Shopping Cart
Remove All
Your shopping cart is currently empty
Anti-STAT3 Antibody (9V551) is a Mouse antibody targeting STAT3. Anti-STAT3 Antibody (9V551) can be used in IF, IHC-Fr, IHC-P, WB.
| Pack Size | Price | USA Stock | Global Stock | Quantity |
|---|---|---|---|---|
| 50 μL | $221 | 7-10 days | 7-10 days | |
| 100 μL | $374 | 7-10 days | 7-10 days | |
| 200 μL | $529 | 7-10 days | 7-10 days |
| Description | Anti-STAT3 Antibody (9V551) is a Mouse antibody targeting STAT3. Anti-STAT3 Antibody (9V551) can be used in IF, IHC-Fr, IHC-P, WB. |
| Synonyms | signal transducer and activator of transcription 3 (acute-phase response factor), HIES, APRF, ADMIO |
| Ig Type | IgG |
| Clone | 9V551 |
| Reactivity | Human,Mouse,Rat (predicted:Cow) |
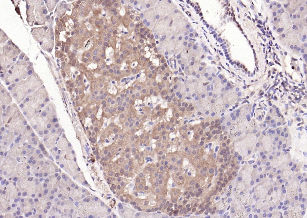
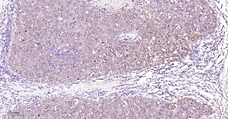
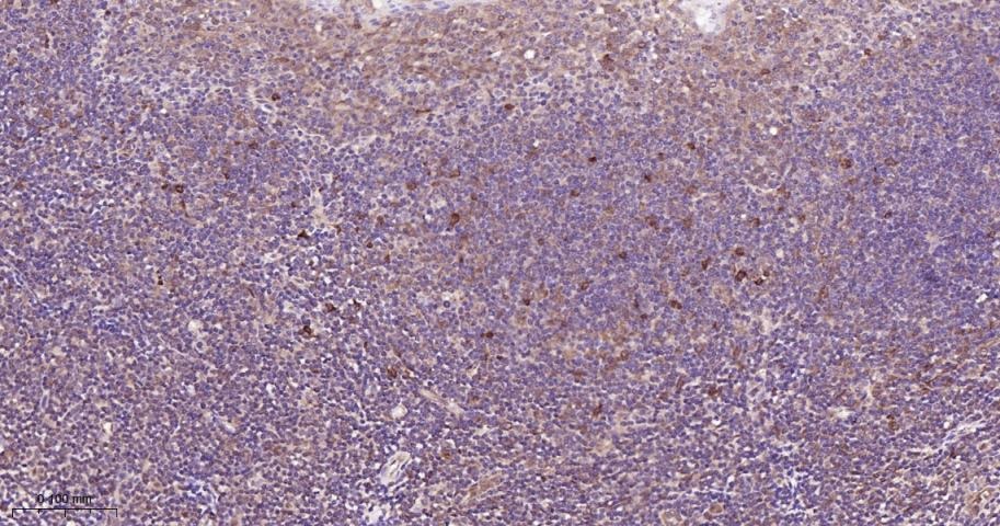
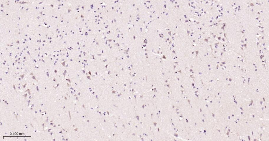
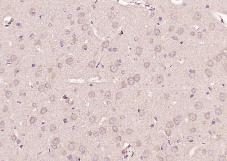
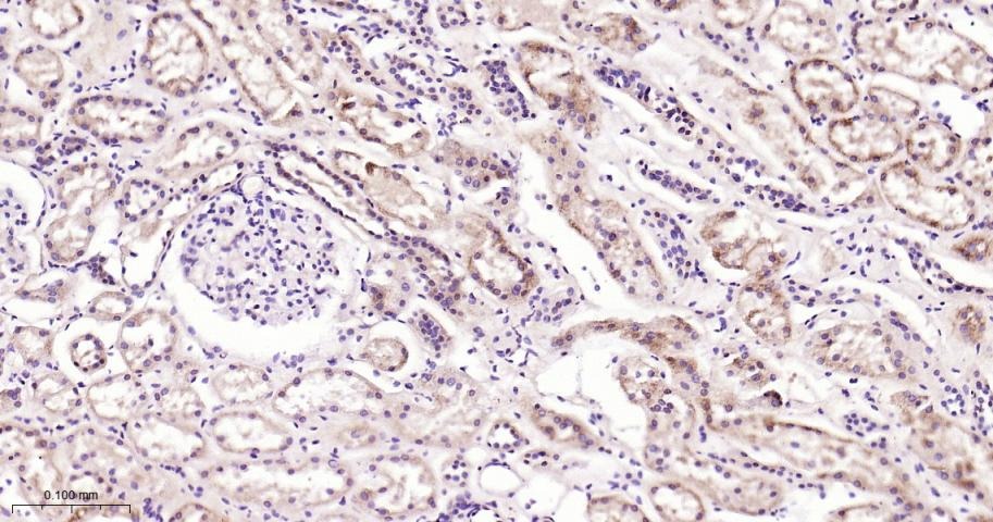
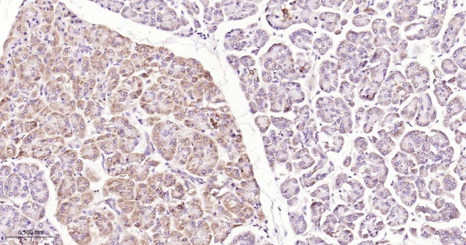
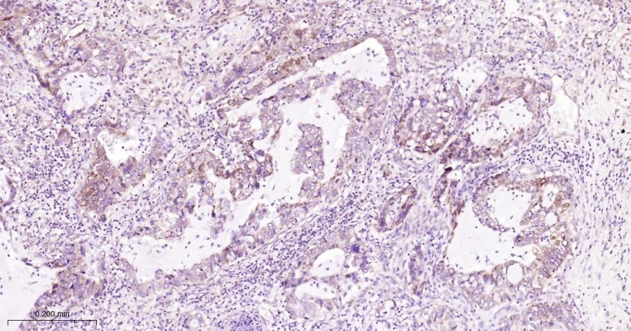
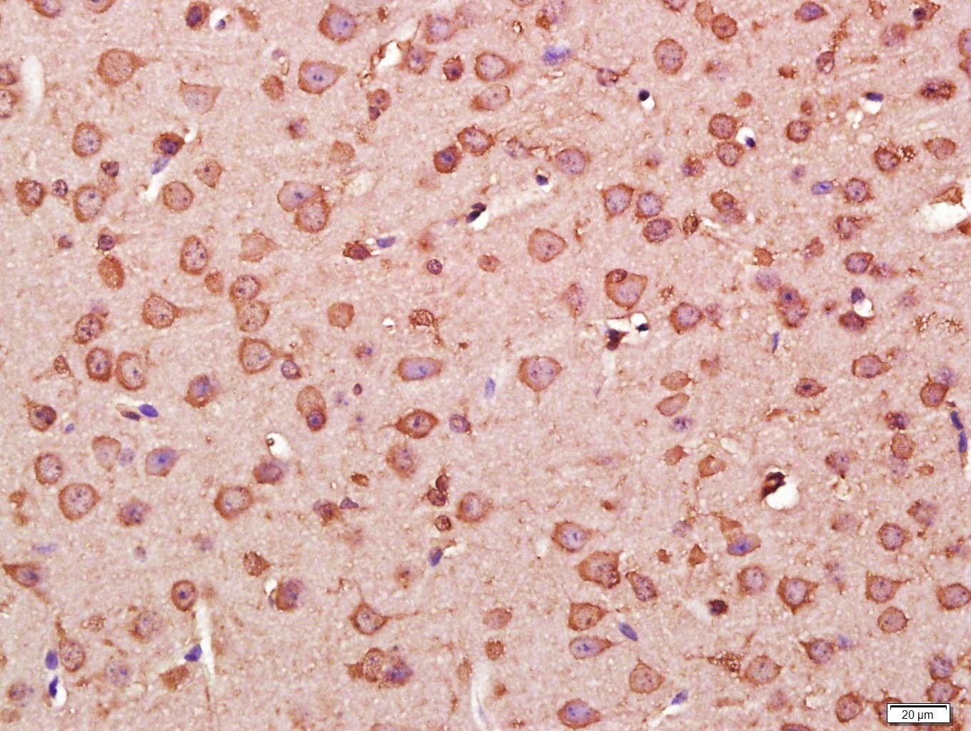
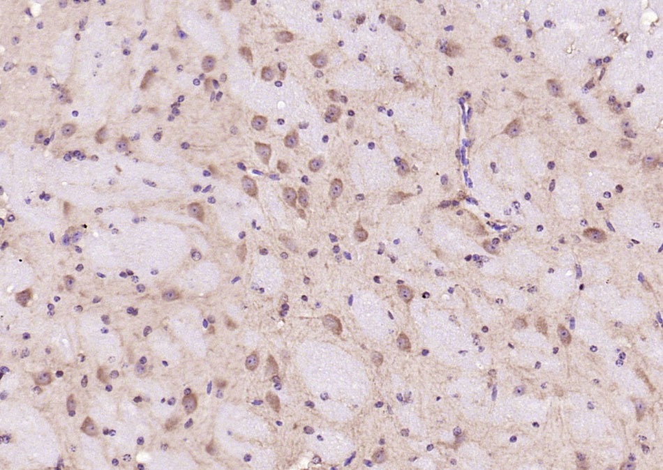
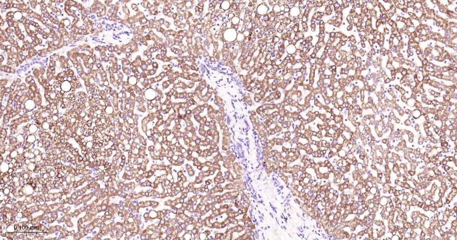
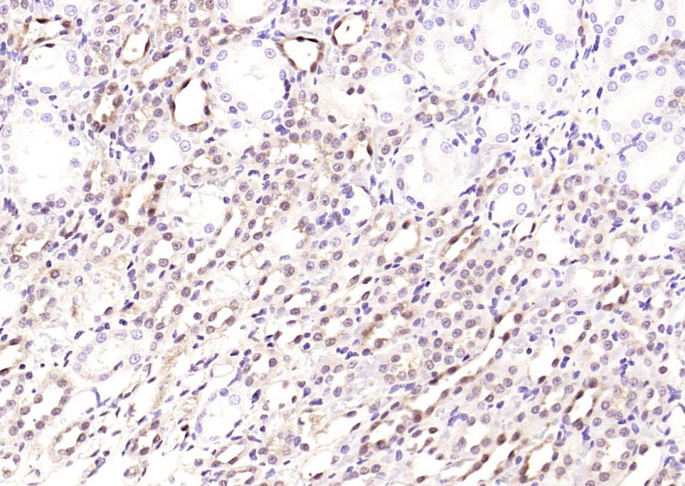
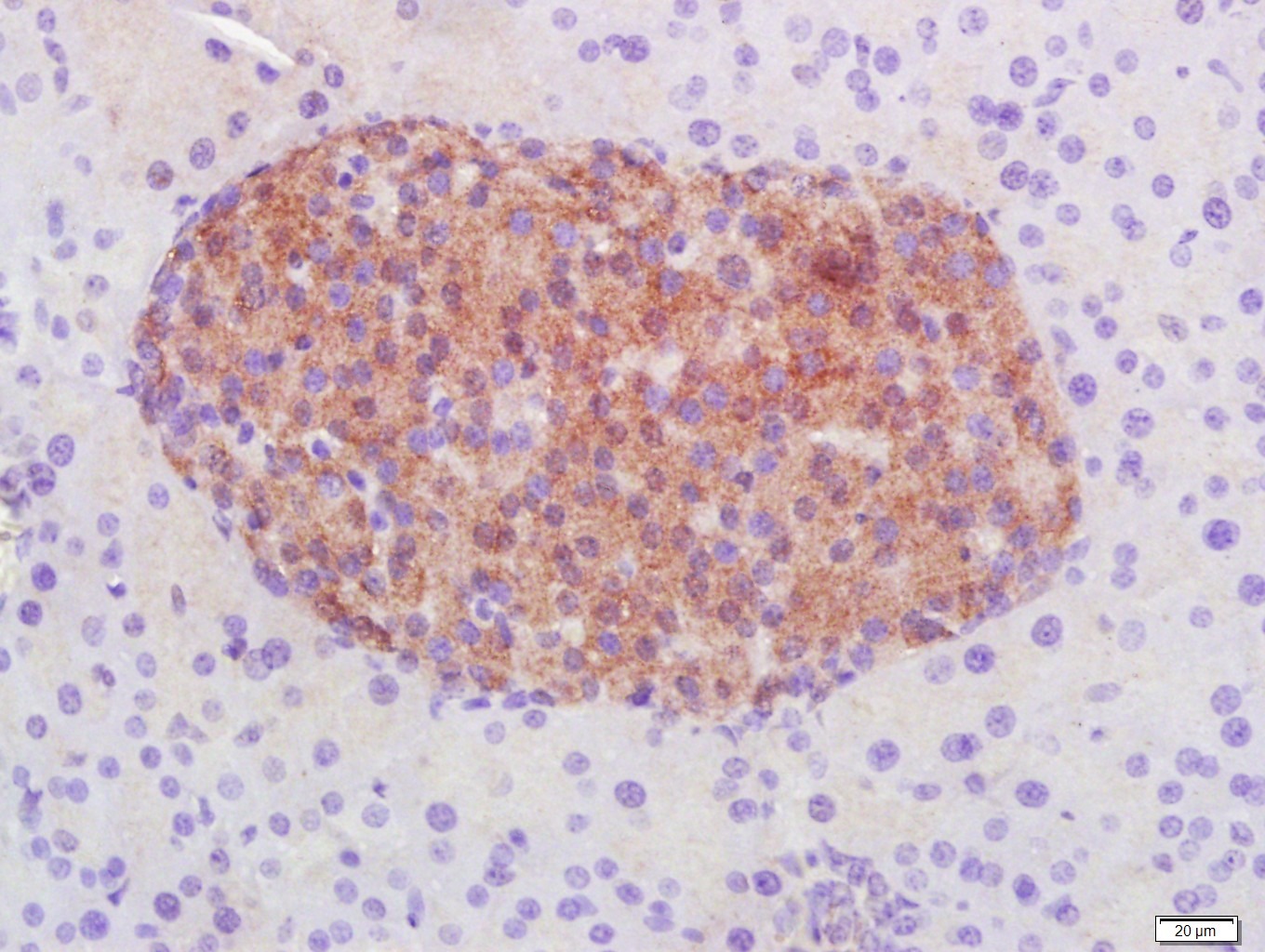
| Verified Activity | 1. Paraformaldehyde-fixed, paraffin embedded (rat kidney); Antigen retrieval by boiling in sodium citrate buffer (pH6.0) for 15 min; Block endogenous peroxidase by 3% hydrogen peroxide for 20 min; Blocking buffer (normal goat serum) at 37°C for 30 min; Antibody incubation with (STAT3) Monoclonal Antibody, Unconjugated (ascites of TMAB-01783) at 1:2000 overnight at 4°C, followed by operating according to SP Kit (Mouse) instructions and DAB staining. 