Shopping Cart
Remove All
Your shopping cart is currently empty
Anti-SNAI2 Polyclonal Antibody is a Rabbit antibody targeting SNAI2. Anti-SNAI2 Polyclonal Antibody can be used in FCM, IF, IHC-Fr, IHC-P, WB.
| Pack Size | Price | USA Stock | Global Stock | Quantity |
|---|---|---|---|---|
| 50 μL | $222 | 7-10 days | 7-10 days | |
| 100 μL | $374 | 7-10 days | 7-10 days | |
| 200 μL | $528 | 7-10 days | 7-10 days |
| Description | Anti-SNAI2 Polyclonal Antibody is a Rabbit antibody targeting SNAI2. Anti-SNAI2 Polyclonal Antibody can be used in FCM, IF, IHC-Fr, IHC-P, WB. |
| Synonyms | Zinc finger protein SNAI2, Zinc finger protein SLUG, WS2D, WS 2D, Snail2, Snail homolog 2, Snail 2, SNAI2, SNAI 2, SLUGH1, SLUGH 1, SLUGH, Slug(chicken homolog) zinc finger protein, Slug zinc finger protein, Slug homolog zinc finger protein, SLUG, Protein snail homolog 2, Neural crest transcription factor Slug |
| Ig Type | IgG |
| Reactivity | Human,Mouse (predicted:Rat,Chicken,Dog,Pig,Cow,Rabbit) |
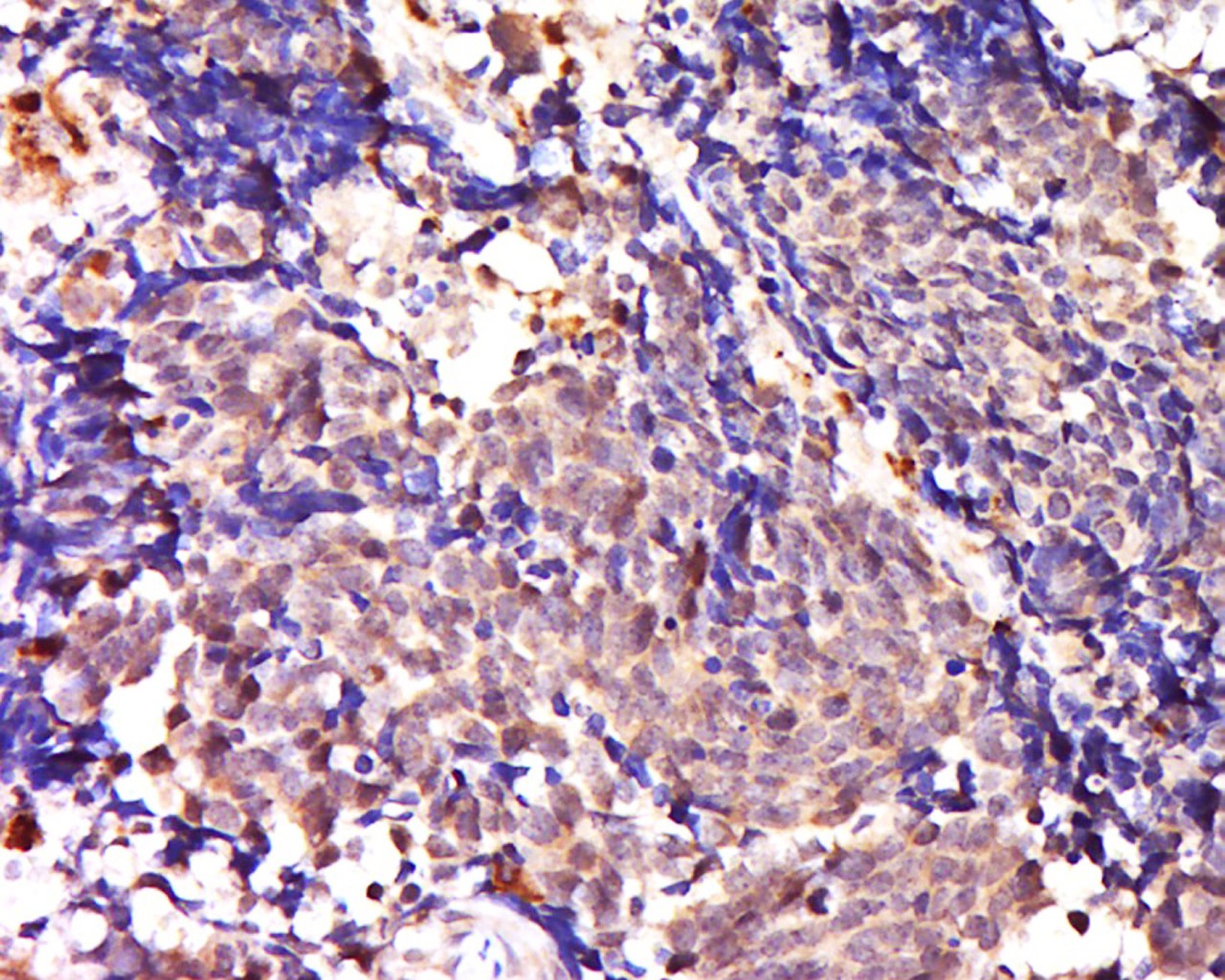
| Verified Activity | 1. Tissue/cell: human lung carcinoma; 4% Paraformaldehyde-fixed and paraffin-embedded; Antigen retrieval: citrate buffer (0.01M, pH6.0), Boiling bathing for 15 min; Block endogenous peroxidase by 3% Hydrogen peroxide for 30 min; Blocking buffer (normal goat serum) at 37°C for 20 min; Incubation: Anti-SNAI2 Polyclonal Antibody, Unconjugated (TMAB-01746) 1:500, overnight at 4°C, followed by conjugation to the secondary antibody and DAb staining. 2. Sample: Lane 1: Mouse Breast tissue lysates Lane 2: Mouse Placenta tissue lysates Lane 3: Human MDA-MB-231 cell lysates Lane 4: Human U2OS cell lysates Primary: Anti-SNAI2 (TMAB-01746) at 1/1000 dilution Secondary: IRDye800CW Goat Anti-Rabbit IgG at 1/20000 dilution Predicted band size: 30 kDa Observed band size: 34 kDa 3. Blank control (black line): HepG2. Primary Antibody (green line): Rabbit Anti-SNAI2 antibody (TMAB-01746) Dilution: 1 μg/Test; Secondary Antibody (white blue line): Goat anti-rabbit IgG-AF488 Dilution: 0.5 μg/Test. Isotype control (orange line): Normal Rabbit IgG Protocol The cells were fixed with 4% PFA (10 min at room temperature) and then permeabilized with 90% ice-cold methanol for 20 min at-20°C, The cells were then incubated in 5% BSA to block non-specific protein-protein interactions for 30 min at room temperature. Cells stained with Primary Antibody for 30 min at room temperature. The secondary antibody used for 40 min at room temperature. 4. Sample: Lane 1: Mouse NIH/3T3 cell lysates Lane 2: Human MDA-MB-231 cell lysates Primary: Anti-SNAI2 (TMAB-01746) at 1/500 dilution Secondary: IRDye800CW Goat Anti-Rabbit IgG at 1/20000 dilution Predicted band size: 30 kDa Observed band size: 34 kDa ![]() ![]() ![]() ![]() |
| Application | |
| Recommended Dose | WB: 1:500-2000; IHC-P: 1:100-500; IHC-Fr: 1:100-500; IF: 1:100-500; FCM: 1ug/Test |
| Antibody Type | Polyclonal |
| Host Species | Rabbit |
