Shopping Cart
Remove All
Your shopping cart is currently empty
Anti-SKA3 Polyclonal Antibody is a Rabbit antibody targeting SKA3. Anti-SKA3 Polyclonal Antibody can be used in IF,IHC-Fr,IHC-P.
| Pack Size | Price | USA Warehouse | Global Warehouse | Quantity |
|---|---|---|---|---|
| 50 μL | $221 | 7-10 days | 7-10 days | |
| 100 μL | $372 | 7-10 days | 7-10 days | |
| 200 μL | $527 | 7-10 days | 7-10 days |
| Description | Anti-SKA3 Polyclonal Antibody is a Rabbit antibody targeting SKA3. Anti-SKA3 Polyclonal Antibody can be used in IF,IHC-Fr,IHC-P. |
| Synonyms | Spindle and kinetochore-associated protein 3, Spindle and kinetochore associated complex subunit 3, SKA 3, RAMA1, C13orf3 |
| Ig Type | IgG |
| Reactivity | Rat (predicted:Human,Mouse,Chicken,Cow,Horse,Rabbit,Sheep) |
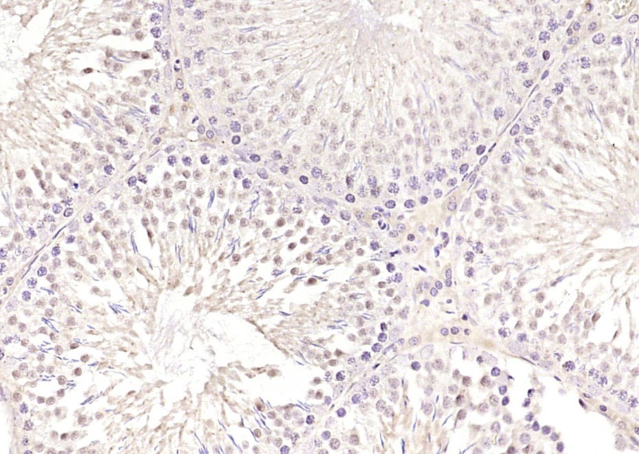
| Verified Activity | Paraformaldehyde-fixed, paraffin embedded (rat testis); Antigen retrieval by boiling in sodium citrate buffer (pH6.0) for 15 min; Block endogenous peroxidase by 3% hydrogen peroxide for 20 min; Blocking buffer (normal goat serum) at 37°C for 30 min; Antibody incubation with (SKA3) Polyclonal Antibody, Unconjugated (TMAB-01696) at 1:200 overnight at 4°C, followed by operating according to SP Kit (Rabbit) instructionsand DAB staining. ![]() |
| Application | |
| Recommended Dose | IHC-P: 1:100-500; IHC-Fr: 1:100-500; IF: 1:100-500 |
| Antibody Type | Polyclonal |
| Host Species | Rabbit |
| Subcellular Localization | Cytoplasm, cytoskeleton, spindle.Chromosome, centromere, kinetochore. Note=Localizes to the outerkinetochore and spindle microtubules during mitosis in a NDC80complex-dependent manner. |
| Construction | Polyclonal Antibody |
| Purification | Protein A purified |
| Appearance | Liquid |
| Formulation | 0.01M TBS (pH7.4) with 1% BSA, 0.02% Proclin300 and 50% Glycerol. |
| Concentration | 1 mg/mL |
| Research Background | Component of the SKA1 complex, a microtubule-binding subcomplex of the outer kinetochore that is essential for proper chromosome segregation. The SKA1 complex is a direct component of the kinetochore-microtubule interface and directly associates with microtubules as oligomeric assemblies. The complex facilitates the processive movement of microspheres along a microtubule in a depolymerization-coupled manner. In the complex, it mediates the microtubule-stimulated oligomerization. |
| Immunogen | KLH conjugated synthetic peptide: human SKA3 |
| Antigen Species | Human |
| Gene Name | SKA3 |
| Gene ID | |
| Protein Name | Spindle and kinetochore-associated protein 3 |
| Uniprot ID | |
| Biology Area | Spindle |
| Function | Component of the SKA1 complex, a microtubule-bindingsubcomplex of the outer kinetochore that is essential for properchromosome segregation. The SKA1 complex is a direct component ofthe kinetochore-microtubule interface and directly associates withmicrotubules as oligomeric assemblies. The complex facilitates theprocessive movement of microspheres along a microtubule in adepolymerization-coupled manner. In the complex, it mediates themicrotubule-stimulated oligomerization. |
| Molecular Weight | Theoretical: 46 kDa. |
| Stability & Storage | Store at -20°C or -80°C for 12 months. Avoid repeated freeze-thaw cycles. |
| Transport | Shipping with blue ice. |
| Size | Quantity | Unit Price | Amount | Operation |
|---|

Copyright © 2015-2026 TargetMol Chemicals Inc. All Rights Reserved.