Shopping Cart
Remove All
Your shopping cart is currently empty
Anti-SRC-1 Antibody (5K128) is a Rabbit antibody targeting SRC-1. Anti-SRC-1 Antibody (5K128) can be used in IHC,IP,WB.
| Pack Size | Price | USA Warehouse | Global Warehouse | Quantity |
|---|---|---|---|---|
| 50 μL | $298 | 7-10 days | 7-10 days | |
| 100 μL | $496 | 7-10 days | 7-10 days |
| Description | Anti-SRC-1 Antibody (5K128) is a Rabbit antibody targeting SRC-1. Anti-SRC-1 Antibody (5K128) can be used in IHC,IP,WB. |
| Synonyms | Steroid receptor coactivator 1, SRC1, RIP160, RIP 160, Renal carcinoma antigen NY-REN-52, Renal carcinoma antigen NY REN 52, Protein Hin-2, Protein Hin2, Protein Hin 2, NY REN 52 antigen, Nuclear receptor coactivator protein 1, Nuclear receptor coactivator 1, NCOA1_HUMAN, NCoA-1, Ncoa1, NCoA 1, mNRC 1, MGC129720, MGC129719, Hin2 protein, Hin 2 protein, F SRC 1, Class E basic helix-loop-helix protein 74, bHLHe74 |
| Ig Type | IgG |
| Clone | 5K128 |
| Reactivity | Human |
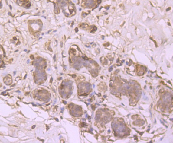
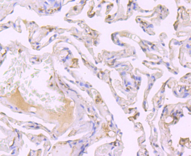
| Verified Activity | 1. Western blot analysis of SRC1 on K562 cell lysate using anti- SRC1 antibody at 1/2,000 dilution. 2. Immunohistochemical analysis of paraffin-embedded human lung cancer tissue using anti-SRC1 antibody. Counter stained with hematoxylin. 3. Immunohistochemical analysis of paraffin-embedded human thyroid gland tissue using anti-SRC1 antibody. Counter stained with hematoxylin. 4. Immunohistochemical analysis of paraffin-embedded human breast tissue using anti- SRC1 antibody. Counter stained with hematoxylin. ![]() ![]() ![]() ![]() |
| Application | |
| Recommended Dose | WB: 1:500-2000; IHC: 1:50-100 |
| Antibody Type | Monoclonal |
| Host Species | Rabbit |
| Construction | Recombinant Antibody |
| Purification | ProA affinity purified |
| Appearance | Liquid |
| Formulation | 1*TBS (pH7.4), 1%BSA, 40%Glycerol. Preservative: 0.05% Sodium Azide. |
| Research Background | Nuclear receptors for steroids, thyroid hormones and retinoic acids are ligand-dependent transcription factors that activate transcription through specific DNA binding sites in their target genes. Several related transcriptional coactivators and corepressors have been described that work in concert with the steroid receptor family to either induce or repress transcription from hormone-responsive elements. This family includes GRIP1 (for GR interacting protein 1, also designated NCoA-2 or Tif2); SRC-1 (for steroid receptor coactivator-1, also designated NCoA-1); RAC3 (also designated AIB1, for amplified in breast cancer, or ACTR), which displays elevated expression in estrogen receptor positive ovarian and breast cancers; and p/CIP (for p300/CBP/Co-Integrator Protein), which is required for the transcriptional activation of p300/CBP-dependent transcription factors |
| Conjucates | Unconjugated |
| Immunogen | Recombinant Protein |
| Uniprot ID |
| Molecular Weight | Theoretical: 156 kDa. |
| Stability & Storage | Store at -20°C or -80°C for 12 months. Avoid repeated freeze-thaw cycles. |
| Transport | Shipping with blue ice. |
| Size | Quantity | Unit Price | Amount | Operation |
|---|

Copyright © 2015-2026 TargetMol Chemicals Inc. All Rights Reserved.