Shopping Cart
Remove All
Your shopping cart is currently empty
Synonyms: VIAAT, VGAT, Vesicular inhibitory amino acid transporter, Vesicular GABA transporter, Vesicular GABA Amino Acid Transporter, solute carrier family 32(GABA vesicular transporter) member 1, Solute carrier family 32 member 1, SLC32A 1, hVIAAT, GABA and glycine transporter, bA122O1.1
| Pack Size | Price | USA Stock | Global Stock | Quantity |
|---|---|---|---|---|
| 50 μL | $220 | 7-10 days | 7-10 days | |
| 100 μL | $373 | 7-10 days | 7-10 days | |
| 200 μL | $528 | 7-10 days | 7-10 days |
| Description | Anti-SLC32A1 Polyclonal Antibody is a Rabbit antibody targeting SLC32A1. Anti-SLC32A1 Polyclonal Antibody can be used in IF,IHC-Fr,IHC-P,WB. |
| Synonyms | VIAAT, VGAT, Vesicular inhibitory amino acid transporter, Vesicular GABA transporter, Vesicular GABA Amino Acid Transporter, solute carrier family 32(GABA vesicular transporter) member 1, Solute carrier family 32 member 1, SLC32A 1, hVIAAT, GABA and glycine transporter, bA122O1.1 |
| Ig Type | IgG |
| Reactivity | Mouse,Rat (predicted:Human,Pig,Cow,Rabbit) |
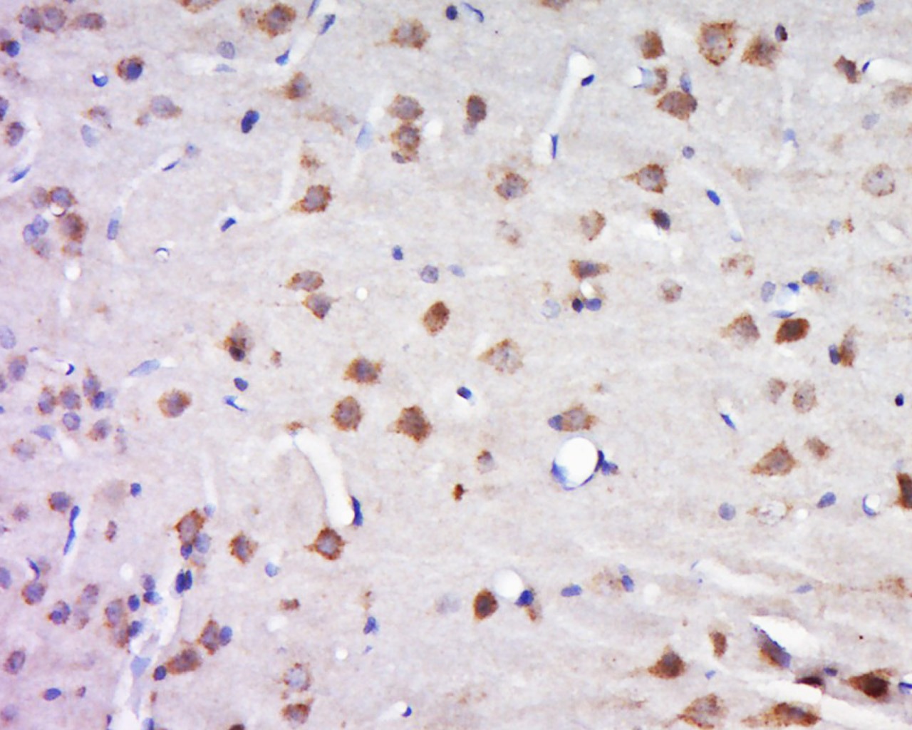
| Verified Activity | 1. Tissue/cell: rat brain tissue; 4% Paraformaldehyde-fixed and paraffin-embedded; Antigen retrieval: citrate buffer (0.01M, pH6.0), Boiling bathing for 15 min; Block endogenous peroxidase by 3% Hydrogen peroxide for 30 min; Blocking buffer (normal goat serum) at 37°C for 20 min; Incubation: Anti-SLC32A1 Polyclonal Antibody, Unconjugated (TMAB-01719) 1:500, overnight at 4°C, followed by conjugation to the secondary antibody and DAb staining. 2. Sample: Cerebellum (Mouse) Lysate at 40 μg Primary: Anti-SLC32A1 (TMAB-01719) at 1/300 dilution Secondary: IRDye800CW Goat Anti-RabbitIgG at 1/20000 dilution Predicted band size: 57 kDa Observed band size: 57 kDa 3. Sample: Heart (Mouse) Lysate at 40 μg Primary: Anti-SLC32A1 (TMAB-01719) at 1/300 dilution Secondary: IRDye800CW Goat Anti-RabbitIgG at 1/20000 dilution Predicted band size: 57 kDa Observed band size: 60 kDa |
| Application | |
| Recommended Dose | WB: 1:500-2000; IHC-P: 1:100-500; IHC-Fr: 1:100-500; IF: 1:100-500 |
| Antibody Type | Polyclonal |
| Host Species | Rabbit |
| Subcellular Localization | Cytoplasmic vesicle membrane; Multi-pass membrane protein |
| Tissue Specificity | Retina. Expressed throughout the horizontal cells or more specifically at the terminals. |
| Construction | Polyclonal Antibody |
| Purification | Protein A purified |
| Appearance | Liquid |
| Formulation | 0.01M TBS (pH7.4) with 1% BSA, 0.02% Proclin300 and 50% Glycerol. |
| Concentration | 1 mg/mL |
| Research Background | Synaptic transmission involves the controlled exocytosis of vesicles containing specific neurotransmitters. Usually, neurotransmitters are synthesized in the cytoplasm of the cell and must be transported into synaptic vesicles for release. The vesicular GABA transporter (VGAT) is responsible for loading γ-aminobutyric acid (GABA), an inhibitory neurotransmitter, from neuronal cytoplasm into synaptic vesicles and is expressed only in the nerve endings of inhibitory neurons that contain GABA and/or glycine. During neocortical development, VGAT expression barely precedes the maturation of inhibitory synaptogenesis, suggesting that it may contribute to the development of neocortical GABAergic circuitry. VGAT may also play a role in epileptogenesis and the recovery mechanisms that occur after a spontaneous seizure. |
| Immunogen | KLH conjugated synthetic peptide: human SLC30A9 |
| Antigen Species | Human |
| Gene Name | SLC32A1 |
| Gene ID | |
| Protein Name | Vesicular inhibitory amino acid transporter |
| Uniprot ID | |
| Function | Involved in the uptake of GABA and glycine into the synaptic vesicles. |
| Molecular Weight | Theoretical: 57 kDa. Actual: 60 kDa. |
| Stability & Storage | Store at -20°C or -80°C for 12 months. Avoid repeated freeze-thaw cycles. |
| Transport | Shipping with blue ice. |
| Size | Quantity | Unit Price | Amount | Operation |
|---|

Copyright © 2015-2026 TargetMol Chemicals Inc. All Rights Reserved.