Shopping Cart
Remove All
Your shopping cart is currently empty
Anti-SHH Polyclonal Antibody is a Rabbit antibody targeting SHH. Anti-SHH Polyclonal Antibody can be used in IF, IHC-Fr, IHC-P, WB.
| Pack Size | Price | USA Stock | Global Stock | Quantity |
|---|---|---|---|---|
| 50 μL | $220 | 7-10 days | 7-10 days | |
| 100 μL | $372 | 7-10 days | 7-10 days | |
| 200 μL | $528 | 7-10 days | 7-10 days |
| Description | Anti-SHH Polyclonal Antibody is a Rabbit antibody targeting SHH. Anti-SHH Polyclonal Antibody can be used in IF, IHC-Fr, IHC-P, WB. |
| Synonyms | sonic hedgehog, M100081, Hxl3, Hx, Hhg1, Dsh, 9530036O11Rik |
| Ig Type | IgG |
| Reactivity | Mouse,Rat (predicted:Human,Chicken,Cow,Horse,Rabbit) |
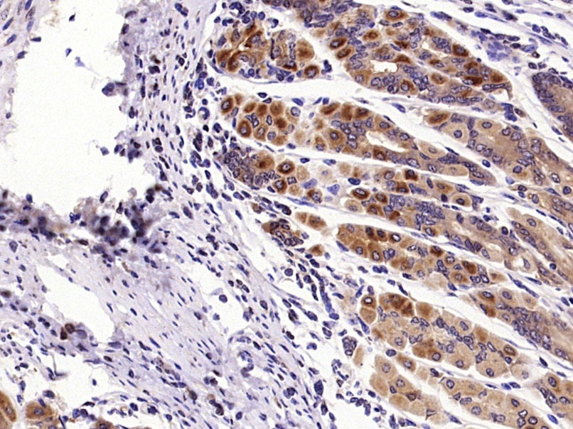
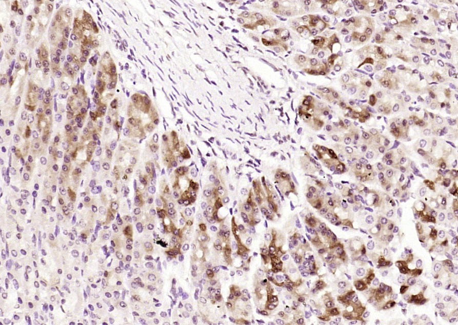
| Verified Activity | 1. Paraformaldehyde-fixed, paraffin embedded (Mouse stomach); Antigen retrieval by microwave in sodium citrate buffer (pH6.0); Block endogenous peroxidase by 3% hydrogen peroxide for 30 minutes; Blocking buffer (3% BSA) at RT for 30 min; Antibody incubation with (Shh) Polyclonal Antibody, Unconjugated (TMAB-01684) at 1:400 overnight at 4°C, followed by conjugation to the secondary antibody (labeled with HRP) and DAB staining. 2. Sample: Embryo (Mouse) tissue at 30 μg; Primary: Anti-Shh (TMAB-01684) at 1:300 dilution; Secondary: HRP conjugated Goat Anti-Rabbit Igg (secondary antibody) at 1: 5000 dilution; Predicted band size: 19/47 kDa Observed band size: 50 kDa 3. Sample: Stomach (Mouse) Lysate at 40 μg Primary: Anti-Shh (TMAB-01684) at 1/300 dilution Secondary: IRDye800CW Goat Anti-Rabbit IgG at 1/20000 dilution Predicted band size: 19/47 kDa Observed band size: 49 kDa 4. Paraformaldehyde-fixed, paraffin embedded (rat stomach); Antigen retrieval by boiling in sodium citrate buffer (pH6.0) for 15 min; Block endogenous peroxidase by 3% hydrogen peroxide for 20 min; Blocking buffer (normal goat serum) at 37°C for 30 min; Antibody incubation with (Shh) Polyclonal Antibody, Unconjugated (TMAB-01684) at 1:200 overnight at 4°C, followed by operating according to SP Kit (Rabbit) instructionsand DAB staining. ![]() ![]() ![]() ![]() |
| Application | |
| Recommended Dose | WB: 1:500-2000; IHC-P: 1:100-500; IHC-Fr: 1:100-500; IF: 1:100-500 |
| Antibody Type | Polyclonal |
| Host Species | Rabbit |
| Subcellular Localization | Sonic hedgehog protein C-product: Secreted, extracellular space. Note=The C-terminal peptide diffuses from the cell. Sonic hedgehog protein N-product: Cell membrane; Lipid-anchor. Note=The N-product either remains associated with lipid rafts at the cell surface, or forms freely diffusible active multimers with its hydrophobic lipid-modified N- and C-termini buried inside. |
| Tissue Specificity | Expressed in fetal intestine, liver, lung, and kidney. Not expressed in adult tissues. |
| Construction | Polyclonal Antibody |
| Purification | Protein A purified |
| Appearance | Liquid |
| Formulation | 0.01M TBS (pH7.4) with 1% BSA, 0.02% Proclin300 and 50% Glycerol. |
| Concentration | 1 mg/mL |
| Research Background | SHH binds to the patched (PTC) receptor, which functions in association with smoothened (SMO), to activate the transcription of target genes. In the absence of SHH, PTC represses the constitutive signaling activity of SMO. Also regulates another target, the gli oncogene. Intercellular signal essential for a variety of patterning events during development: signal produced by the notochord that induces ventral cell fate in the neural tube and somites, and the polarizing signal for patterning of the anterior-posterior axis of the developing limb bud. Displays both floor plate- and motor neuron-inducing activity. The threshold concentration of N-product required for motor neuron induction is 5-fold lower than that required for floor plate induction (By similarity). |
| Immunogen | KLH conjugated synthetic peptide: human Shh |
| Antigen Species | Human |
| Gene Name | SHH |
| Gene ID | |
| Protein Name | Sonic hedgehog protein |
| Uniprot ID | |
| Function | Binds to the patched (PTC) receptor, which functions in association with smoothened (SMO), to activate the transcription of target genes. In the absence of SHH, PTC represses the constitutive signaling activity of SMO. Also regulates another target, the gli oncogene. Intercellular signal essential for a variety of patterning events during development: signal produced by the notochord that induces ventral cell fate in the neural tube and somites, and the polarizing signal for patterning of the anterior-posterior axis of the developing limb bud. Displays both floor plate- and motor neuron-inducing activity. The threshold concentration of N-product required for motor neuron induction is 5-fold lower than that required for floor plate induction (By similarity). |
| Molecular Weight | Theoretical: 19/47 kDa. Actual: 49 kDa. |
| Stability & Storage | Store at -20°C or -80°C for 12 months. Avoid repeated freeze-thaw cycles. |
| Transport | Shipping with blue ice. |
| Size | Quantity | Unit Price | Amount | Operation |
|---|

Copyright © 2015-2026 TargetMol Chemicals Inc. All Rights Reserved.