Shopping Cart
Remove All
Your shopping cart is currently empty
Anti-SLC39A14 Polyclonal Antibody is a Rabbit antibody targeting SLC39A14. Anti-SLC39A14 Polyclonal Antibody can be used in ELISA, ICC/IF, IF, IHC-Fr, IHC-P.
| Pack Size | Price | USA Warehouse | Global Warehouse | Quantity |
|---|---|---|---|---|
| 50 μL | $221 | 7-10 days | 7-10 days | |
| 100 μL | $373 | 7-10 days | 7-10 days | |
| 200 μL | $527 | 7-10 days | 7-10 days |
| Description | Anti-SLC39A14 Polyclonal Antibody is a Rabbit antibody targeting SLC39A14. Anti-SLC39A14 Polyclonal Antibody can be used in ELISA, ICC/IF, IF, IHC-Fr, IHC-P. |
| Synonyms | Zrt- and Irt-like protein 14 (ZIP-14), ZIP14, Solute carrier family 39 member 14, SLC39A14, Metal cation symporter ZIP14, LIV-1 subfamily of ZIP zinc transporter 4 (LZT-Hs4), KIAA0062 |
| Ig Type | IgG |
| Reactivity | Human,Rat,Mouse |
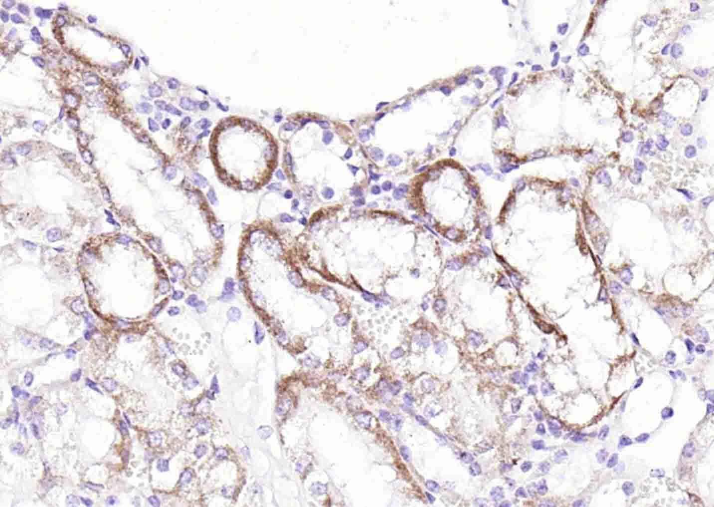
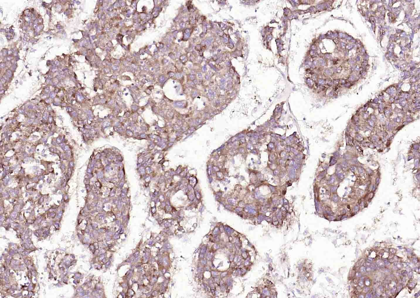
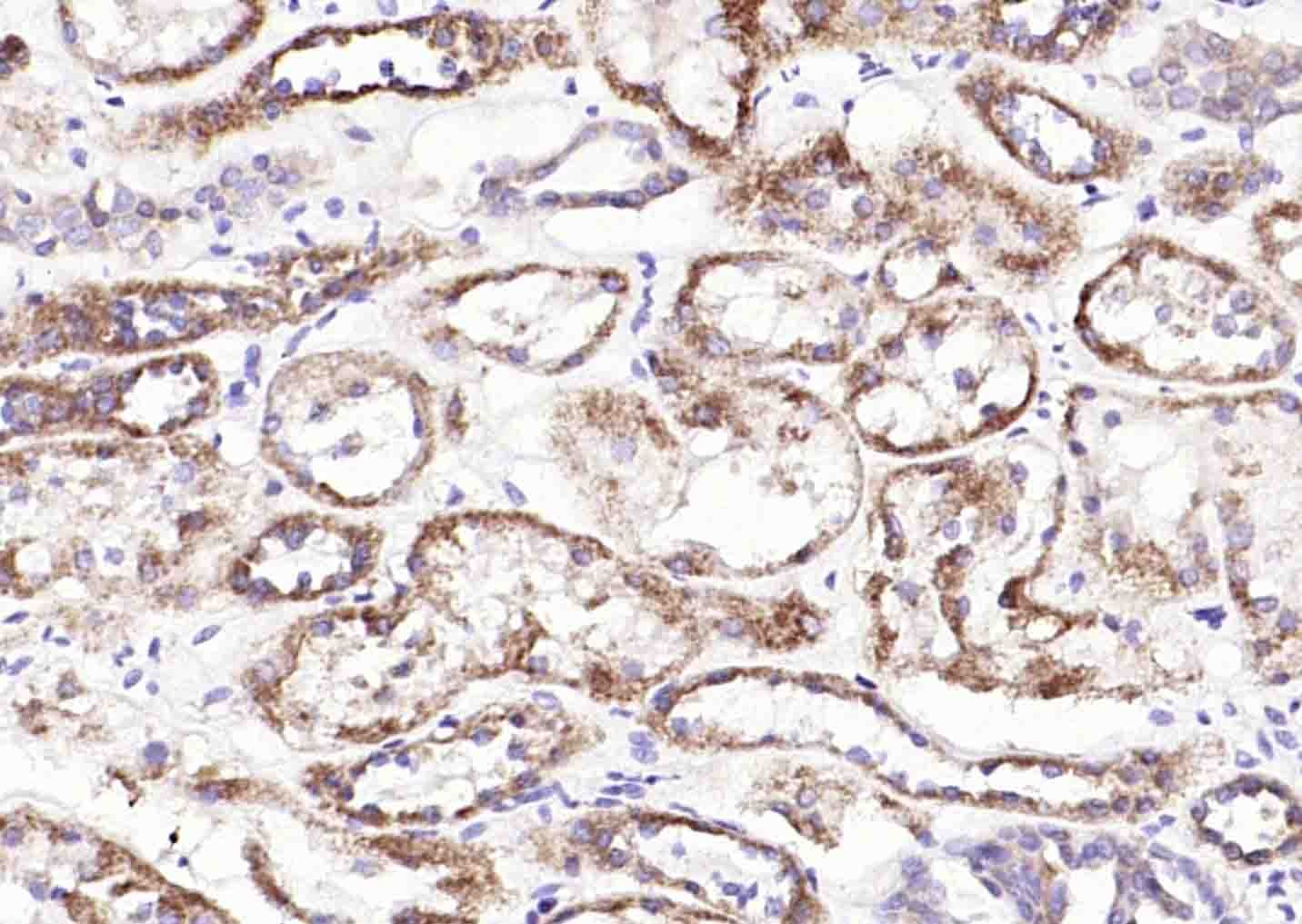
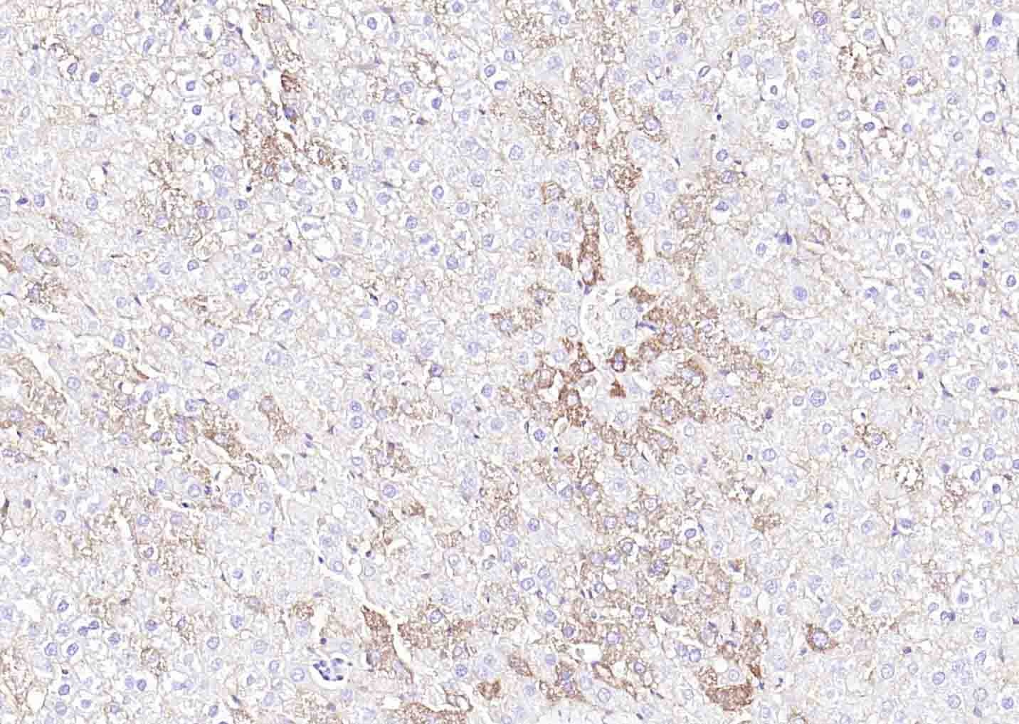
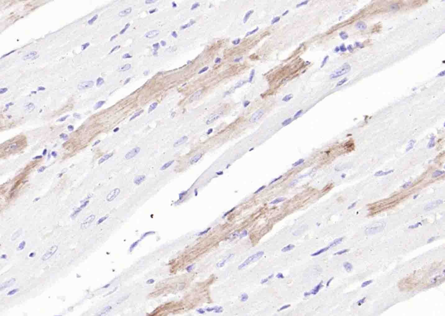
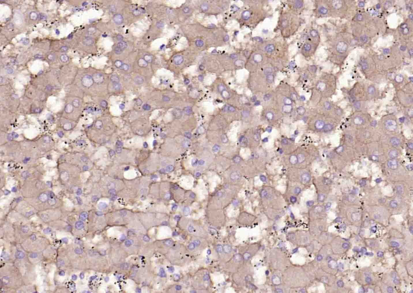
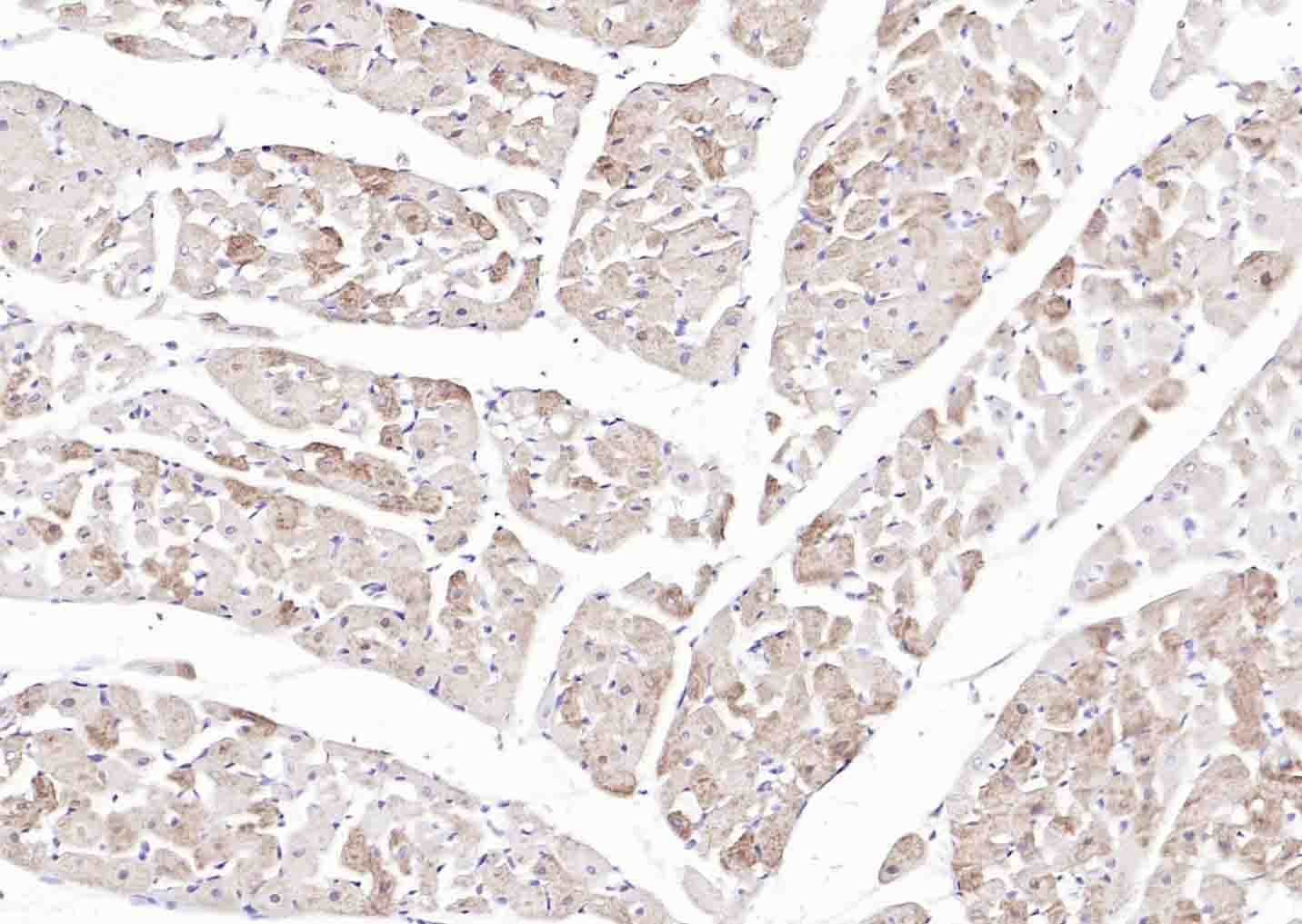
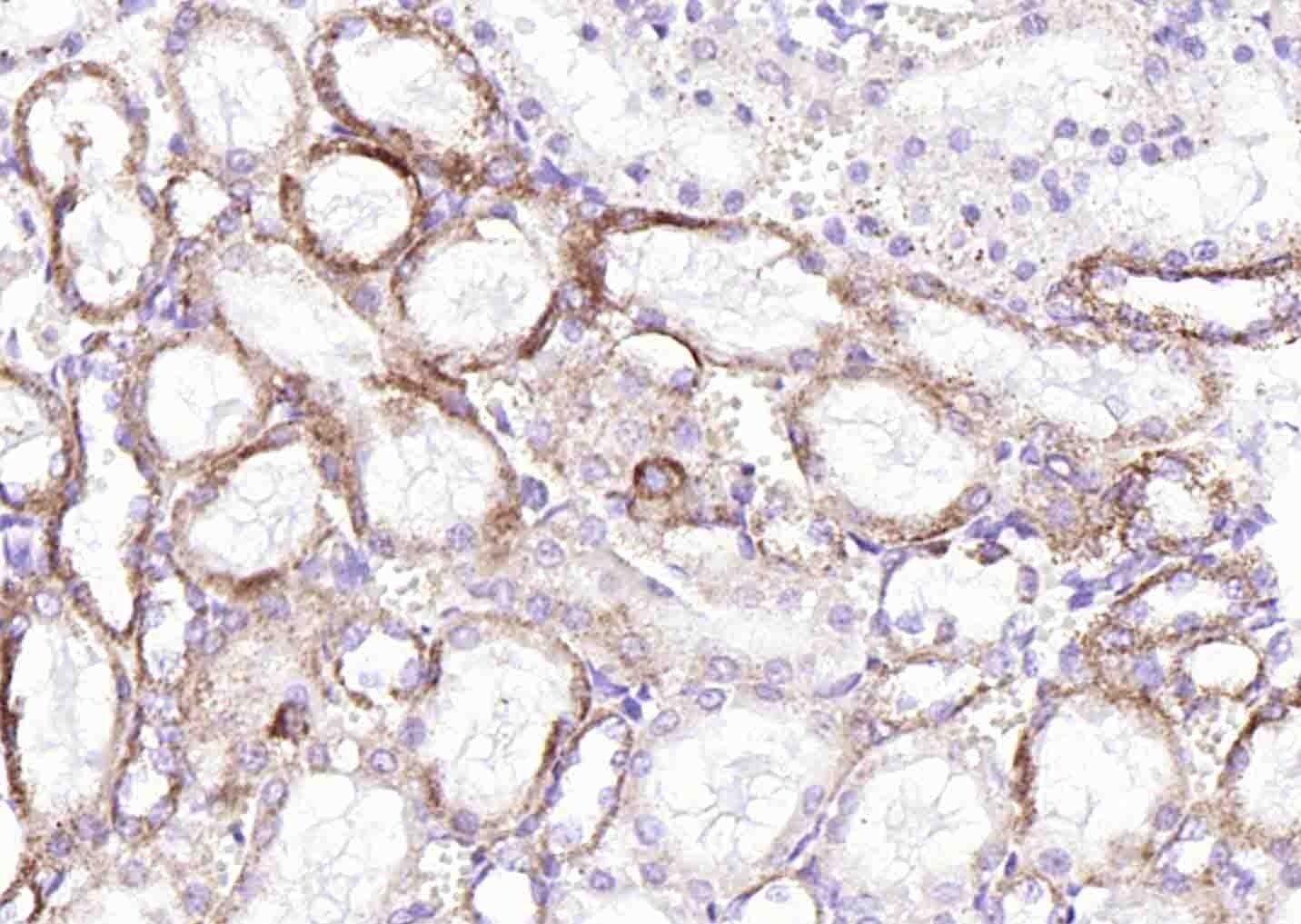