2. Paraformaldehyde-fixed, paraffin embedded (mouse brain); Antigen retrieval by boiling in sodium citrate buffer (pH6.0) for 15 min; Block endogenous peroxidase by 3% hydrogen peroxide for 20 min; Blocking buffer (normal goat serum) at 37°C for 30 min; Antibody incubation with (STAT3) Polyclonal Antibody, Unconjugated (TMAB-01783) at 1:200 overnight at 4°C, followed by operating according to SP Kit (Mouse) instructionsand DAB staining. 3. Paraformaldehyde-fixed, paraffin embedded (rat brain); Antigen retrieval by boiling in sodium citrate buffer (pH6.0) for 15 min; Block endogenous peroxidase by 3% hydrogen peroxide for 20 min; Blocking buffer (normal goat serum) at 37°C for 30 min; Antibody incubation with (STAT3) Polyclonal Antibody, Unconjugated (TMAB-01783) at 1:200 overnight at 4°C, followed by operating according to SP Kit (Mouse) instructionsand DAB staining. 4. Paraformaldehyde-fixed, paraffin embedded (rat pancreas); Antigen retrieval by boiling in sodium citrate buffer (pH6.0) for 15 min; Block endogenous peroxidase by 3% hydrogen peroxide for 20 min; Blocking buffer (normal goat serum) at 37°C for 30 min; Antibody incubation with (STAT3) Polyclonal Antibody, Unconjugated (TMAB-01783) at 1:200 overnight at 4°C, followed by operating according to SP Kit (Mouse) instructionsand DAB staining. 5. Paraformaldehyde-fixed, paraffin embedded (Mouse brain); Antigen retrieval by boiling in sodium citrate buffer (pH6.0) for 15 min; Block endogenous peroxidase by 3% hydrogen peroxide for 20 min; Blocking buffer (normal goat serum) at 37°C for 30 min; Antibody incubation with (STAT3) Monoclonal Antibody, Unconjugated (TMAB-01783) at 1:400 overnight at 4°C, followed by a conjugated secondary for 20 min and DAB staining. 