Shopping Cart
Remove All
Your shopping cart is currently empty
Anti-SOX4 Polyclonal Antibody is a Rabbit antibody targeting SOX4. Anti-SOX4 Polyclonal Antibody can be used in FCM,IF,IHC-Fr,IHC-P,WB.
| Pack Size | Price | USA Stock | Global Stock | Quantity |
|---|---|---|---|---|
| 50 μL | $221 | 7-10 days | 7-10 days | |
| 100 μL | $372 | 7-10 days | 7-10 days | |
| 200 μL | $529 | 7-10 days | 7-10 days |
| Description | Anti-SOX4 Polyclonal Antibody is a Rabbit antibody targeting SOX4. Anti-SOX4 Polyclonal Antibody can be used in FCM,IF,IHC-Fr,IHC-P,WB. |
| Synonyms | SRY(sex determining region Y) box 4, SRY related HMG box gene 4, SRY box containing gene 4, SOX 4, EVI16, EVI 16, Ecotropic viral integration site 16 |
| Ig Type | IgG |
| Reactivity | Human,Mouse,Rat (predicted:Chicken) |
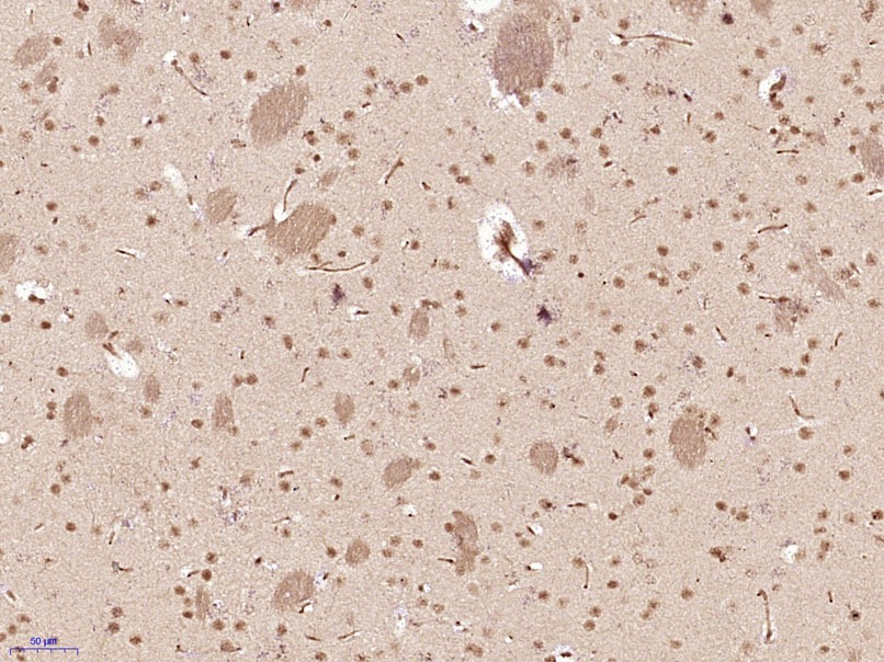
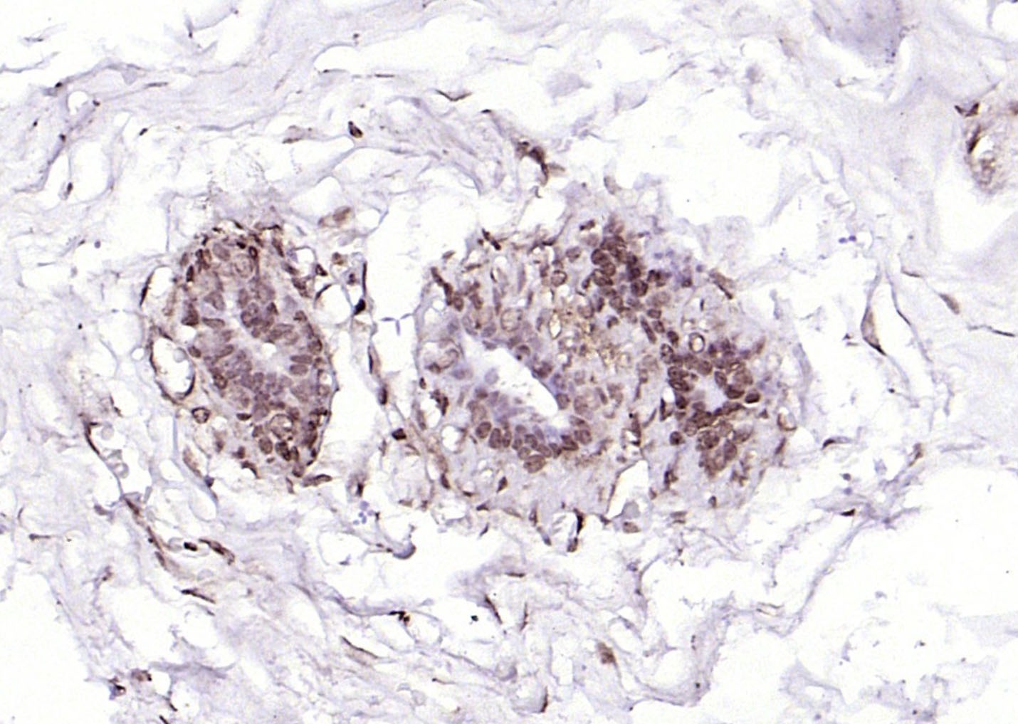
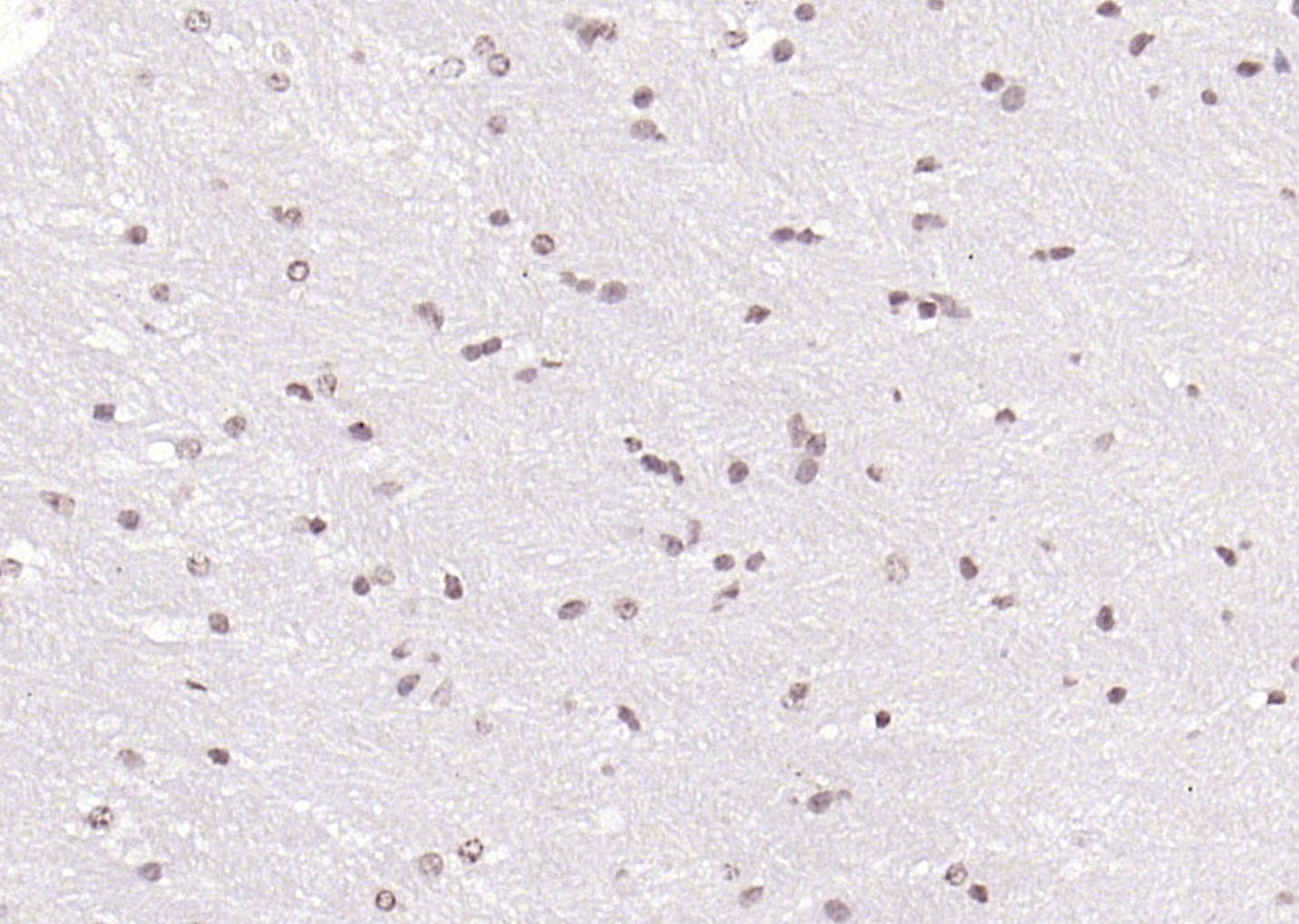
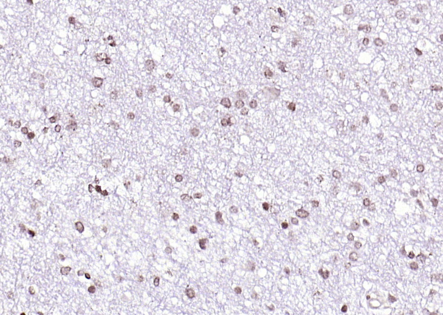
| Verified Activity | 1. Paraformaldehyde-fixed, paraffin embedded (human brain glioma); Antigen retrieval by boiling in sodium citrate buffer (pH6.0) for 15 min; Block endogenous peroxidase by 3% hydrogen peroxide for 20 min; Blocking buffer (normal goat serum) at 37°C for 30 min; Antibody incubation with (SOX4) Polyclonal Antibody, Unconjugated (TMAB-01759) at 1:200 overnight at 4°C, followed by operating according to SP Kit (Rabbit) instructionsand DAB staining. 2. Paraformaldehyde-fixed, paraffin embedded (mouse brain); Antigen retrieval by boiling in sodium citrate buffer (pH6.0) for 15 min; Block endogenous peroxidase by 3% hydrogen peroxide for 20 min; Blocking buffer (normal goat serum) at 37°C for 30 min; Antibody incubation with (SOX4) Polyclonal Antibody, Unconjugated (TMAB-01759) at 1:200 overnight at 4°C, followed by operating according to SP Kit (Rabbit) instructionsand DAB staining. 