Shopping Cart
Remove All
Your shopping cart is currently empty
Synonyms: Solute carrier family 2, facilitated glucose transporter member 6, SLC2A6, RP23-449M10.2, HSA011372, GTR6, GLUT-6, Glut6, Glucose transporter type 6, Glucose Transporter GLUT6, F630103L12Rik, A330096C23
| Pack Size | Price | USA Stock | Global Stock | Quantity |
|---|---|---|---|---|
| 50 μL | $222 | 7-10 days | 7-10 days | |
| 100 μL | $374 | 7-10 days | 7-10 days | |
| 200 μL | $529 | 7-10 days | 7-10 days |
| Description | Anti-SLC2A6 Polyclonal Antibody is a Rabbit antibody targeting SLC2A6. Anti-SLC2A6 Polyclonal Antibody can be used in IF,IHC-Fr,IHC-P,WB. |
| Synonyms | Solute carrier family 2, facilitated glucose transporter member 6, SLC2A6, RP23-449M10.2, HSA011372, GTR6, GLUT-6, Glut6, Glucose transporter type 6, Glucose Transporter GLUT6, F630103L12Rik, A330096C23 |
| Ig Type | IgG |
| Reactivity | Mouse,Rat (predicted:Human) |
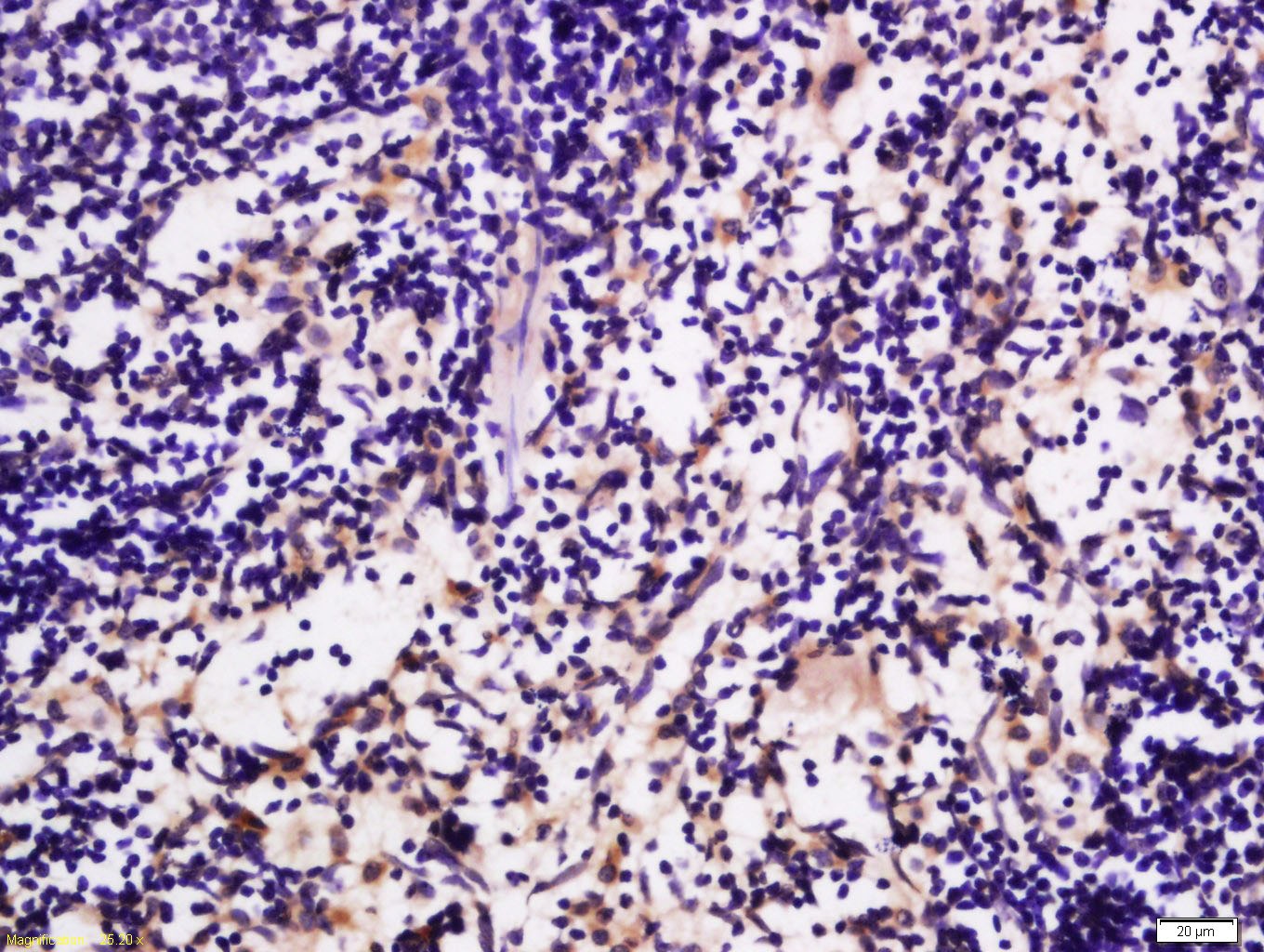
| Verified Activity | 1. Tissue/cell: rat brain tissue; 4% Paraformaldehyde-fixed and paraffin-embedded; Antigen retrieval: citrate buffer (0.01M, pH6.0), Boiling bathing for 15 min; Block endogenous peroxidase by 3% Hydrogen peroxide for 30 min; Blocking buffer (normal goat serum) at 37°C for 20 min; Incubation: Anti-GLUT6 Polyclonal Antibody, Unconjugated (TMAB-01717) 1:200, overnight at 4°C, followed by conjugation to the secondary antibody and DAb staining. 2. Tissue/cell: rat spleen tissue; 4% Paraformaldehyde-fixed and paraffin-embedded; Antigen retrieval: citrate buffer (0.01M, pH6.0), Boiling bathing for 15 min; Block endogenous peroxidase by 3% Hydrogen peroxide for 30 min; Blocking buffer (normal goat serum) at 37°C for 20 min; Incubation: Anti-GLUT6 Polyclonal Antibody, Unconjugated (TMAB-01717) 1:200, overnight at 4°C, followed by conjugation to the secondary antibody and DAb staining. 3. Sample: Brain (Mouse) Lysate at 40 μg Primary: Anti-GLUT6/GLUT9 (TMAB-01717) at 1/300 dilution Secondary: IRDye800CW Goat Anti-Rabbit IgG at 1/20000 dilution Predicted band size: 55 kDa Observed band size: 55 kDa 4. Sample: Heart (Mouse) Lysate at 40 μg Primary: Anti-GLUT6/GLUT9 (TMAB-01717) at 1/300 dilution Secondary: IRDye800CW Goat Anti-Rabbit IgG at 1/20000 dilution Predicted band size: 55 kDa Observed band size: 55 kDa |
