Shopping Cart
Remove All
Your shopping cart is currently empty
Anti-STIM1 Antibody (8E689) is a Rabbit antibody targeting STIM1. Anti-STIM1 Antibody (8E689) can be used in IHC,IP,WB.
| Pack Size | Price | USA Warehouse | Global Warehouse | Quantity |
|---|---|---|---|---|
| 50 μL | $297 | 7-10 days | 7-10 days | |
| 100 μL | $497 | 7-10 days | 7-10 days |
| Description | Anti-STIM1 Antibody (8E689) is a Rabbit antibody targeting STIM1. Anti-STIM1 Antibody (8E689) can be used in IHC,IP,WB. |
| Synonyms | TAM1, TAM, stromal interaction molecule 1, STRMK, IMD10, GOK, D11S4896E |
| Ig Type | IgG |
| Clone | 8E689 |
| Reactivity | Human,Mouse,Rat |
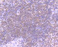
| Verified Activity | 1. Western blot analysis of STIM1 on different lysates using anti-STIM1 antibody at 1/1,000 dilution. Positive control: Lane 1: K562, Lane 2: HepG2. 2. Immunohistochemical analysis of paraffin-embedded human spleen tissue using anti-STIM1 antibody. Counter stained with hematoxylin. 3. Immunohistochemical analysis of paraffin-embedded mouse testis tissue using anti-STIM1 antibody. Counter stained with hematoxylin. ![]() ![]() ![]() |
| Application | |
| Recommended Dose | WB: 1:1000; IHC: 1:50-200 |
| Antibody Type | Monoclonal |
| Host Species | Rabbit |
| Construction | Recombinant Antibody |
| Purification | ProA affinity purified |
| Appearance | Liquid |
| Formulation | 1*TBS (pH7.4), 1%BSA, 40%Glycerol. Preservative: 0.05% Sodium Azide. |
| Research Background | Ca2+ influx is essential for a variety of cellular functions including, secretion and transcription. Stromal interaction molecule 1 (Stim1) is a ubiquitously expressed cell surface transmembrane glycoprotein that plays a role in medi-ating Ca2+ influx following the depletion of intracellular Ca2+ stores. Stim1 functions in the endoplasmic reticulum (ER) where it acts as a Ca2+ sensor via its EF-hand domain which causes large conformational changes. When Ca2+ levels drop, Stim1 translocates from the ER to the plasma membrane, where it activates the Ca2+ release-activated Ca2+ (CRAC) channel subunit, TMEM142A/Orai1. Stim2 is a potent inhibitor of Stim1-mediated store-operated calcium (SOC) entry. Stim1 is implicated in tumor growth suppression and stromal-hematopoietic cell interactions. |
| Conjucates | Unconjugated |
| Immunogen | Recombinant Protein |
| Uniprot ID |
| Molecular Weight | Theoretical: 100 kDa. |
| Stability & Storage | Store at -20°C or -80°C for 12 months. Avoid repeated freeze-thaw cycles. |
| Transport | Shipping with blue ice. |
| Size | Quantity | Unit Price | Amount | Operation |
|---|

Copyright © 2015-2026 TargetMol Chemicals Inc. All Rights Reserved.