3. Paraformaldehyde-fixed, paraffin embedded (human breast carcinoma); Antigen retrieval by boiling in sodium citrate buffer (pH6.0) for 15 min; Block endogenous peroxidase by 3% hydrogen peroxide for 20 min; Blocking buffer (normal goat serum) at 37°C for 30 min; Antibody incubation with (SOX4) Polyclonal Antibody, Unconjugated (TMAB-01759) at 1:200 overnight at 4°C, followed by operating according to SP Kit (Rabbit) instructionsand DAB staining. 4. Paraformaldehyde-fixed, paraffin embedded (Mouse brain); Antigen retrieval by boiling in sodium citrate buffer (pH6.0) for 15 min; Block endogenous peroxidase by 3% hydrogen peroxide for 20 min; Blocking buffer (normal goat serum) at 37°C for 30 min; Antibody incubation with (SOX4) Polyclonal Antibody, Unconjugated (TMAB-01759) at 1:400 overnight at 4°C, followed by operating according to SP Kit (Rabbit) instructionsand DAB staining. 5. Paraformaldehyde-fixed, paraffin embedded (Mouse brain); Antigen retrieval by boiling in sodium citrate buffer (pH6.0) for 15 min; Block endogenous peroxidase by 3% hydrogen peroxide for 20 min; Blocking buffer (normal goat serum) at 37°C for 30 min; Antibody incubation with (SOX4) Polyclonal Antibody, Unconjugated (TMAB-01759) at 1:400 overnight at 4°C, followed by operating according to SP Kit (Rabbit) instructionsand DAB staining. 6. Sample: Testis (Mouse) Lysate at 40 μg Cerebrum (Mouse) Lysate at 40 μg Primary: Anti-SOX4 (TMAB-01759) at 1/500 dilution Secondary: IRDye800CW Goat Anti-Rabbit IgG at 1/20000 dilution Predicted band size: 52 kDa Observed band size: 52 kDa 7. Blank control: Molt4. Primary