6. Paraformaldehyde-fixed, paraffin embedded (Mouse pancreas); Antigen retrieval by boiling in sodium citrate buffer (pH6.0) for 15 min; Block endogenous peroxidase by 3% hydrogen peroxide for 20 min; Blocking buffer (normal goat serum) at 37°C for 30 min; Antibody incubation with (STAT3) Monoclonal Antibody, Unconjugated (TMAB-01783) at 1:400 overnight at 4°C, followed by a conjugated secondary for 20 min and DAB staining. 7. 25 μg total protein per Lane of various lysates probed with STAT3 monoclonal antibody, unconjugated (TMAB-01783) at 1:1000 dilution and 4°C overnight incubation. Followed by conjugated secondary antibody incubation at RT for 60 min. 8. 25 μg total protein per Lane of various lysates probed with STAT3 monoclonal antibody, unconjugated (TMAB-01783) at 1:1000 dilution and 4°C overnight incubation. Followed by conjugated secondary antibody incubation at RT for 60 min. 9. Paraformaldehyde-fixed, paraffin embedded Human Lung Cancer; Antigen retrieval by boiling in sodium citrate buffer (pH6.0) for 15 min; The section was incubated with STAT3 Monoclonal Antibody, Unconjugated (ascites of TMAB-01783) at 1:1500 overnight at 4°C, followed by conjugation to the secondary antibody and DAB staining. 10. Paraformaldehyde-fixed, paraffin embedded Human Cervical Cancer; Antigen retrieval by boiling in sodium citrate buffer (pH6.0) for 15 min; The section was incubated with STAT3 Monoclonal Antibody, Unconjugated (ascites of TMAB-01783) at 1:1500 overnight at 4°C, followed by conjugation to the secondary antibody and DAB staining. 11. Paraformaldehyde-fixed, paraffin embedded Human Colon Cancer; Antigen retrieval by boiling in sodium citrate buffer (pH6.0) for 15 min; The section was incubated with STAT3 alpha Monoclonal Antibody, Unconjugated (ascites of TMAB-01783) at 1:1500 overnight at 4°C, followed by conjugation to the secondary antibody and DAB staining. 