| Application | |
| Recommended Dose | WB: 1:500-2000; IHC-P: 1:100-500; IHC-Fr: 1:100-500; IF: 1:100-500 |
| Antibody Type | Polyclonal |
| Host Species | Rabbit |
| Subcellular Localization | Cell membrane. The dileucine internalization motif is critical for intracellular sequestration. |
| Tissue Specificity | Highly expressed in brain, spleen and peripheral blood leukocytes. |
| Construction | Polyclonal Antibody |
| Purification | Protein A purified |
| Appearance | Liquid |
| Formulation | 0.01M TBS (pH7.4) with 1% BSA, 0.02% Proclin300 and 50% Glycerol. |
| Concentration | 1 mg/mL |
| Research Background | The oxidation of glucose functions as the dominant source of metabolic energy for mammals. The plasma membrane is impermeable to glucose, so the cellular uptake of this important nutrient is achieved by facultative hexose transproters (Gluts). Gluts are integral membrane proteins that transport glucose and related hexoses. Glucose binds to a Glut on one side of the membrane which provokes a conformational change causing it to release glucose to the other side. Members of the Glut family may enhance the metabolic activity of tumor cells. Glut6 is part of the third out of three classes of Gluts. Glut6 is mainly expressed in the brain, spleen and peripheral leukocytes. It appears to be regulated by subcellular redistribution, because it is targeted to intracellular compartments by di-leucine motifs, recycling itself in a Dynamin-dependent manner. |
| Immunogen | KLH conjugated synthetic peptide: human GLUT6 |
| Antigen Species | Human |
| Gene Name | SLC2A6 |
| Gene ID | |
| Protein Name | Solute carrier family 2, facilitated glucose transporter member 6 |
| Uniprot ID | |
| Biology Area | Cancer,Channels |
| Function | Facilitative glucose transporter; binds cytochalasin B with low affinity. |
| Molecular Weight | Theoretical: 55 kDa. Actual: 55 kDa. |
| Stability & Storage | Store at -20°C or -80°C for 12 months. Avoid repeated freeze-thaw cycles. |
| Transport | Shipping with blue ice. |
| Size | Quantity | Unit Price | Amount | Operation |
|---|

Copyright © 2015-2026 TargetMol Chemicals Inc. All Rights Reserved.