Shopping Cart
Remove All
Your shopping cart is currently empty
Anti-Src Antibody (1R481) is a Rabbit antibody targeting Src. Anti-Src Antibody (1R481) can be used in ICC/IF,IHC,WB.
| Pack Size | Price | USA Warehouse | Global Warehouse | Quantity |
|---|---|---|---|---|
| 50 μL | $298 | 7-10 days | 7-10 days | |
| 100 μL | $497 | 7-10 days | 7-10 days |
| Description | Anti-Src Antibody (1R481) is a Rabbit antibody targeting Src. Anti-Src Antibody (1R481) can be used in ICC/IF,IHC,WB. |
| Ig Type | IgG |
| Clone | 1R481 |
| Reactivity | Human,Rat |
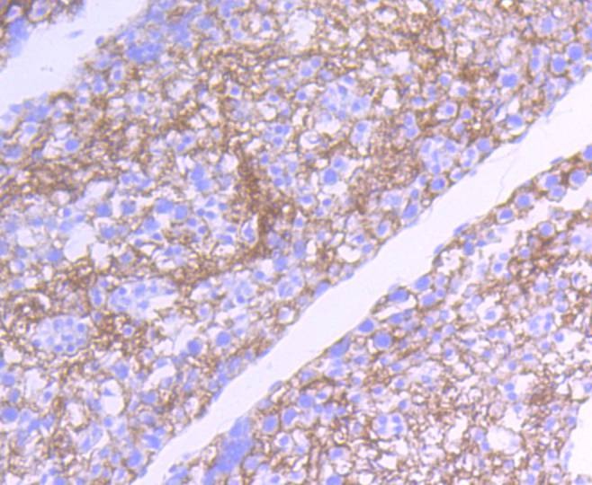
| Verified Activity | 1. Western blot analysis of Src on A431 cell lysates using anti-Src antibody at 1/1,000 dilution. 2. Immunohistochemical analysis of paraffin-embedded rat testis tissue using anti-Src antibody. Counter stained with hematoxylin. 3. ICC staining Src in Hela cells (green). The nuclear counter stain is DAPI (blue). Cells were fixed in paraformaldehyde, permeabilised with 0.25% Triton X100/PBS. ![]() ![]() ![]() |
| Application | |
| Recommended Dose | WB: 1:1000; IHC: 1:50-200; ICC/IF: 1:50-200 |
| Antibody Type | Monoclonal |
| Host Species | Rabbit |
| Construction | Recombinant Antibody |
| Purification | ProA affinity purified |
| Appearance | Liquid |
| Formulation | 1*TBS (pH7.4), 1%BSA, 40%Glycerol. Preservative: 0.05% Sodium Azide. |
| Research Background | The major translational products of the Src gene family are membrane-associated tyrosine protein kinases that lack transmembrane and external amino acid sequences. By virtue of their common structural motifs, the Src family is composed of nine members in vertebrates, including c-Src, c-Yes, Fgr, Yrk, Fyn, Lyn, Hck, Lck and Blk. Src family kinases, which contain an amino-terminal cell membrane anchor followed by SH3 and SH2 domains, transduce signals that are involved in the control of a variety of cellular processes, including proliferation, differentiation, motility and adhesion. Src family members are normally maintained in an inactive state and can be activated transiently during cellular events such as mitosis. Different subcellular locations of Src family kinases may be important for the regulation of specific cellular processes, such as mitogenesis, cytoskeletal organization and membrane trafficking. c-Src (also designated pp60Src, Src p60 and proto-oncogene tyrosine protein kinase Src) is expressed in a broad range of tissue and cell types, although the highest levels of c-Src are detected in neuronal tissues and platelets. c-Src may play a role in events associated with both neuronal differentiation and maintenance of mature neuronal cell functions. |
| Conjucates | Unconjugated |
| Immunogen | Recombinant Protein |
| Uniprot ID |
| Molecular Weight | Theoretical: 60 kDa. |
| Stability & Storage | Store at -20°C or -80°C for 12 months. Avoid repeated freeze-thaw cycles. |
| Transport | Shipping with blue ice. |
| Size | Quantity | Unit Price | Amount | Operation |
|---|

Copyright © 2015-2026 TargetMol Chemicals Inc. All Rights Reserved.