Shopping Cart
Remove All
Your shopping cart is currently empty
Anti-SLC2A1 Antibody (3P617) is a Rabbit antibody targeting SLC2A1. Anti-SLC2A1 Antibody (3P617) can be used in FCM,ICC/IF,IHC,WB.
| Pack Size | Price | USA Warehouse | Global Warehouse | Quantity |
|---|---|---|---|---|
| 50 μL | $296 | 7-10 days | 7-10 days | |
| 100 μL | $497 | 7-10 days | 7-10 days |
| Description | Anti-SLC2A1 Antibody (3P617) is a Rabbit antibody targeting SLC2A1. Anti-SLC2A1 Antibody (3P617) can be used in FCM,ICC/IF,IHC,WB. |
| Ig Type | IgG |
| Clone | 3P617 |
| Reactivity | Human,Mouse,Rat |
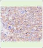
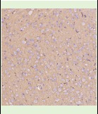
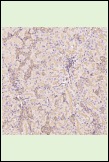
| Verified Activity | 1. Immunohistochemical analysis of paraffin-embedded Rat hippocampus , using the Antibody at 1:300 dilution. 2. Immunohistochemical analysis of paraffin-embedded human cervix cancer, using GLUT1 Antibody. 3. Immunohistochemical analysis of paraffin-embedded Mouse kidney, using the Antibody at 1:300 dilution. 4. Immunofluorescent analysis of HepG2 cells, using GLUT1 Antibody . 5. Western blot analysis of GLUT1 expression in HepG2 lysate. ![]() ![]() ![]() ![]() ![]() |
| Application | |
| Recommended Dose | WB: 1:500-2000; IHC: 1:50-200; ICC/IF: 1:50-200; FCM: 1:50 |
| Antibody Type | Monoclonal |
| Host Species | Rabbit |
| Construction | Recombinant Antibody |
| Purification | Affinity-chromatography |
| Appearance | Liquid |
| Formulation | Rabbit IgG in phosphate buffered saline , pH 7.4, 150mM NaCl, 0.02% sodium azide and 50% glycerol. |
| Research Background | GLUT1 an integral membrane protein that plays an important role in the glycolytic pathway by serving as a uniporter for glucose. One of 13 members of the human equilibrative glucose transport protein family. Transports a wide range of aldoses, including both pentoses and hexoses, and dehydroascorbic acid. Shown to transport water against an osmotic gradient. |
| Conjucates | Unconjugated |
| Immunogen | A synthesized peptide: human Glucose Transporter GLUT1 |
| Antigen Species | human |
| Uniprot ID |
| Molecular Weight | Theoretical: 54 kDa. |
| Stability & Storage | Store at 2°C-8°C for 1 month. Store at -20°C or -80°C for 12 months. Avoid repeated freeze-thaw cycles. |
| Transport | Shipping with blue ice. |
| Size | Quantity | Unit Price | Amount | Operation |
|---|

Copyright © 2015-2026 TargetMol Chemicals Inc. All Rights Reserved.