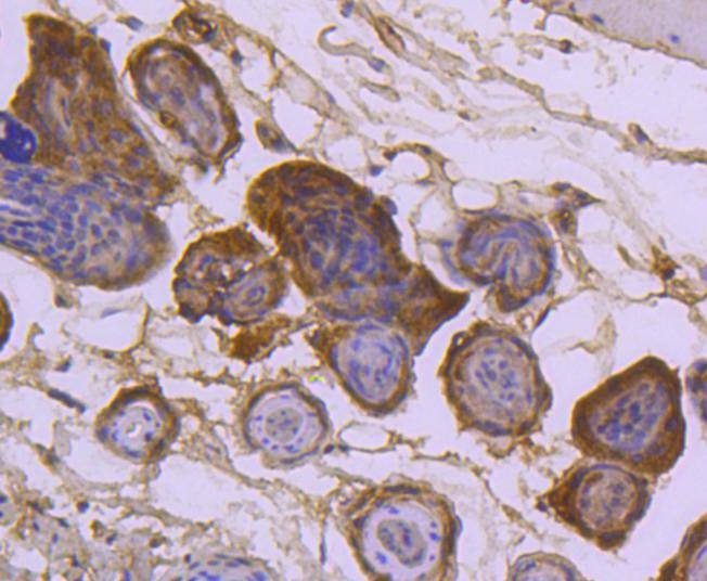
| Verified Activity | 1. Western blot analysis of Sumo 2+3 on SW480 cells lysates using anti- Sumo 2+3 antibody at 1/1,000 dilution. 2. Immunohistochemical analysis of paraffin-embedded mouse lung tissue using anti- Sumo 2+3 antibody. Counter stained with hematoxylin. 3. Immunohistochemical analysis of paraffin-embedded mouse skin tissue using anti- Sumo 2+3 antibody. Counter stained with hematoxylin. 4. Immunohistochemical analysis of paraffin-embedded human kidney tissue using anti- Sumo 2+3 antibody. Counter stained with hematoxylin. 5. Immunohistochemical analysis of paraffin-embedded mouse kidney tissue using anti- Sumo 2+3 antibody. Counter stained with hematoxylin. 6. ICC staining Sumo 2+3 in Hela cells (green). The nuclear counter stain is DAPI (blue). Cells were fixed in paraformaldehyde, permeabilised with 0.25% Triton X100/PBS. 7. ICC staining Sumo 2+3 in A549 cells (green). The nuclear counter stain is DAPI (blue). Cells were fixed in paraformaldehyde, permeabilised with 0.25% Triton X100/PBS. 8. ICC staining Sumo 2+3 in RH-35 cells (green). The nuclear counter stain is DAPI (blue). Cells were fixed in paraformaldehyde, permeabilised with 0.25% Triton X100/PBS. ![]() ![]() ![]() ![]() ![]() ![]() ![]() ![]() |
| Application | |
| Recommended Dose | WB: 1:1000; IHC: 1:50-200; ICC/IF: 1:50-200 |
| Antibody Type | Monoclonal |
| Host Species | Rabbit |
| Construction | Recombinant Antibody |
| Purification | ProA affinity purified |
| Appearance | Liquid |
| Formulation | 1*TBS (pH7.4), 1%BSA, 40%Glycerol. Preservative: 0.05% Sodium Azide. |
| Research Background | The small ubiquitin-related modifier (SUMO) proteins, which include SUMO-1, SUMO-2 and SUMO-3, belong to the ubiquitin-like protein family. Like ubiquitin, the SUMO proteins are synthesized as precursor proteins that undergo processing before conjugation to target proteins. Also, both utilize the E1, E2, and E3 cascade enzymes for conjugation. However, SUMO and ubiquitin differ with respect to targeting. Ubiquitination predominantly targets proteins for degradation, whereas sumoylation targets proteins to a variety of cellular processing, including nuclear transport, transcriptional regulation, apoptosis and protein stability. The unconjugated SUMO-1, SUMO-2 and SUMO-3 proteins localize to the nuclear membrane, nuclear bodies and cytoplasm, respectively. SUMO-1 utilizes Ubc9 for conjugation to several target proteins, which include IkBa, MDM2, p53, PML and Ran GAP1. SUMO-2 and SUMO-3 contribute to a greater percentage of protein modification than does SUMO-1, and unlike SUMO-1, they can form polymeric chains. In addition, SUMO-3 regulates b-Amyloid generation and may be critical in the onset or progression of Alzheimer's disease. |
| Conjucates | Unconjugated |
| Immunogen | Recombinant Protein |
| Uniprot ID |
| Molecular Weight | Theoretical: 12 kDa. |
| Stability & Storage | Store at -20°C or -80°C for 12 months. Avoid repeated freeze-thaw cycles. |
| Transport | Shipping with blue ice. |
| Size | Quantity | Unit Price | Amount | Operation |
|---|

Copyright © 2015-2026 TargetMol Chemicals Inc. All Rights Reserved.