| Verified Activity | 1. Paraformaldehyde-fixed, paraffin embedded (rat liver); Antigen retrieval by boiling in sodium citrate buffer (pH6.0) for 15 min; Block endogenous peroxidase by 3% hydrogen peroxide for 20 min; Blocking buffer (normal goat serum) at 37°C for 30 min; Incubation with (SLC39A14) Polyclonal Antibody, Unconjugated (TMAB-01722) at 1:200 overnight at 4°C, followed by operating according to SP Kit (Rabbit) instructionsand DAB staining. 2. Paraformaldehyde-fixed, paraffin embedded (human liver); Antigen retrieval by boiling in sodium citrate buffer (pH6.0) for 15 min; Block endogenous peroxidase by 3% hydrogen peroxide for 20 min; Blocking buffer (normal goat serum) at 37°C for 30 min; Incubation with (SLC39A14) Polyclonal Antibody, Unconjugated (TMAB-01722) at 1:200 overnight at 4°C, followed by operating according to SP Kit (Rabbit) instructionsand DAB staining. 3. Paraformaldehyde-fixed, paraffin embedded (rat kidney); Antigen retrieval by boiling in sodium citrate buffer (pH6.0) for 15 min; Block endogenous peroxidase by 3% hydrogen peroxide for 20 min; Blocking buffer (normal goat serum) at 37°C for 30 min; Incubation with (SLC39A14) Polyclonal Antibody, Unconjugated (TMAB-01722) at 1:200 overnight at 4°C, followed by operating according to SP Kit (Rabbit) instructionsand DAB staining. 