12. Paraformaldehyde-fixed, paraffin embedded Human Tonsil; Antigen retrieval by boiling in sodium citrate buffer (pH6.0) for 15 min; The section was incubated with STAT3 Monoclonal Antibody, Unconjugated (ascites of TMAB-01783) at 1:1500 overnight at 4°C, followed by conjugation to the secondary antibody and DAB staining. 13. Paraformaldehyde-fixed, paraffin embedded Human Liver; Antigen retrieval by boiling in sodium citrate buffer (pH6.0) for 15 min; The section was incubated with STAT3 Monoclonal Antibody, Unconjugated (ascites of TMAB-01783) at 1:1500 overnight at 4°C, followed by conjugation to the secondary antibody and DAB staining. 14. Paraformaldehyde-fixed, paraffin embedded Human Cerebrum; Antigen retrieval by boiling in sodium citrate buffer (pH6.0) for 15 min; The section was incubated with STAT3 Monoclonal Antibody, Unconjugated (ascites of TMAB-01783) at 1:1500 overnight at 4°C, followed by conjugation to the secondary antibody and DAB staining. 15. Paraformaldehyde-fixed, paraffin embedded Human Kidney; Antigen retrieval by boiling in sodium citrate buffer (pH6.0) for 15 min; The section was incubated with STAT3 Monoclonal Antibody, Unconjugated (ascites of TMAB-01783) at 1:1500 overnight at 4°C, followed by conjugation to the secondary antibody and DAB staining. 16. Paraformaldehyde-fixed, paraffin embedded Human Small Intestine; Antigen retrieval by boiling in sodium citrate buffer (pH6.0) for 15 min; The section was incubated with STAT3 Monoclonal Antibody, Unconjugated (ascites of TMAB-01783) at 1:1500 overnight at 4°C, followed by conjugation to the secondary antibody and DAB staining. 17. Paraformaldehyde-fixed, paraffin embedded Human Pancreas; Antigen retrieval by boiling in sodium citrate buffer (pH6.0) for 15 min; The section was incubated with STAT3 Monoclonal Antibody, Unconjugated (ascites of TMAB-01783) at 1:1500 overnight at 4°C, followed by conjugation to the secondary antibody and DAB staining. 