Shopping Cart
Remove All
Your shopping cart is currently empty
Anti-SMN1 Antibody (9G111) is a Rabbit antibody targeting SMN1. Anti-SMN1 Antibody (9G111) can be used in IHC,IP,WB.
| Pack Size | Price | USA Warehouse | Global Warehouse | Quantity |
|---|---|---|---|---|
| 50 μL | $297 | 7-10 days | 7-10 days | |
| 100 μL | $497 | 7-10 days | 7-10 days |
| Description | Anti-SMN1 Antibody (9G111) is a Rabbit antibody targeting SMN1. Anti-SMN1 Antibody (9G111) can be used in IHC,IP,WB. |
| Synonyms | Survival motor neuron protein, SMNT, SMNC, SMN2, SMN 1, SMN, Gemin-1, Component of gems 1 |
| Ig Type | IgG |
| Clone | 9G111 |
| Reactivity | Human,Mouse,Rat |
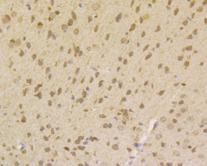
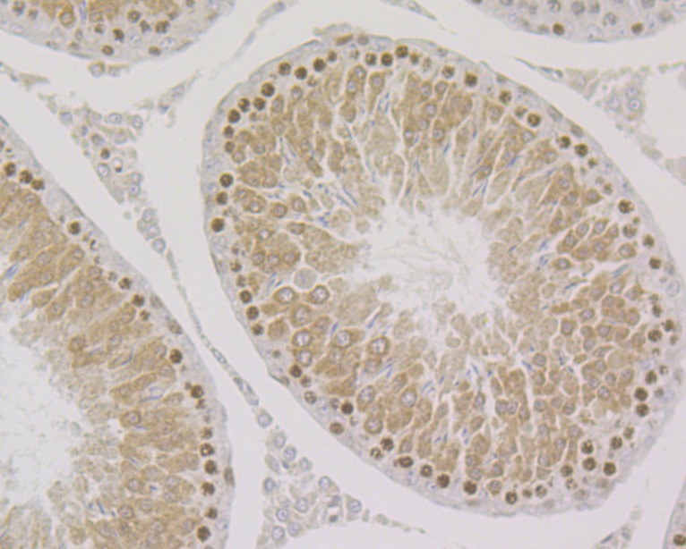
| Verified Activity | 1. Western blot analysis of Gemin 1 on SiHa cell lysates using anti-Gemin 1 at 1/500 dilution. 2. Immunohistochemical analysis of paraffin-embedded rat testis tissue using anti-Gemin 1 antibody. Counter stained with hematoxylin. 3. Immunohistochemical analysis of paraffin-embedded mouse brain tissue using anti-Gemin 1 antibody. Counter stained with hematoxylin. ![]() ![]() ![]() |
| Application | |
| Recommended Dose | WB: 1:500-1000; IHC: 1:50-200; IP: 1:10-50 |
| Antibody Type | Monoclonal |
| Host Species | Rabbit |
| Construction | Recombinant Antibody |
| Purification | ProA affinity purified |
| Appearance | Liquid |
| Formulation | 1*TBS (pH7.4), 1%BSA, 40%Glycerol. Preservative: 0.05% Sodium Azide. |
| Research Background | The SMN complex plays a catalyst role in the assembly of small nuclear ribonucleoproteins (snRNPs), the building blocks of the spliceosome. Thereby, plays an important role in the splicing of cellular pre-mRNAs. Ensures the correct splicing of U12 intron-containing genes that may be important for normal motor and proprioceptive neurons development. Also required for resolving RNA-DNA hybrids created by RNA polymerase II, that form R-loop in transcription terminal regions, an important step in proper transcription termination. May also play a role in the metabolism of small nucleolar ribonucleoprotein (snoRNPs). |
| Conjucates | Unconjugated |
| Immunogen | Recombinant Protein: human Gemin 1 aa 1-200 |
| Antigen Species | human |
| Uniprot ID |
| Molecular Weight | Theoretical: 32 kDa. |
| Stability & Storage | Store at -20°C or -80°C for 12 months. Avoid repeated freeze-thaw cycles. |
| Transport | Shipping with blue ice. |
| Size | Quantity | Unit Price | Amount | Operation |
|---|

Copyright © 2015-2026 TargetMol Chemicals Inc. All Rights Reserved.