4. Paraformaldehyde-fixed, paraffin embedded (human kidney); Antigen retrieval by boiling in sodium citrate buffer (pH6.0) for 15 min; Block endogenous peroxidase by 3% hydrogen peroxide for 20 min; Blocking buffer (normal goat serum) at 37°C for 30 min; Incubation with (SLC39A14) Polyclonal Antibody, Unconjugated (TMAB-01722) at 1:200 overnight at 4°C, followed by operating according to SP Kit (Rabbit) instructionsand DAB staining. 5. Paraformaldehyde-fixed, paraffin embedded (human heart); Antigen retrieval by boiling in sodium citrate buffer (pH6.0) for 15 min; Block endogenous peroxidase by 3% hydrogen peroxide for 20 min; Blocking buffer (normal goat serum) at 37°C for 30 min; Incubation with (SLC39A14) Polyclonal Antibody, Unconjugated (TMAB-01722) at 1:200 overnight at 4°C, followed by operating according to SP Kit (Rabbit) instructionsand DAB staining. 6. Paraformaldehyde-fixed, paraffin embedded (rat heart); Antigen retrieval by boiling in sodium citrate buffer (pH6.0) for 15 min; Block endogenous peroxidase by 3% hydrogen peroxide for 20 min; Blocking buffer (normal goat serum) at 37°C for 30 min; Incubation with (SLC39A14) Polyclonal Antibody, Unconjugated (TMAB-01722) at 1:200 overnight at 4°C, followed by operating according to SP Kit (Rabbit) instructionsand DAB staining. 7. Paraformaldehyde-fixed, paraffin embedded (mouse heart); Antigen retrieval by boiling in sodium citrate buffer (pH6.0) for 15 min; Block endogenous peroxidase by 3% hydrogen peroxide for 20 min; Blocking buffer (normal goat serum) at 37°C for 30 min; Incubation with (SLC39A14) Polyclonal Antibody, Unconjugated (TMAB-01722) at 1:200 overnight at 4°C, followed by operating according to SP Kit (Rabbit) instructionsand DAB staining. 8. Paraformaldehyde-fixed, paraffin embedded (human liver carcinoma); Antigen retrieval by boiling in sodium citrate buffer (pH6.0) for 15 min; Block endogenous peroxidase by 3% hydrogen peroxide for 20 min; Blocking buffer (normal goat serum) at 37°C for 30 min; Incubation with (SLC39A14) Polyclonal Antibody, Unconjugated (TMAB-01722) at 1:200 overnight at 4°C, followed by operating according to SP Kit (Rabbit) instructionsand DAB staining. 