18. Paraformaldehyde-fixed, paraffin embedded Human Breast Cancer; Antigen retrieval by boiling in sodium citrate buffer (pH6.0) for 15 min; The section was incubated with STAT3 Monoclonal Antibody, Unconjugated (ascites of TMAB-01783) at 1:1500 overnight at 4°C, followed by conjugation to the secondary antibody and DAB staining. ![]() ![]() ![]() ![]() ![]() ![]() ![]() ![]() ![]() ![]() ![]() ![]() ![]() ![]() ![]() ![]() ![]() ![]() |
| Application | |
| Recommended Dose | IF=1:200-2000; IHC-Fr=1:200-2000; IHC-P=1:200-2000; WB=1:1000-5000 |
| Antibody Type | Monoclonal |
| Host Species | Mouse |
| Subcellular Localization | Cytoplasm. Nucleus. Note=Shuttles between the nucleus and the cytoplasm. Translocated into the nucleus upon tyrosine phosphorylation and dimerization, in response to signaling by activated FGFR1, FGFR2, FGFR3 or FGFR4. Constitutive nuclear presence is independent of tyrosine phosphorylation. Predominantly present in the cytoplasm without stimuli. Upon leukemia inhibitory factor (LIF) stimulation, accumulates in the nucleus. The complex composed of BART and ARL2 plays an important role in the nuclear translocation and retention of STAT3. Identified in a complex with LYN and PAG1. |
| Tissue Specificity | Heart, brain, placenta, lung, liver, skeletal muscle, kidney and pancreas. |
| Construction | Hybridoma Monoclonal Antibody |
| Purification | Protein G purified |
| Appearance | Liquid |
| Formulation | 0.01M TBS (pH7.4) with 1% BSA, 0.02% Proclin300 and 50% Glycerol. |
| Concentration | 1 mg/mL |
