Shopping Cart
Remove All
Your shopping cart is currently empty
Anti-SULT2A1 Antibody (1I505) is a Rabbit antibody targeting SULT2A1. Anti-SULT2A1 Antibody (1I505) can be used in FCM,ICC,IF,IHC,WB.
| Pack Size | Price | USA Warehouse | Global Warehouse | Quantity |
|---|---|---|---|---|
| 50 μL | $297 | 7-10 days | 7-10 days | |
| 100 μL | $497 | 7-10 days | 7-10 days |
| Description | Anti-SULT2A1 Antibody (1I505) is a Rabbit antibody targeting SULT2A1. Anti-SULT2A1 Antibody (1I505) can be used in FCM,ICC,IF,IHC,WB. |
| Synonyms | sulfotransferase family, cytosolic, 2A, dehydroepiandrosterone (DHEA)-preferring, member 1, STD, ST2A3, ST2A1, ST2, hSTa, HST, DHEA-ST, DHEAS |
| Ig Type | IgG |
| Clone | 1I505 |
| Reactivity | Human,Mouse,Rat |
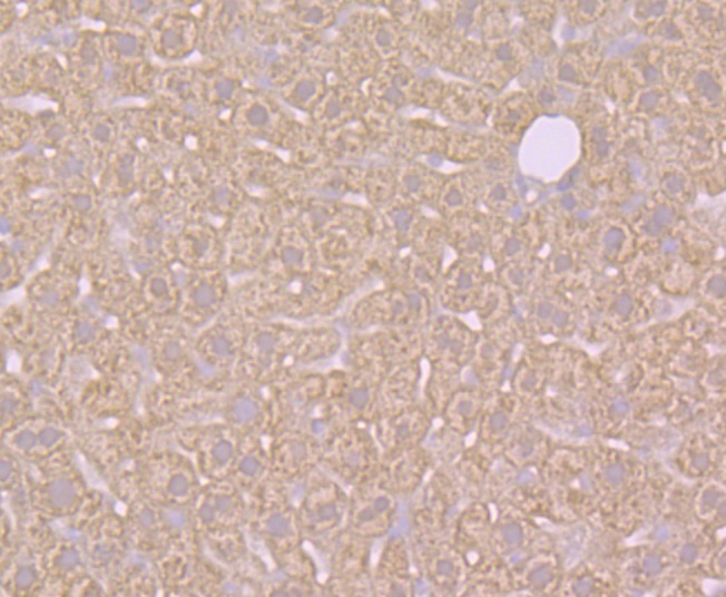
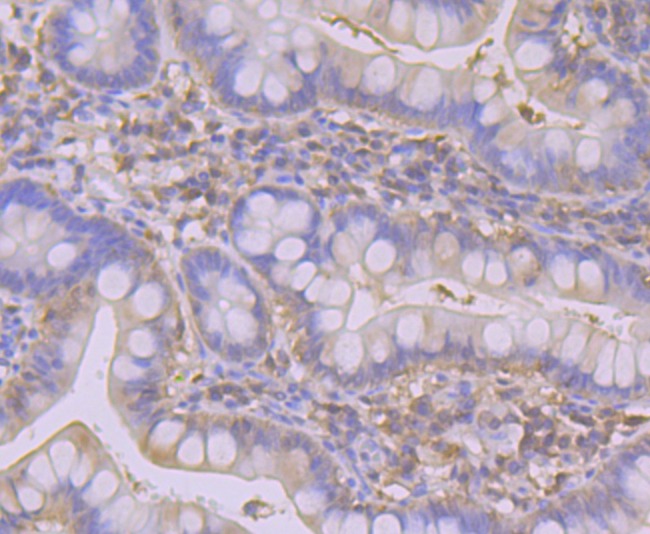
| Verified Activity | 1. Western blot analysis of SULT2A1 on mouse kidney tissue lysate using anti-SULT2A1 antibody at 1/1,000 dilution. 2. Immunohistochemical analysis of paraffin-embedded rat adrenal gland tissue using anti-SULT2A1 antibody. Counter stained with hematoxylin. 3. Immunohistochemical analysis of paraffin-embedded human liver tissue using anti-SULT2A1 antibody. Counter stained with hematoxylin. 4. Immunohistochemical analysis of paraffin-embedded human liver cancer tissue using anti-SULT2A1 antibody. Counter stained with hematoxylin. 5. Immunohistochemical analysis of paraffin-embedded human small intestine tissue using anti-SULT2A1 antibody. Counter stained with hematoxylin. 6. Immunohistochemical analysis of paraffin-embedded mouse liver tissue using anti-SULT2A1 antibody. Counter stained with hematoxylin. 7. ICC staining SULT2A1 in 293T cells (green). The nuclear counter stain is DAPI (blue). Cells were fixed in paraformaldehyde, permeabilised with 0.25% Triton X100/PBS. 8. ICC staining SULT2A1 in LOVO cells (green). The nuclear counter stain is DAPI (blue). Cells were fixed in paraformaldehyde, permeabilised with 0.25% Triton X100/PBS. 9. Flow cytometric analysis of HepG2 cells with SULT2A1 antibody at 1/100 dilution (yellow) compared with an unlabelled control (cells without incubation with primary antibody; purple).Alexa Fluor 488-conjugated goat anti-rabbit IgG was used as the secondary antibody. ![]() ![]() ![]() ![]() ![]() ![]() ![]() ![]() ![]() |
| Application | |
| Recommended Dose | WB: 1:500-1000; IHC: 1:50-200; ICC: 1:500-2000; FCM: 1:50-100 |
| Antibody Type | Monoclonal |
| Host Species | Rabbit |
| Construction | Recombinant Antibody |
| Purification | ProA affinity purified |
| Appearance | Liquid |
| Formulation | 1*TBS (pH7.4), 1%BSA, 40%Glycerol. Preservative: 0.05% Sodium Azide. |
| Research Background | The soluble sulfotransferases contribute to the elimination of xenobiotics, the activation of procarcinogens and the regulation of hormones. Members of the three groups comprising this superfamily show selectivity to certain substrate compounds. SULT1 sulfotransferases exhibit N-sulfating activities of carcinogenic heterocyclic amines, and are selective toward phenols, whereas SULT2 enzymes prefer hydroxysteroids and SULT3 family members are selective for N-substituted aryl and alicyclic compounds. SULT2A1 catalyzes the sulfonation of procarcinogen xenobiotics, hydroxysteroids and bile acids, and is highly expressed in adrenal and liver tissues. SULT2A1 plays a role in hepatic cholesterol homeostasis. SULT2B1 consists of two isoforms, SULT2B1a and SULT2B1b, which are transcribed from the same gene by alternative splicing of their first exons. Both isoforms are highly selective for the sulphation of 3b-hydroxysteroids such as pregnenolone, epiandrosterone, DHEA and androstenediol. SULT2B1b is expressed in prostate, skin, placenta and lung. |
| Conjucates | Unconjugated |
| Immunogen | Recombinant Protein: human SULT2A1 aa 100 to the C-terminus |
| Antigen Species | human |
| Uniprot ID |
| Molecular Weight | Theoretical: 34 kDa. |
| Stability & Storage | Store at -20°C or -80°C for 12 months. Avoid repeated freeze-thaw cycles. |
| Transport | Shipping with blue ice. |
| Size | Quantity | Unit Price | Amount | Operation |
|---|

Copyright © 2015-2026 TargetMol Chemicals Inc. All Rights Reserved.