Shopping Cart
Remove All
Your shopping cart is currently empty
Synonyms: Transformation sensitive protein IEF SSP 3521, Stress induced phosphoprotein 1, STIP1, STI1L, STI1, Renal carcinoma antigen NY-REN-11, P60, NY REN 11 antigen, IEF SSP 3521, Hsc70/Hsp90 organizing protein, Hop, HEL S 94n, Epididymis secretory sperm binding protein Li 94n
| Pack Size | Price | USA Stock | Global Stock | Quantity |
|---|---|---|---|---|
| 50 μL | $297 | 7-10 days | 7-10 days | |
| 100 μL | $496 | 7-10 days | 7-10 days |
| Description | Anti-STIP1 Antibody (2K15) is a Rabbit antibody targeting STIP1. Anti-STIP1 Antibody (2K15) can be used in FCM,ICC,IHC,IP,WB. |
| Synonyms | Transformation sensitive protein IEF SSP 3521, Stress induced phosphoprotein 1, STIP1, STI1L, STI1, Renal carcinoma antigen NY-REN-11, P60, NY REN 11 antigen, IEF SSP 3521, Hsc70/Hsp90 organizing protein, Hop, HEL S 94n, Epididymis secretory sperm binding protein Li 94n |
| Ig Type | IgG |
| Clone | 2K15 |
| Reactivity | Human,Mouse,Rat |
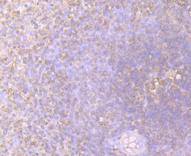
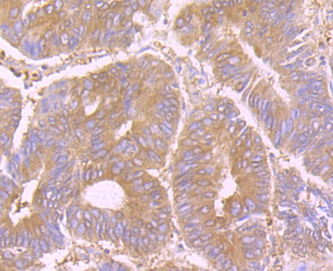
| Verified Activity | 1. Western blot analysis of STIP1 on Mouse testis and Rat testis lysates using anti-STIP1 antibody at 1/500 dilution. 2. Immunohistochemical analysis of paraffin-embedded human colon cancer tissue using anti-STIP1 antibody. Counter stained with hematoxylin. 3. Immunohistochemical analysis of paraffin-embedded human spleen tissue using anti-STIP1 antibody. Counter stained with hematoxylin. 4. Immunohistochemical analysis of paraffin-embedded mouse testis tissue using anti-STIP1 antibody. Counter stained with hematoxylin. 5. Flow cytometric analysis of K562 cells with STIP1 antibody at 1/100 dilution (red) compared with an unlabelled control (cells without incubation with primary antibody; black). Alexa Fluor 488-conjugated goat anti rabbit IgG was used as the secondary antibody. |
| Application | |
| Recommended Dose | WB: 1:500-1000; IHC: 1:50-200; ICC: 1:50; FCM: 1:50-100 |
| Antibody Type | Monoclonal |
| Host Species | Rabbit |
| Construction | Recombinant Antibody |
| Purification | ProA affinity purified |
| Appearance | Liquid |
| Formulation | 1*TBS (pH7.4), 1%BSA, 40%Glycerol. Preservative: 0.05% Sodium Azide. |
| Research Background | Stress-induced-phosphoprotein 1 (STI1) functions as a co-chaperone for HSP70 and HSP90 during heat shock response. STI1 exists as either a monomer or a dimer, and this conformational flexibility facilitates its function in organizing HSP70/HSP90. HSP90 acts as an ATPase, and requires the recruitment of client proteins and proper conformation to function. STI1 acts as a "scaffold" for client protein recruitment to the relaxed, ADP-bound conformation of HSP90, thus suppressing ATP turnover during the loading phase and allowing proper function. |
| Conjucates | Unconjugated |
| Immunogen | Recombinant Protein |
| Uniprot ID |
| Molecular Weight | Theoretical: 63 kDa. |
| Stability & Storage | Store at -20°C or -80°C for 12 months. Avoid repeated freeze-thaw cycles. |
| Transport | Shipping with blue ice. |
| Size | Quantity | Unit Price | Amount | Operation |
|---|

Copyright © 2015-2026 TargetMol Chemicals Inc. All Rights Reserved.