Shopping Cart
Remove All
Your shopping cart is currently empty
Synonyms: SWI/SNF-related matrix-associated actin-dependent regulator of chromatin subfamily B member 1, SNF5L1, SNF5 homolog (hSNF5), SMARCB1, Integrase interactor 1 protein, INI1, BRG1-associated factor 47 (BAF47), BAF47
| Pack Size | Price | USA Stock | Global Stock | Quantity |
|---|---|---|---|---|
| 50 μL | $298 | 7-10 days | 7-10 days | |
| 100 μL | $496 | 7-10 days | 7-10 days |
| Description | Anti-SMARCB1 Antibody (3I885) is a Rabbit antibody targeting SMARCB1. Anti-SMARCB1 Antibody (3I885) can be used in FCM,IHC,WB. |
| Synonyms | SWI/SNF-related matrix-associated actin-dependent regulator of chromatin subfamily B member 1, SNF5L1, SNF5 homolog (hSNF5), SMARCB1, Integrase interactor 1 protein, INI1, BRG1-associated factor 47 (BAF47), BAF47 |
| Ig Type | IgG |
| Clone | 3I885 |
| Reactivity | Human,Mouse,Rat |
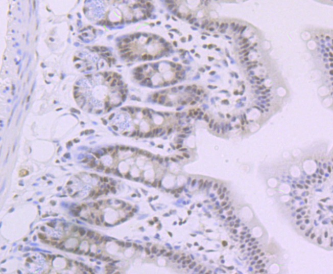
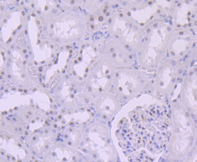
| Verified Activity | 1. Western blot analysis of SNF5 on Daudi cell and mouse lymph node tissue lysates using anti-SNF5 antibody at 1/500 dilution. 2. Immunohistochemical analysis of paraffin-embedded rat kidney tissue using anti-SNF5 antibody. Counter stained with hematoxylin. 3. Immunohistochemical analysis of paraffin-embedded mouse colon tissue using anti-SNF5 antibody. Counter stained with hematoxylin. 4. Flow cytometric analysis of SH-SY-5Y cells with SNF5 antibody at 1/100 dilution (red) compared with an unlabelled control (cells without incubation with primary antibody; black). Alexa Fluor 488-conjugated goat anti-rabbit IgG was used as the secondary antibody. |
| Application | |
| Recommended Dose | WB: 1:500-1000; IHC: 1:50-100; FCM: 1:50-100 |
| Antibody Type | Monoclonal |
| Host Species | Rabbit |
| Construction | Recombinant Antibody |
| Purification | ProA affinity purified |
| Appearance | Liquid |
| Formulation | 1*TBS (pH7.4), 1%BSA, 40%Glycerol. Preservative: 0.05% Sodium Azide. |
| Research Background | The SWI-SNF complex is involved in the activation of transcription via the remodeling of nucleosome structure in an ATP-dependent manner. Brm (also designated SNF2α) and Brg-1 (also designated SNF2β) are the ATPase subunits of the mammalian SWI-SNF complex. Brm, Brg-1, Ini1 (integrase interactor 1, also designated SNF5), BAF155 (also designated SRG3) and BAF170 are thought to comprise the functional core of the SWI-SNF complex. Addition of Ini1, BAF155 and BAF170 to Brg-1 appears to increase remodeling activity. Other complex subunits are thought to play regulatory roles. hSNF2L and hSNF2H both appear to be homologs of Drosophila ISWI, a Brm related ATPase that is present in chromatin remodeling complexes other than SWI/SNF, including the NURF (nucleosome remodeling factor). |
| Conjucates | Unconjugated |
| Immunogen | A synthesized peptide: C terminal Human SNF5 |
| Antigen Species | human |
| Uniprot ID |
| Molecular Weight | Theoretical: 44 kDa. |
| Stability & Storage | Store at -20°C or -80°C for 12 months. Avoid repeated freeze-thaw cycles. |
| Transport | Shipping with blue ice. |
| Size | Quantity | Unit Price | Amount | Operation |
|---|

Copyright © 2015-2026 TargetMol Chemicals Inc. All Rights Reserved.