Antibody (green line): Rabbit Anti-SOX4 antibody (TMAB-01759) Dilution: 2 μg/10^6 cells; Isotype Control Antibody (orange line): Rabbit IgG. Secondary Antibody: Goat anti-rabbit IgG-APC Dilution: 1 μg/test. Protocol The cells were fixed with 4% PFA (10 min at room temperature) and then permeabilized with 90% ice-cold methanol for 20 min at-20°C. The cells were then incubated in 5% BSA to block non-specific protein-protein interactions for 30 min at room temperature. Cells stained with Primary Antibody for 30 min at room temperature. The secondary antibody used for 40 min at room temperature. 8. Sample: Lane 1: Mouse Heart tissue lysates Lane 2: Human 293T cell lysates Primary: Anti-SOX4 (TMAB-01759) at 1/1000 dilution Secondary: IRDye800CW Goat Anti-Rabbit IgG at 1/20000 dilution Predicted band size: 52 kDa Observed band size: 46 kDa ![]() ![]() ![]() ![]() ![]() ![]() ![]() ![]() |
| Application | |
| Recommended Dose | WB: 1:500-2000; IHC-P: 1:100-500; IHC-Fr: 1:100-500; IF: 1:100-500; FCM: 2ug/Test |
| Antibody Type | Polyclonal |
| Host Species | Rabbit |
| Subcellular Localization | Nuclear |
| Tissue Specificity | Testis, brain, and heart. |
| Construction | Polyclonal Antibody |
| Purification | Protein A purified |
| Appearance | Liquid |
| Formulation | 0.01M TBS (pH7.4) with 1% BSA, 0.02% Proclin300 and 50% Glycerol. |
| Concentration | 1 mg/mL |
| Research Background | Sox genes comprise a family of genes that are related to the mammalian sex determining gene SRY. These genes similarly contain sequences that encode for the HMG-box domain, which is responsible for the sequence-specific DNA-binding activity. Sox genes encode putative transcriptional regulators implicated in the decision of cell fates during