Shopping Cart
Remove All
Your shopping cart is currently empty
Anti-SMAC Antibody (2W730) is a Rabbit antibody targeting SMAC. Anti-SMAC Antibody (2W730) can be used in FCM,ICC/IF,IHC,IP,WB.
| Pack Size | Price | USA Warehouse | Global Warehouse | Quantity |
|---|---|---|---|---|
| 50 μL | $298 | 7-10 days | 7-10 days | |
| 100 μL | $497 | 7-10 days | 7-10 days |
| Description | Anti-SMAC Antibody (2W730) is a Rabbit antibody targeting SMAC. Anti-SMAC Antibody (2W730) can be used in FCM,ICC/IF,IHC,IP,WB. |
| Synonyms | SMAC, diablo, IAP-binding mitochondrial protein, DFNA64 |
| Ig Type | IgG |
| Clone | 2W730 |
| Reactivity | Human,Mouse,Rat |
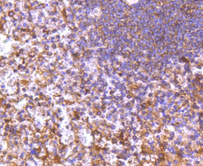
| Verified Activity | 1. Western blot analysis of DIABLO on different lysates using anti-DIABLO antibody at 1/1,000 dilution. Positive control: Lane 1: Jurkat, Lane 2: Hela, Lane 3: MCF-7. 2. Immunohistochemical analysis of paraffin-embedded human spleen tissue using anti-DIABLO antibody. Counter stained with hematoxylin. 3. Immunohistochemical analysis of paraffin-embedded mouse overy tissue using anti-DIABLO antibody. Counter stained with hematoxylin. 4. Immunohistochemical analysis of paraffin-embedded mouse skin tissue using anti-DIABLO antibody. Counter stained with hematoxylin. 5. ICC staining DIABLO in Hela cells (green). The nuclear counter stain is DAPI (blue). Cells were fixed in paraformaldehyde, permeabilised with 0.25% Triton X100/PBS. 6. ICC staining DIABLO in B16-F1 cells (green). The nuclear counter stain is DAPI (blue). Cells were fixed in paraformaldehyde, permeabilised with 0.25% Triton X100/PBS. 7. ICC staining DIABLO in LO2 cells (green). The nuclear counter stain is DAPI (blue). Cells were fixed in paraformaldehyde, permeabilised with 0.25% Triton X100/PBS. 8. ICC staining DIABLO in N2A cells (green). The nuclear counter stain is DAPI (blue). Cells were fixed in paraformaldehyde, permeabilised with 0.25% Triton X100/PBS. 9. Flow cytometric analysis of HepG2 cells with DIABLO antibody at 1/50 dilution (red) compared with an unlabelled control (cells without incubation with primary antibody; black). Alexa Fluor 488-conjugated goat anti rabbit IgG was used as the secondary antibody. ![]() ![]() ![]() ![]() ![]() ![]() ![]() ![]() ![]() |
| Application | |
| Recommended Dose | WB: 1:1000-2000; IHC: 1:50-200; ICC/IF: 1:50-200; FCM: 1:50-100 |
| Antibody Type | Monoclonal |
| Host Species | Rabbit |
| Construction | Recombinant Antibody |
| Purification | ProA affinity purified |
| Appearance | Liquid |
| Formulation | 1*TBS (pH7.4), 1%BSA, 40%Glycerol. Preservative: 0.05% Sodium Azide. |
| Research Background | The activation of caspases is a key regulatory step in apoptosis. Once cytochrome c is released from the mitochondria into the cytosol, it binds Apaf-1 to form an oligomeric cytochrome c/Apaf-1 complex, which induces caspase activation. Inhibitors of Apoptosis Proteins (IAPs), are a family of proteins that regulate the cytochrome c/Apaf-1 caspase activating pathway. Like cytochrome c, Smac (for second mitochondria-derived activator of caspase, also designated DIABLO in mouse for direct IAP binding protein with low PI) promotes caspase activation in the cytochrome c/Apaf-1/caspase-9 pathway by binding IAPs and preventing them from inhibiting caspases. In healthy cells, Smac is a mitochondrial protein, but when cells undergo apoptosis, Smac is released into the cytosol. |
| Conjucates | Unconjugated |
| Immunogen | Recombinant Protein |
| Uniprot ID |
| Molecular Weight | Theoretical: 21 kDa. |
| Stability & Storage | Store at -20°C or -80°C for 12 months. Avoid repeated freeze-thaw cycles. |
| Transport | Shipping with blue ice. |
| Size | Quantity | Unit Price | Amount | Operation |
|---|

Copyright © 2015-2026 TargetMol Chemicals Inc. All Rights Reserved.