9. Paraformaldehyde-fixed, paraffin embedded (mouse kidney); Antigen retrieval by boiling in sodium citrate buffer (pH6.0) for 15 min; Block endogenous peroxidase by 3% hydrogen peroxide for 20 min; Blocking buffer (normal goat serum) at 37°C for 30 min; Incubation with (SLC39A14) Polyclonal Antibody, Unconjugated (TMAB-01722) at 1:200 overnight at 4°C, followed by operating according to SP Kit (Rabbit) instructionsand DAB staining. ![]() ![]() ![]() ![]() ![]() ![]() ![]() ![]() ![]() |
| Application | |
| Recommended Dose | ELISA=1:1000-5000; ICC/IF=1:50-200; IF=1:100-500; IHC-Fr=1:100-500; IHC-P=1:100-500 |
| Antibody Type | Polyclonal |
| Host Species | Rabbit |
| Subcellular Localization | Cell membrane. Cell projection > lamellipodium. Localized to the plasma membrane and also found colocalized with F-actin concentrated on lamellipodiae. |
| Tissue Specificity | Ubiquitously expressed, with increased expression in liver, pancreas, fetal liver, thyroid gland, left and right ventricle, right atrium and fetal heart. Weakly expressed in spleen, thymus, and peripheral blood leukocytes. |
| Construction | Polyclonal Antibody |
| Purification | Protein A purified |
| Appearance | Liquid |