| Subcellular Localization | Nucleus. Cytoplasm. Note=Observed in discrete foci in interphase nuclei. These nuclear foci do not overlap with the nucleoli, the SP100 and the HP1 heterochromatin or the coiled body, suggesting SNAI2 is associated with active transcription or active splicing regions. |
| Tissue Specificity | Expressed in most adult human tissues, including spleen, thymus, prostate, testis, ovary, small intestine, colon, heart, brain, placenta, lung, liver, skeletal muscle, kidney and pancreas. Not detected in peripheral blood leukocyte. Expressed in the dermi |
| Construction | Polyclonal Antibody |
| Purification | Protein A purified |
| Appearance | Liquid |
| Formulation | 0.01M TBS (pH7.4) with 1% BSA, 0.02% Proclin300 and 50% Glycerol. |
| Concentration | 1 mg/mL |
| Research Background | Component of cohesin complex, a complex required for the cohesion of sister chromatids after DNA replication. The cohesin complex apparently forms a large proteinaceous ring within which sister chromatids can be trapped. At anaphase, the complex is cleaved and dissociates from chromatin, allowing sister chromatids to segregate. The cohesin complex may also play a role in spindle pole assembly during mitosis. |
| Immunogen | KLH conjugated synthetic peptide: human Slug |
| Antigen Species | Human |
| Gene Name | SNAI2 |
| Gene ID | |
| Protein Name | Zinc finger protein SNAI2 |
| Uniprot ID | |
| Function | Transcriptional repressor that modulates both activator-dependent and basal transcription. Involved in the generation and migration of neural crest cells. Plays a role in mediating RAF1-induced transcriptional repression of the TJ protein, occludin (OCLN) and subsequent oncogenic transformation of epithelial cells. Represses BRCA2 expression by binding to its E2-box-containing silencer and recruiting CTBP1 and HDAC1 in breast cells. In epidermal keratinocytes, binds to the E-box in ITGA3 promoter and represses its transcription. Involved in the regulation of ITGB1 and ITGB4 expression and cell adhesion and proliferation in epidermal keratinocytes. Binds to E-box2 domain of BSG and activates its expression during TGFB1-induced epithelial-mesenchymal transition (EMT) in hepatocytes. Represses E-Cadherin/CDH1 transcription via E-box elements. Involved in osteoblast maturation. Binds to RUNX2 and SOC9 promoters and may act as a positive and negative transcription regulator, respectively, in osteoblasts. Binds to CXCL12 promoter via E-box regions in mesenchymal stem cells and osteoblasts. Plays an essential role in TWIST1-induced EMT and its ability to promote invasion and metastasis. |
| Molecular Weight | Theoretical: 30 kDa. Actual: 34 kDa. |
| Stability & Storage | Store at -20°C or -80°C for 12 months. Avoid repeated freeze-thaw cycles. |
| Transport | Shipping with blue ice. |
| Size | Quantity | Unit Price | Amount | Operation |
|---|

Copyright © 2015-2026 TargetMol Chemicals Inc. All Rights Reserved.