| Research Background | The protein encoded by this gene is a member of the STAT protein family. In response to cytokines and growth factors, STAT family members are phosphorylated by the receptor associated kinases, and then form homo- or heterodimers that translocate to the cell nucleus where they act as transcription activators. This protein is activated through phosphorylation in response to various cytokines and growth factors including IFNs, EGF, IL5, IL6, HGF, LIF and BMP2. This protein mediates the expression of a variety of genes in response to cell stimuli, and thus plays a key role in many cellular processes such as cell growth and apoptosis. The small GTPase Rac1 has been shown to bind and regulate the activity of this protein. PIAS3 protein is a specific inhibitor of this protein. Mutations in this gene are associated with infantile-onset multisystem autoimmune disease and hyper-immunoglobulin E syndrome. Alternative splicing results in multiple transcript variants encoding distinct isoforms. [provided by RefSeq, Sep 2015] |
| Immunogen | Recombinant Protein: human STAT3 Protein |
| Antigen Species | Human |
| Gene Name | STAT3 |
| Gene ID | |
| Protein Name | Signal transducer and activator of transcription 3 |
| Uniprot ID | |
| Biology Area | STAT family,Transcription factors/regulators,Transcription factors,Surface molecules,STATs,Other factors,SARS Coronavirus,STATs,Intracellular |
| Function | Transcription factor that binds to the interleukin-6 (IL-6)-responsive elements identified in the promoters of various acute-phase protein genes. Activated by IL31 through IL31RA. |
| Molecular Weight | Theoretical: 88 kDa. Actual: 85 kDa. |
| Stability & Storage | Store at -20°C or -80°C for 12 months. Avoid repeated freeze-thaw cycles. |
| Transport | Shipping with blue ice. |
| Size | Quantity | Unit Price | Amount | Operation |
|---|

Copyright © 2015-2026 TargetMol Chemicals Inc. All Rights Reserved.