Shopping Cart
Remove All
Your shopping cart is currently empty
Anti-SLC2A1 Polyclonal Antibody is a Rabbit antibody targeting SLC2A1. Anti-SLC2A1 Polyclonal Antibody can be used in FCM,IF,IHC-Fr,IHC-P,WB.
| Pack Size | Price | USA Stock | Global Stock | Quantity |
|---|---|---|---|---|
| 50 μL | $220 | 7-10 days | 7-10 days | |
| 100 μL | $372 | 7-10 days | 7-10 days | |
| 200 μL | $527 | 7-10 days | 7-10 days |
| Description | Anti-SLC2A1 Polyclonal Antibody is a Rabbit antibody targeting SLC2A1. Anti-SLC2A1 Polyclonal Antibody can be used in FCM,IF,IHC-Fr,IHC-P,WB. |
| Synonyms | Solute carrier family 2, facilitated glucose transporter member 1, SLC2A1, HepG2 glucose transporter, GLUT1, Glucose transporter type 1, erythrocyte/brain (GLUT-1), facilitated glucose transporter member 1 |
| Ig Type | IgG |
| Reactivity | Human,Mouse,Rat (predicted:Chicken,Dog,Pig,Cow,Sheep) |
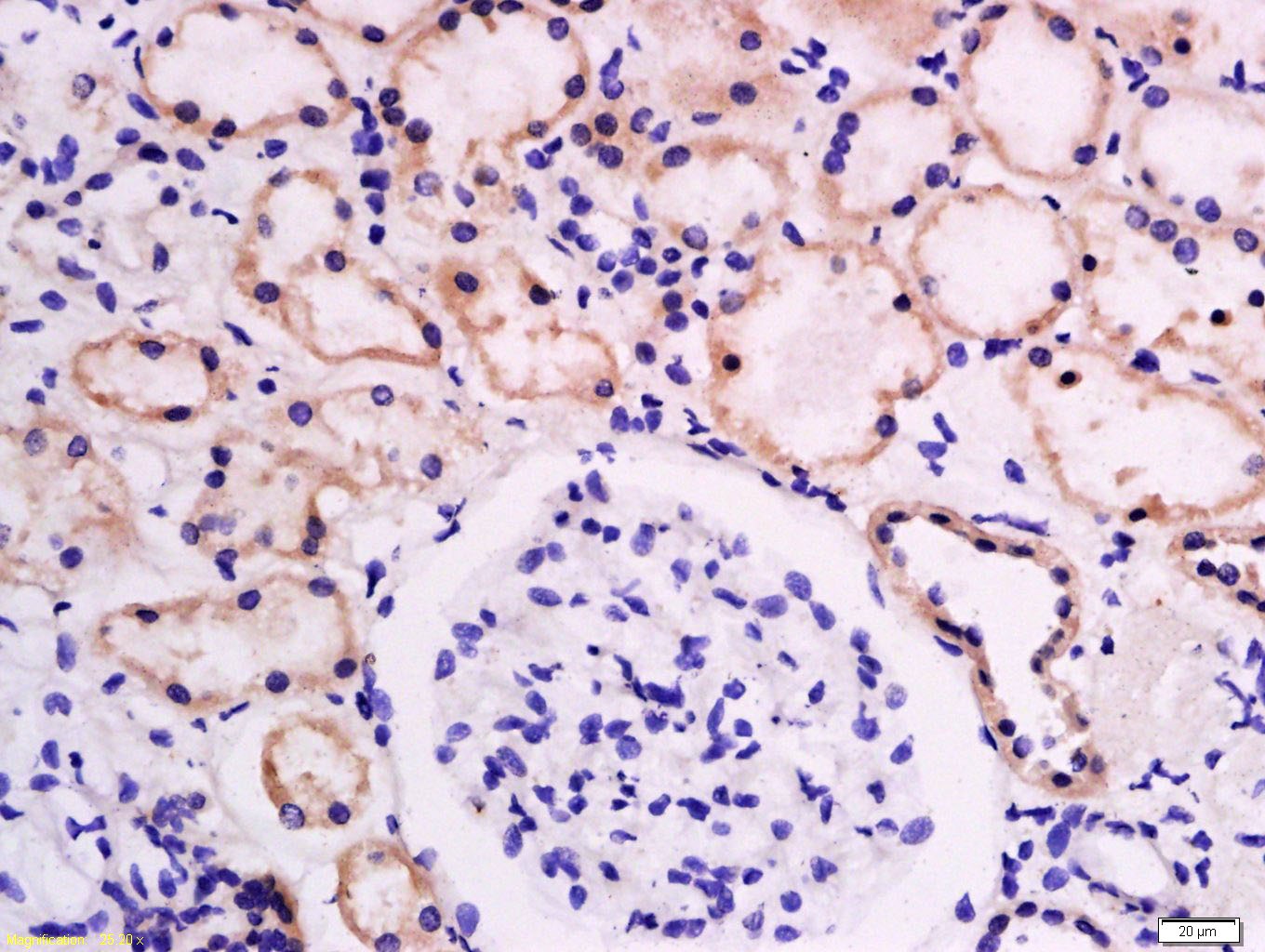
| Verified Activity | 1. Tissue/cell: human kidney tissue; 4% Paraformaldehyde-fixed and paraffin-embedded; Antigen retrieval: citrate buffer (0.01M, pH6.0), Boiling bathing for 15 min; Block endogenous peroxidase by 3% Hydrogen peroxide for 30 min; Blocking buffer (normal goat serum) at 37°C for 20 min; Incubation: Anti-GLUT1 Polyclonal Antibody, Unconjugated (TMAB-01709) 1:400, overnight at 4°C, followed by conjugation to the secondary antibody and DAb staining. 2. Image was kindly submitted by Dr. Lelisa Gemta from University of Virginia. Mouse splenocytes stained with Rabbit Anti-GLUT1 Polyclonal Antibody, PE conjugated (TMAB-01709-PE) at 1:50. 3. Sample: Lane 1: Heart (Mouse) Lysate at 40 μg Lane 2: Cerebrum (Mouse) Lysate at 40 μg Lane 3: Muscle (Mouse) Lysate at 40 μg Lane 4: Cerebrum (Rat) Lysate at 40 μg Primary: Anti-GLUT1 (TMAB-01709) at 1/1000 dilution Secondary: IRDye800CW Goat Anti-Rabbit IgG at 1/20000 dilution Predicted band size: 54 kDa Observed band size: 52 kDa ![]() ![]() ![]() |