| Formulation | 0.01M TBS (pH7.4) with 1% BSA, 0.02% Proclin300 and 50% Glycerol. |
| Concentration | 1 mg/mL |
| Research Background | Zinc is an essential cofactor for hundreds of enzymes. It is involved in protein, nucleic acid, carbohydrate, and lipid metabolism, as well as in the control of gene transcription, growth, development, and differentiation. SLC39A14 belongs to a subfamily of proteins that show structural characteristics of zinc transporters (Taylor and Nicholson, 2003 [PubMed 12659941]).[supplied by OMIM, Mar 2008] |
| Immunogen | KLH conjugated synthetic peptide: human SLC39A14 |
| Antigen Species | Human |
| Gene Name | SLC39A14 |
| Gene ID | |
| Protein Name | Metal cation symporter ZIP14 |
| Uniprot ID | |
| Biology Area | Vitamins / minerals,Cancer,Channels,Vitamins / Minerals |
| Function | May be able to transport iron (By similarity). Acts as a zinc-influx transporter. |
| Molecular Weight | Theoretical: 51 kDa. |
| Stability & Storage | Store at -20°C or -80°C for 12 months. Avoid repeated freeze-thaw cycles. |
| Transport | Shipping with blue ice. |
| Size | Quantity | Unit Price | Amount | Operation |
|---|

Copyright © 2015-2026 TargetMol Chemicals Inc. All Rights Reserved.