development and the control of diverse developmental processes. The highly complex group of Sox genes cluster at least 40 different loci that rapidly diverged in various animal lineages. At present, 30 Sox genes have been identified. Members of this family have been shown to be conserved during evolution and to play key roles during animal development. Some are involved in human diseases, including sex reversal. |
| Immunogen | KLH conjugated synthetic peptide: human SOX4 |
| Antigen Species | Human |
| Gene Name | SOX4 |
| Gene ID | |
| Protein Name | Transcription factor SOX-4 |
| Uniprot ID | |
| Biology Area | Developmental Families,HMG Box,Neural Stem Cell marker,Neural Signal Transduction,Intracellular |
| Function | The SOX (SRY-box containing gene) gene family encodes a group of transcription factors defined by the conserved high motility group (HMG) DNA-binding domain. They are involved in the regulation of embryonic development and in the determination of cell fate. SOX4 shows a high degree of sequence homology with SOX11. Both are expressed in the CNS. SOX4 and SOX11 expression increase together in the developing CNS (with some exceptions: external granule layer of the cerebellum). SOX4 knock-out mice have been shown to die of a heart defect half way through gestation with no observable CNS phenotype, although it has been proposed that SOX11 compensates for the absence of SOX4. |
| Molecular Weight | Theoretical: 52 kDa. Actual: 46 kDa. |
| Stability & Storage | Store at -20°C or -80°C for 12 months. Avoid repeated freeze-thaw cycles. |
| Transport | Shipping with blue ice. |
| Size | Quantity | Unit Price | Amount | Operation |
|---|

Copyright © 2015-2026 TargetMol Chemicals Inc. All Rights Reserved.