| Application | |
| Recommended Dose | WB: 1:500-2000; IHC-P: 1:100-500; IHC-Fr: 1:100-500; IF: 1:100-500; FCM: 1μg/Test |
| Antibody Type | Polyclonal |
| Host Species | Rabbit |
| Subcellular Localization | Cell membrane; Multi-pass membrane protein. Melanosome. Note=Localizes primarily at the cell surface. Identified by mass spectrometry in melanosome fractions from stage I to stage IV. |
| Tissue Specificity | Expressed at variable levels in many human tissues. |
| Construction | Polyclonal Antibody |
| Purification | Protein A purified |
| Appearance | Liquid |
| Formulation | 0.01M TBS (pH7.4) with 1% BSA, 0.02% Proclin300 and 50% Glycerol. |
| Concentration | 1 mg/mL |
| Research Background | This gene encodes a major glucose transporter in the mammalian blood-brain barrier. Mutations in this gene have been found in a family with paroxysmal exertion-induced dyskinesia. [provided by RefSeq, Jul 2008]. |
| Immunogen | KLH conjugated synthetic peptide: human GLUT1 |
| Antigen Species | Human |
| Gene Name | SLC2A1 |
| Gene ID | |
| Protein Name | Solute carrier family 2, facilitated glucose transporter member 1 |
| Uniprot ID | |
| Biology Area | Metabolism of carbohydrates,Diabetes associated,Carbohydrate metabolism,Cancer,Diabetes,Heart disease,glucose transporter glut1,Channels |
| Function | Facilitative glucose transporter. This isoform may be responsible for constitutive or basal glucose uptake. Has a very broad substrate specificity; can transport a wide range of aldoses including both pentoses and hexoses. |
| Molecular Weight | Theoretical: 54 kDa. Actual: 52 kDa. |
| Stability & Storage | Store at -20°C or -80°C for 12 months. Avoid repeated freeze-thaw cycles. |
| Transport | Shipping with blue ice. |
| Size | Quantity | Unit Price | Amount | Operation |
|---|

Copyright © 2015-2026 TargetMol Chemicals Inc. All Rights Reserved.