Shopping Cart
Remove All
Your shopping cart is currently empty
Anti-Stathmin 1 Antibody (2X10) is a Rabbit antibody targeting Stathmin 1. Anti-Stathmin 1 Antibody (2X10) can be used in FCM,ICC,IHC,IP,WB.
| Pack Size | Price | USA Warehouse | Global Warehouse | Quantity |
|---|---|---|---|---|
| 50 μL | $297 | 7-10 days | 7-10 days | |
| 100 μL | $498 | 7-10 days | 7-10 days |
| Description | Anti-Stathmin 1 Antibody (2X10) is a Rabbit antibody targeting Stathmin 1. Anti-Stathmin 1 Antibody (2X10) can be used in FCM,ICC,IHC,IP,WB. |
| Synonyms | stathmin 1, SMN, PR22, PP19, PP17, OP18, LAP18, Lag, C1orf215 |
| Ig Type | IgG |
| Clone | 2X10 |
| Reactivity | Human,Mouse,Rat |
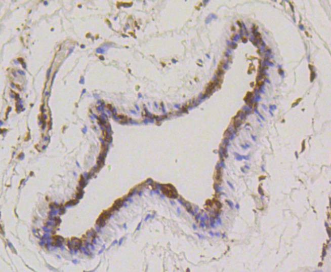
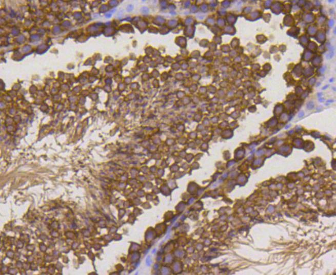
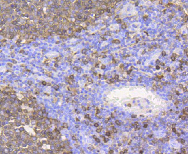
| Verified Activity | 1. Immunohistochemical analysis of paraffin-embedded human tonsil tissue using anti-Stathmin 1 antibody. Counter stained with hematoxylin. 2. Immunohistochemical analysis of paraffin-embedded mouse testis tissue using anti-Stathmin 1 antibody. Counter stained with hematoxylin. 3. Immunohistochemical analysis of paraffin-embedded mouse spinal cord tissue using anti-Stathmin 1 antibody. Counter stained with hematoxylin. 4. Immunohistochemical analysis of paraffin-embedded mouse brain tissue using anti-Stathmin 1 antibody. Counter stained with hematoxylin. 5. Immunohistochemical analysis of paraffin-embedded human breast carcinoma tissue using anti-Stathmin 1 antibody. Counter stained with hematoxylin. 6. ICC staining Stathmin 1 in PC-12 cells (green). The nuclear counter stain is DAPI (blue). Cells were fixed in paraformaldehyde, permeabilised with 0.25% Triton X100/PBS. 7. ICC staining Stathmin 1 in Hela cells (green). The nuclear counter stain is DAPI (blue). Cells were fixed in paraformaldehyde, permeabilised with 0.25% Triton X100/PBS. 8. ICC staining Stathmin 1 in SH-SY-5Y cells (green). The nuclear counter stain is DAPI (blue). Cells were fixed in paraformaldehyde, permeabilised with 0.25% Triton X100/PBS. 9. Flow cytometric analysis of Hela cells with Stathmin 1 antibody at 1/50 dilution (blue) compared with an unlabelled control (cells without incubation with primary antibody; red). Alexa Fluor 488-conjugated goat anti rabbit IgG was used as the secondary antibody. ![]() ![]() ![]() ![]() ![]() ![]() ![]() ![]() ![]() |
| Application | |
| Recommended Dose | WB: 1:1000-2000; IHC: 1:50-200; ICC: 1:100-500; FCM: 1:50-100 |
| Antibody Type | Monoclonal |
| Host Species | Rabbit |
| Construction | Recombinant Antibody |
| Purification | ProA affinity purified |
| Appearance | Liquid |
| Formulation | 1*TBS (pH7.4), 1%BSA, 40%Glycerol. Preservative: 0.05% Sodium Azide. |
| Research Background | Op18 (for oncoprotein 18, also designated stathmin, prosolin or metablastin) is a conserved, tubulin-associated, intracellular phosphoprotein . Many different phosphorylated forms of Op18 are observed, and it is expressed as two different isoforms. Op18 is considered a critical regulator of microtubulin dynamics and is downregulated by p53. It serves as a transducing protein, via phophorylation, for a variety of cell signaling pathways and involved in both mitosis and differentiation. Op18 is present in many cancers, including breast carcinomas, and is highly expressed in acute leukemias of different subtypes. |
| Conjucates | Unconjugated |
| Immunogen | Recombinant Protein |
| Uniprot ID |
| Molecular Weight | Theoretical: 18 kDa. |
| Stability & Storage | Store at -20°C or -80°C for 12 months. Avoid repeated freeze-thaw cycles. |
| Transport | Shipping with blue ice. |
| Size | Quantity | Unit Price | Amount | Operation |
|---|

Copyright © 2015-2026 TargetMol Chemicals Inc. All Rights Reserved.