Shopping Cart
Remove All
Your shopping cart is currently empty
Anti-SLC16A1 Polyclonal Antibody is a Rabbit antibody targeting SLC16A1. Anti-SLC16A1 Polyclonal Antibody can be used in FCM,IF,IHC-Fr,IHC-P,WB.
| Pack Size | Price | USA Warehouse | Global Warehouse | Quantity |
|---|---|---|---|---|
| 50 μL | $220 | 7-10 days | 7-10 days | |
| 100 μL | $373 | 7-10 days | 7-10 days | |
| 200 μL | $529 | 7-10 days | 7-10 days |
| Description | Anti-SLC16A1 Polyclonal Antibody is a Rabbit antibody targeting SLC16A1. Anti-SLC16A1 Polyclonal Antibody can be used in FCM,IF,IHC-Fr,IHC-P,WB. |
| Synonyms | Solute carrier family 16 member 1, Monocarboxylate transporter 1, MCT1, MCT 1 |
| Ig Type | IgG |
| Reactivity | Human,Mouse,Rat (predicted:Dog,Pig,Cow,Horse,Rabbit,GuineaPig) |
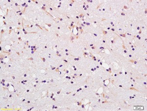
| Verified Activity | 1. Paraformaldehyde-fixed, paraffin embedded (rat brain); Antigen retrieval by boiling in sodium citrate buffer (pH6.0) for 15 min; Block endogenous peroxidase by 3% hydrogen peroxide for 20 min; Blocking buffer (normal goat serum) at 37°C for 30 min; Antibody incubation with (MCT1) Polyclonal Antibody, Unconjugated (TMAB-01702) at 1:400 overnight at 4°C, followed by operating according to SP Kit (Rabbit) instructionsand DAB staining. 2. Blank control: MCF7 Cells (blue). Primary Antibody: Rabbit Anti-MCT1/AF647 Conjugated antibody (TMAB-01702-AF647), Dilution: 1 μg in 100 μL 1X PBS containing 0.5% BSA; Isotype Control Antibody: Rabbit IgG/FITC (orange),used under the same conditions. 3. Sample: HepG2 (Human) cell Lysate at 40 μg Primary: Anti-MCT1 (TMAB-01702) at 1/300 dilution Secondary: IRDye800CW Goat Anti-RabbitIgG at 1/20000 dilution Predicted band size: 55 kDa Observed band size: 55 kDa 4. Sample: Lane 1: Liver (Mouse) Lysate at 40 μg Lane 2: Stomach (Mouse) Lysate at 40 μg Lane 3: Heart (Mouse) Lysate at 40 μg Lane 4: Liver (Rat) Lysate at 40 μg Lane 5: Stomach (Rat) Lysate at 40 μg Lane 6: Heart (Rat) Lysate at 40 μg Primary: Anti-MCT1 (TMAB-01702) at 1/1000 dilution Secondary: IRDye800CW Goat Anti-Rabbit IgG at 1/20000 dilution Predicted band size: 48 kDa Observed band size: 48 kDa 5. Blank control: K562. Primary Antibody (green line): Rabbit Anti-MCT1 antibody (TMAB-01702) Dilution: 1 μg/10^6 cells; Isotype Control Antibody (orange line): Rabbit IgG. Secondary Antibody: Goat anti-rabbit IgG-FITC Dilution: 0.5 μg/test. Protocol The cells were incubated in 5% BSA to block non-specific protein-protein interactions for 30 min at room temperature. Cells stained with Primary Antibody for 30 min at room temperature. The secondary antibody used for 40 min at room temperature. ![]() ![]() ![]() ![]() ![]() |
| Application | |
| Recommended Dose | WB: 1:500-2000; IHC-P: 1:100-500; IHC-Fr: 1:100-500; IF: 1:100-500; FCM: 1μg/Test |
| Antibody Type | Polyclonal |
| Host Species | Rabbit |
| Subcellular Localization | Cell membrane; Multi-pass membrane protein. |
| Tissue Specificity | Widely expressed in normal and in cancer cells. |
| Construction | Polyclonal Antibody |
| Purification | Protein A purified |
| Appearance | Liquid |
| Formulation | 0.01M TBS (pH7.4) with 1% BSA, 0.02% Proclin300 and 50% Glycerol. |
| Concentration | 1 mg/mL |
| Research Background | The protein encoded by this gene is a proton-linked monocarboxylate transporter that catalyzes the movement of many monocarboxylates, such as lactate and pyruvate, across the plasma membrane. Mutations in this gene are associated with erythrocyte lactate transporter defect. Alternatively spliced transcript variants have been found for this gene.[provided by RefSeq, Oct 2009] |
| Immunogen | KLH conjugated synthetic peptide: human MCT1 |
| Antigen Species | Human |
| Gene Name | SLC16A1 |
| Gene ID | |
| Protein Name | Monocarboxylate transporter 1 |
| Uniprot ID | |
| Function | Proton-linked monocarboxylate transporter. Catalyzes the rapid transport across the plasma membrane of many monocarboxylates such as lactate, pyruvate, branched-chain oxo acids derived from leucine, valine and isoleucine, and the ketone bodies acetoacetate, beta-hydroxybutyrate and acetate. |
| Molecular Weight | Theoretical: 55 kDa. |
| Stability & Storage | Store at -20°C or -80°C for 12 months. Avoid repeated freeze-thaw cycles. |
| Transport | Shipping with blue ice. |
| Size | Quantity | Unit Price | Amount | Operation |
|---|

Copyright © 2015-2026 TargetMol Chemicals Inc. All Rights Reserved.