Shopping Cart
Remove All
Your shopping cart is currently empty
Anti-STAT1 Antibody (5F189) is a Rabbit antibody targeting STAT1. Anti-STAT1 Antibody (5F189) can be used in FCM,ICC/IF,IHC,IP,WB.
| Pack Size | Price | USA Warehouse | Global Warehouse | Quantity |
|---|---|---|---|---|
| 50 μL | $298 | 7-10 days | 7-10 days | |
| 100 μL | $498 | 7-10 days | 7-10 days |
| Description | Anti-STAT1 Antibody (5F189) is a Rabbit antibody targeting STAT1. Anti-STAT1 Antibody (5F189) can be used in FCM,ICC/IF,IHC,IP,WB. |
| Synonyms | STAT91, signal transducer and activator of transcription 1, 91kDa, ISGF-3, IMD31C, IMD31B, IMD31A, CANDF7 |
| Ig Type | IgG |
| Clone | 5F189 |
| Reactivity | Human |
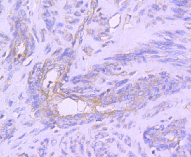
| Verified Activity | 1. Western blot analysis of STAT1 on different lysates using anti-STAT1 alpha antibody at 1/1,000 dilution. Positive control: Lane 1: Hela, Lane 2: 293. 2. Immunohistochemical analysis of paraffin-embedded human cervix uteri tissue using anti-STAT1 alpha antibody. Counter stained with hematoxylin. 3. ICC staining STAT1 alpha in Hela cells (green). The nuclear counter stain is DAPI (blue). Cells were fixed in paraformaldehyde, permeabilised with 0.25% Triton X100/PBS. 4. ICC staining STAT1 alpha in MCF-7 cells (green). The nuclear counter stain is DAPI (blue). Cells were fixed in paraformaldehyde, permeabilised with 0.25% Triton X100/PBS. 5. ICC staining STAT1 alpha in SKOV-3 cells (green). The nuclear counter stain is DAPI (blue). Cells were fixed in paraformaldehyde, permeabilised with 0.25% Triton X100/PBS. 6. Flow cytometric analysis of MCF-7 cells with STAT1 alpha antibody at 1/50 dilution (red) compared with an unlabelled control (cells without incubation with primary antibody; black). Alexa Fluor 488-conjugated goat anti rabbit IgG was used as the secondary antibody. ![]() ![]() ![]() ![]() ![]() ![]() |
| Application | |
| Recommended Dose | WB: 1:1000-5000; IHC: 1:50-200; ICC/IF: 1:100-500; FCM: 1:50-100 |
| Antibody Type | Monoclonal |
| Host Species | Rabbit |
| Construction | Recombinant Antibody |
| Purification | ProA affinity purified |
| Appearance | Liquid |
| Formulation | 1*TBS (pH7.4), 1%BSA, 40%Glycerol. Preservative: 0.05% Sodium Azide. |
| Research Background | Membrane receptor signaling by various ligands, including interferons and growth hormones such as EGF, induces activation of JAK kinases which then leads to tyrosine phosphorylation of the various Stat transcription factors. Stat1 and Stat2 are induced by IFN-α and form a heterodimer which is part of the ISGF3 transcription factor complex. Although early reports indicate Stat3 activation by EGF and IL-6, it has been shown that Stat3β appears to be activated by both while Stat3α is activated by EGF, but not by IL-6. Highest expression of Stat4 is seen in testis and myeloid cells. IL-12 has been identified as an activator of Stat4. Stat5 has been shown to be activated by Prolactin and by IL-3. Stat6 is involved in IL-4 activated signaling pathways. |
| Conjucates | Unconjugated |
| Immunogen | Recombinant Protein |
| Uniprot ID |
| Molecular Weight | Theoretical: 87 kDa. |
| Stability & Storage | Store at -20°C or -80°C for 12 months. Avoid repeated freeze-thaw cycles. |
| Transport | Shipping with blue ice. |
| Size | Quantity | Unit Price | Amount | Operation |
|---|

Copyright © 2015-2026 TargetMol Chemicals Inc. All Rights Reserved.